Receive 30% off all Monoclonal IHC antibodies with code "MONO-IHC-30"! Offer valid for US customers and available internationally through distributors.

Human FTO Ready-To-Use IHC Kit

Immunohistochemical analysis of paraffin embedded Human lung cancer tissue slide using IHC0628H (Human FTO Kit).
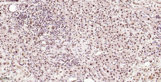
Immunohistochemical analysis of paraffin embedded Human hepatocellular carcinoma tissue slide using IHC0628H (Human FTO Kit).
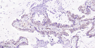
Immunohistochemical analysis of paraffin embedded Human mammary gland tissue slide using IHC0628H (Human FTO Kit).
Immunohistochemical analysis of paraffin embedded Human breast cancer tissue slide using IHC0628H (Human FTO Kit).
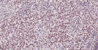
Immunohistochemical analysis of paraffin embedded Human adrenal gland tissue slide using IHC0628H (Human FTO Kit).

Human FTO Ready-To-Use IHC Kit

Cat. No.: IHC0628H
Sample Type:
FFPE tissue
Size:
50T (including a control slide)
Storage and Stability:
Please store components at the temperatures indicated on the individual tube labels. The kit is stable for 6 months from the date of receipt.

Background

FTO is a novel protein and a member of the non-heme dioxygenase (Fe(II)-and 2-oxoglutarate-dependent dioxygenases) superfamily. Amino acid conservation patterns support this hypothesis and indicates that both 2-oxoglutarate and iron should be important for FTO function. Though not much is yet known about FTO, it is thought that the protein may somehow modify the activity of genes involved in metabolism and fat storage, which in turn may influence a person's risk of obesity.

Synonyms

BMIQ14; FTO; AlkB homolog 9; ALKBH9; Alpha-ketoglutarate-dependent dioxygenase FTO; AW743446; Fat mass and obesity-associated protein; FATSO; MOUSE; HOMOLOG OF; Fto; FTO_HUMAN; GDFD; KIAA1752; mKIAA1752; Protein fatso.Validation Data

Materials Supplied

Number Component 50T Concentration Storage
1 PBS Buffer (powder) 2L x 2 20x RT
2 Antigen Retrieval Buffer 20ml 100x 2-8°C
3 Endogenous Peroxidase Blocking Buffer 3ml RTU 2-8°C
4 Blocking Buffer 3ml RTU 2-8°C
5 Primary Antibody (Human FTO Recombinant Rabbit mAb) 6ml RTU 2-8°C
6 Secondary Antibody (Goat Anti-Rabbit IgG H&L, HRP conjugated) 6ml RTU 2-8°C
7 Chromogen Component A 0.3ml RTU -20°C
8 Chromogen Component B 0.3ml RTU -20°C
9 Counter Staining Reagent 5ml RTU RT
10 Differentiation Reagent 6ml RTU RT
11 Mounting Media 5ml RTU RT
12 Control slide (Human adrenal gland) 1 slide RTU RT
13 Datasheet 1 copy

Notes

  1. The positive control slide provided in the kit allows you to be sure that the experimental set-up is working properly.
  2. Do not allow slides to dry at any time during this procedure.
  3. Please don't replace the matching reagents in this product with other manufacturers' products.
  4. As DAB is a carcinogen, please take necessary precautions.
  5. PBS (reagent 1) can be stored for one week at 4℃ after preparation; The antigen retrieval buffer (1×reagent 2) and the chromogenic agent (the mixture of reagents 7 and 8) should be prepared right before each assay.


As DAB is a carcinogen, please take necessary precautions.

Important Note: This product as supplied is intended for research use only, not for use in human, therapeutic or diagnostic applications.