Receive 30% off all Monoclonal IHC antibodies with code "MONO-IHC-30"! Offer valid for US customers and available internationally through distributors.

Human Cadherin 16 Ready-To-Use IHC Kit

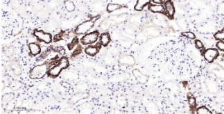
Immunohistochemical analysis of paraffin embedded Human kidney tissue slide using IHC0577H (Human Cadherin 16 Kit).

Human Cadherin 16 Ready-To-Use IHC Kit

Cat. No.: IHC0577H
Sample Type:
FFPE tissue
Size:
50T (including a control slide)
Storage and Stability:
Please store components at the temperatures indicated on the individual tube labels. The kit is stable for 6 months from the date of receipt.

Background

The cadherins are a family of Ca2+-dependent adhesion molecules that function to mediate cell-cell binding critical to the maintenance of structure and morphogenesis. Cadherins each contain a large extracellular domain at the N-terminus, which is characterized by a series of five homologous repeats, the most distal of which is thought to be responsible for binding specificity. Cadherin-16, also known as Ksp-Cadherin, is a type I membrane protein which is kidney-specific. Cadherin-16 is expressed exclusively in the basolateral membrane of renal tubular epithelial cells. The human Ksp-cadherin gene (Cadherin-16) maps to chromosome 16q21-proximal 16q22. The mouse Ksp-cadherin gene was localized to a highly syntenic region of distal Chromosome 8.

Synonyms

CDH16; UNQ695/PRO1340.Validation Data

Materials Supplied

Number Component 50T Concentration Storage
1 PBS Buffer (powder) 2L x 2 20x RT
2 Antigen Retrieval Buffer 20ml 100x 2-8°C
3 Endogenous Peroxidase Blocking Buffer 3ml RTU 2-8°C
4 Blocking Buffer 3ml RTU 2-8°C
5 Primary Antibody (Human Cadherin 16 Recombinant Rabbit mAb) 6ml RTU 2-8°C
6 Secondary Antibody (Goat Anti-Rabbit IgG H&L, HRP conjugated) 6ml RTU 2-8°C
7 Chromogen Component A 0.3ml RTU -20°C
8 Chromogen Component B 0.3ml RTU -20°C
9 Counter Staining Reagent 5ml RTU RT
10 Differentiation Reagent 6ml RTU RT
11 Mounting Media 5ml RTU RT
12 Control slide (Human kidney) 1 slide RTU RT
13 Datasheet 1 copy

Notes

  1. The positive control slide provided in the kit allows you to be sure that the experimental set-up is working properly.
  2. Do not allow slides to dry at any time during this procedure.
  3. Please don't replace the matching reagents in this product with other manufacturers' products.
  4. As DAB is a carcinogen, please take necessary precautions.
  5. PBS (reagent 1) can be stored for one week at 4℃ after preparation; The antigen retrieval buffer (1×reagent 2) and the chromogenic agent (the mixture of reagents 7 and 8) should be prepared right before each assay.


As DAB is a carcinogen, please take necessary precautions.

Important Note: This product as supplied is intended for research use only, not for use in human, therapeutic or diagnostic applications.