Receive 30% off all Monoclonal IHC antibodies with code "MONO-IHC-30"! Offer valid for US customers and available internationally through distributors.

Human ULK3 Ready-To-Use IHC Kit

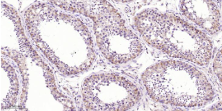
Immunohistochemical analysis of paraffin embedded Human testis tissue slide using IHC0562H (Human ULK3 Kit).
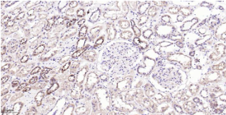
Immunohistochemical analysis of paraffin embedded Human kidney tissue slide using IHC0562H (Human ULK3 Kit).
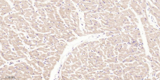
Immunohistochemical analysis of paraffin embedded Human heart tissue slide using IHC0562H (Human ULK3 Kit).

Human ULK3 Ready-To-Use IHC Kit

Cat. No.: IHC0562H
Sample Type:
FFPE tissue
Size:
50T (including a control slide)
Storage and Stability:
Please store components at the temperatures indicated on the individual tube labels. The kit is stable for 6 months from the date of receipt.

Background

ULK3 or unc-51-like kinase 3 is a member of the serine/threonine kinase family that is involved in the SHH signaling pathway as a positive regulator of GLI proteins. ULK3 enhances endogenous and over-expressed GLI transcriptional activity in cultured cells and alters its subcellular localization. Furthermore, ULK3 phosphorylates GLI proteins in vitro. ULK3 is widely expressed and its expression is higher in a number of tissues where SHH signaling is known to be active, again suggesting that ULK3 is involved in the SHH pathway as a positive regulator of GLI proteins.

Synonyms

1200015E14Rik; ULK3; DKFZP434C131; FLJ90566; Serine/threonine-protein kinase ULK3; ULK3_HUMAN; unc 51 like kinase 3 (C. elegans); Unc-51-like kinase 3.Validation Data

Materials Supplied

Number Component 50T Concentration Storage
1 PBS Buffer (powder) 2L x 2 20x RT
2 Antigen Retrieval Buffer 20ml 100x 2-8°C
3 Endogenous Peroxidase Blocking Buffer 3ml RTU 2-8°C
4 Blocking Buffer 3ml RTU 2-8°C
5 Primary Antibody (Human ULK3 Recombinant Rabbit mAb) 6ml RTU 2-8°C
6 Secondary Antibody (Goat Anti-Rabbit IgG H&L, HRP conjugated) 6ml RTU 2-8°C
7 Chromogen Component A 0.3ml RTU -20°C
8 Chromogen Component B 0.3ml RTU -20°C
9 Counter Staining Reagent 5ml RTU RT
10 Differentiation Reagent 6ml RTU RT
11 Mounting Media 5ml RTU RT
12 Control slide (Human testis) 1 slide RTU RT
13 Datasheet 1 copy

Notes

  1. The positive control slide provided in the kit allows you to be sure that the experimental set-up is working properly.
  2. Do not allow slides to dry at any time during this procedure.
  3. Please don't replace the matching reagents in this product with other manufacturers' products.
  4. As DAB is a carcinogen, please take necessary precautions.
  5. PBS (reagent 1) can be stored for one week at 4℃ after preparation; The antigen retrieval buffer (1×reagent 2) and the chromogenic agent (the mixture of reagents 7 and 8) should be prepared right before each assay.


As DAB is a carcinogen, please take necessary precautions.

Important Note: This product as supplied is intended for research use only, not for use in human, therapeutic or diagnostic applications.