Receive 30% off all Monoclonal IHC antibodies with code "MONO-IHC-30"! Offer valid for US customers and available internationally through distributors.

Mouse CDK4 Ready-To-Use IHC Kit

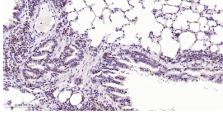
Immunohistochemical analysis of paraffin embedded Mouse lung tissue slide using IHC0558M (Mouse CDK4 Kit).
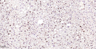
Immunohistochemical analysis of paraffin embedded Mouse liver tissue slide using IHC0558M (Mouse CDK4 Kit).

Mouse CDK4 Ready-To-Use IHC Kit

Cat. No.: IHC0558M
Sample Type:
FFPE tissue
Size:
50T (including a control slide)
Storage and Stability:
Please store components at the temperatures indicated on the individual tube labels. The kit is stable for 6 months from the date of receipt.

Background

CDK4/cyclin D3 serine/threonine kinase is dimeric protein complex. CDK4 is a member of the cyclin-dependent protein kinase family and is involved in the control of cell proliferation during the G1 phase of cell cycle. CDK4 forms a complex with the D-type cyclins and is inhibited by p16 (cyclin-dependent kinase inhibitor-2). CDK4 can mediate phosphorylation of the C-terminal region of Rb protein leading to an active transcriptional repression of E2F complex. CDC37 and HSP90 can preferentially associate with the fraction of CDK4 not bound to D-type cyclins. SMAD3 is a major physiologic substrate of the G1 cyclin-dependent kinases CDK4 and CDK2. Although CDK6 and CDK4 can both phosphorylate multiple residues in the Rb protein, they do so with different residue selectivity in vitro; CDK6 phosphorylates Thr821 while CDK4 phosphorylates Thr826 on Rb protein.

Synonyms

PSK-J3; Cdk 4; CDK4 protein; Cell division kinase 4; Cell division protein kinase 4; CMM 3; CMM3; Crk3; Cyclin dependent kinase 4; Melanoma cutaneous malignant 3; MGC14458; p34 cdk4; PSK J3; CDK4_HUMAN.Validation Data

Materials Supplied

Number Component 50T Concentration Storage
1 PBS Buffer (powder) 2L x 2 20x RT
2 Antigen Retrieval Buffer 20ml 100x 2-8°C
3 Endogenous Peroxidase Blocking Buffer 3ml RTU 2-8°C
4 Blocking Buffer 3ml RTU 2-8°C
5 Primary Antibody (Mouse CDK4 Recombinant Rabbit mAb) 6ml RTU 2-8°C
6 Secondary Antibody (Goat Anti-Rabbit IgG H&L, HRP conjugated) 6ml RTU 2-8°C
7 Chromogen Component A 0.3ml RTU -20°C
8 Chromogen Component B 0.3ml RTU -20°C
9 Counter Staining Reagent 5ml RTU RT
10 Differentiation Reagent 6ml RTU RT
11 Mounting Media 5ml RTU RT
12 Control slide (Mouse liver) 1 slide RTU RT
13 Datasheet 1 copy

Notes

  1. The positive control slide provided in the kit allows you to be sure that the experimental set-up is working properly.
  2. Do not allow slides to dry at any time during this procedure.
  3. Please don't replace the matching reagents in this product with other manufacturers' products.
  4. As DAB is a carcinogen, please take necessary precautions.
  5. PBS (reagent 1) can be stored for one week at 4℃ after preparation; The antigen retrieval buffer (1×reagent 2) and the chromogenic agent (the mixture of reagents 7 and 8) should be prepared right before each assay.


As DAB is a carcinogen, please take necessary precautions.

Important Note: This product as supplied is intended for research use only, not for use in human, therapeutic or diagnostic applications.