Receive 30% off all Monoclonal IHC antibodies with code "MONO-IHC-30"! Offer valid for US customers and available internationally through distributors.

Human Trefoil factor 1 Ready-To-Use IHC Kit

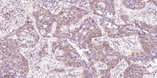
Immunohistochemical analysis of paraffin embedded Human lung cancer tissue slide using IHC0571H (Human Trefoil factor 1 Kit).
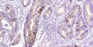
Immunohistochemical analysis of paraffin embedded Human colon cancer tissue slide using IHC0571H (Human Trefoil factor 1 Kit).
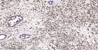
Immunohistochemical analysis of paraffin embedded Human breast cancer tissue slide using IHC0571H (Human Trefoil factor 1 Kit).

Human Trefoil factor 1 Ready-To-Use IHC Kit

Cat. No.: IHC0571H
Sample Type:
FFPE tissue
Size:
50T (including a control slide)
Storage and Stability:
Please store components at the temperatures indicated on the individual tube labels. The kit is stable for 6 months from the date of receipt.

Background

Members of the trefoil family are characterized by having at least one copy of the trefoil motif, a 40-amino acid domain that contains three conserved disulfides. They are stable secretory proteins expressed in gastrointestinal mucosa. Their functions are not defined, but they may protect the mucosa from insults, stabilize the mucus layer, and affect healing of the epithelium. This gene, which is expressed in the gastric mucosa, has also been studied because of its expression in human tumors. This gene and two other related trefoil family member genes are found in a cluster on chromosome 21.

Synonyms

HP1.A; pNR-2; PS2; BCEI; Breast cancer estrogen inducible protein; Breast cancer estrogen inducible sequence; Breast cancer estrogen-inducible protein; D21S21; Gastrointestinal trefoil protein; Gastrointestinal trefoil protein pS2; hP1.A; HP1A; HPS 2; HPS2; pNR 2; PNR-2; pNR2; Polypeptide P1.A; Protein pS2; PS 2; pS2; pS2 protein; TFF 1; TFF1; TFF1_HUMAN; Trefoil factor 1.Validation Data

Materials Supplied

Number Component 50T Concentration Storage
1 PBS Buffer (powder) 2L x 2 20x RT
2 Antigen Retrieval Buffer 20ml 100x 2-8°C
3 Endogenous Peroxidase Blocking Buffer 3ml RTU 2-8°C
4 Blocking Buffer 3ml RTU 2-8°C
5 Primary Antibody (Human Trefoil factor 1 Recombinant Rabbit mAb) 6ml RTU 2-8°C
6 Secondary Antibody (Goat Anti-Rabbit IgG H&L, HRP conjugated) 6ml RTU 2-8°C
7 Chromogen Component A 0.3ml RTU -20°C
8 Chromogen Component B 0.3ml RTU -20°C
9 Counter Staining Reagent 5ml RTU RT
10 Differentiation Reagent 6ml RTU RT
11 Mounting Media 5ml RTU RT
12 Control slide (Human breast cancer) 1 slide RTU RT
13 Datasheet 1 copy

Notes

  1. The positive control slide provided in the kit allows you to be sure that the experimental set-up is working properly.
  2. Do not allow slides to dry at any time during this procedure.
  3. Please don't replace the matching reagents in this product with other manufacturers' products.
  4. As DAB is a carcinogen, please take necessary precautions.
  5. PBS (reagent 1) can be stored for one week at 4℃ after preparation; The antigen retrieval buffer (1×reagent 2) and the chromogenic agent (the mixture of reagents 7 and 8) should be prepared right before each assay.


As DAB is a carcinogen, please take necessary precautions.

Important Note: This product as supplied is intended for research use only, not for use in human, therapeutic or diagnostic applications.