Receive 30% off all Monoclonal IHC antibodies with code "MONO-IHC-30"! Offer valid for US customers and available internationally through distributors.

Rat HMGB1 Ready-To-Use IHC Kit

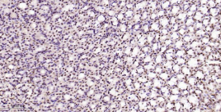
Immunohistochemical analysis of paraffin embedded Rat stomach tissue slide using IHC0566R (Rat HMGB1 Kit).

Rat HMGB1 Ready-To-Use IHC Kit

Cat. No.: IHC0566R
Sample Type:
FFPE tissue
Size:
50T (including a control slide)
Storage and Stability:
Please store components at the temperatures indicated on the individual tube labels. The kit is stable for 6 months from the date of receipt.

Background

HMGB1 (High-mobility group box-1) protein was originally described as a nuclear non-histone DNA binding chromosomal protein. However, recent studies indicate that damaged, necrotic cells liberate HMGB1 into the extracellular milieu where it functions as a proinflammatory cytokine. Mouse HMGB1 is expressed as a 215 amino acid single chain polypeptide containing three domains: two tandem-linked positively charged DNA-binding domains (HMG box A, aa 9-79; and box B, aa 89-162), and a negatively charged 30 aa C-terminal acidic tail region. Residues 28 - 44 and 180 - 185 contain a nuclear localization signal (NLS). The cytokine activity of HMGB1 is contained in the B box, while the A box is associated with the helix-loop-helix domain of transcription factors. HMGB1 acts both as an inflammatory mediator that promotes monocyte migration and cytokine secretion, as well as a mediator of T cell-dendritic cell interaction. HMGB1 is secreted and acts to transduce cellular signals through its high affinity receptor, RAGE and possibly, TLR2 and TLR4. HMGB1 is highly conserved and ubiquitous in the nuclei and cytoplasm of nearly all cell types, is a necessary and sufficient mediator of inflammation during sterile and infection-associated responses. HMGB1 also act as DNA nuclear binding protein that has recently been shown to be an early trigger of sterile inflammation in animal models of trauma-hemorrhage via the activation of the Toll-like receptor 4 (TLR4) and the receptor for the advanced glycation endproducts (RAGE). Moreover, HMGB1 is reported that the level of HMGB1 is elevated during sterile tissue injury, infection, lethal endotoxemia or sepsis, collagen-induced arthritis, and ischemia-reperfusion induced tissue injury.

Synonyms

Amphoterin; High mobility group 1; High Mobility Group Box 1; High mobility group protein 1; High mobility group protein B1; HMG3; HMGB 1; HMGB-1; Hmgb1 protein; Nonhistone chromosomal protein HMG1; SBP 1; SBP-1; Sulfoglucuronyl carbohydrate binding protein; HMGB1_HUMAN; Ac2-008; amphoterin; DEF; HMG-1; HMG1; HMGB1; p30.

Materials Supplied

Number Component 50T Concentration Storage
1 PBS Buffer (powder) 2L x 2 20x RT
2 Antigen Retrieval Buffer 20ml 100x 2-8°C
3 Endogenous Peroxidase Blocking Buffer 3ml RTU 2-8°C
4 Blocking Buffer 3ml RTU 2-8°C
5 Primary Antibody (Rat HMGB1 Recombinant Rabbit mAb) 6ml RTU 2-8°C
6 Secondary Antibody (Goat Anti-Rabbit IgG H&L, HRP conjugated) 6ml RTU 2-8°C
7 Chromogen Component A 0.3ml RTU -20°C
8 Chromogen Component B 0.3ml RTU -20°C
9 Counter Staining Reagent 5ml RTU RT
10 Differentiation Reagent 6ml RTU RT
11 Mounting Media 5ml RTU RT
12 Control slide (Rat kidney) 1 slide RTU RT
13 Datasheet 1 copy

Notes

  1. The positive control slide provided in the kit allows you to be sure that the experimental set-up is working properly.
  2. Do not allow slides to dry at any time during this procedure.
  3. Please don't replace the matching reagents in this product with other manufacturers' products.
  4. As DAB is a carcinogen, please take necessary precautions.
  5. PBS (reagent 1) can be stored for one week at 4℃ after preparation; The antigen retrieval buffer (1×reagent 2) and the chromogenic agent (the mixture of reagents 7 and 8) should be prepared right before each assay.


As DAB is a carcinogen, please take necessary precautions.

Important Note: This product as supplied is intended for research use only, not for use in human, therapeutic or diagnostic applications.