Receive 30% off all Monoclonal IHC antibodies with code "MONO-IHC-30"! Offer valid for US customers and available internationally through distributors.

Mouse IFABP Ready-To-Use IHC Kit

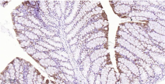
Immunohistochemical analysis of paraffin embedded Mouse colon tissue slide using IHC0632M (Mouse IFABP Kit).

Mouse IFABP Ready-To-Use IHC Kit

Cat. No.: IHC0632M
Sample Type:
FFPE tissue
Size:
50T (including a control slide)
Storage and Stability:
Please store components at the temperatures indicated on the individual tube labels. The kit is stable for 6 months from the date of receipt.

Background

The FABP2 gene encodes the intestinal fatty acid-binding protein 2 (I-FABP), which plays a significant role in lipid metabolism by facilitating the transport and intracellular trafficking of long-chain fatty acids in enterocytes, the absorptive cells in the intestine. FABP2 is involved in the uptake, metabolism, and transfer of fatty acids across cellular membranes, contributing to digestion and absorption processes in the intestine. This protein is crucial for efficient lipid metabolism, influencing fatty acid oxidation, and energy balance. Variations in the FABP2 gene have been associated with metabolic traits, such as insulin sensitivity, lipid profiles, and obesity, suggesting its impact on metabolic health. FABP2's function in intestinal lipid absorption and metabolism makes it a subject of interest in studies related to dietary effects on health and the development of metabolic disorders. Understanding FABP2's role is essential for insights into nutritional influences on health and possible therapeutic targets for metabolic diseases.

Synonyms

FABP2; FABPI; I-FABP; FABP 2; Fatty acid binding protein 2 intestinal; Fatty acid binding protein intestinal; Fatty acid-binding protein; IFABP; Intestinal fatty acid binding protein 2; MGC133132; FABPI_HUMAN.Validation Data

Materials Supplied

Number Component 50T Concentration Storage
1 PBS Buffer (powder) 2L x 2 20x RT
2 Antigen Retrieval Buffer 20ml 100x 2-8°C
3 Endogenous Peroxidase Blocking Buffer 3ml RTU 2-8°C
4 Blocking Buffer 3ml RTU 2-8°C
5 Primary Antibody (Mouse IFABP Recombinant Rabbit mAb) 6ml RTU 2-8°C
6 Secondary Antibody (Goat Anti-Rabbit IgG H&L, HRP conjugated) 6ml RTU 2-8°C
7 Chromogen Component A 0.3ml RTU -20°C
8 Chromogen Component B 0.3ml RTU -20°C
9 Counter Staining Reagent 5ml RTU RT
10 Differentiation Reagent 6ml RTU RT
11 Mounting Media 5ml RTU RT
12 Control slide (Mouse colon) 1 slide RTU RT
13 Datasheet 1 copy

Notes

  1. The positive control slide provided in the kit allows you to be sure that the experimental set-up is working properly.
  2. Do not allow slides to dry at any time during this procedure.
  3. Please don't replace the matching reagents in this product with other manufacturers' products.
  4. As DAB is a carcinogen, please take necessary precautions.
  5. PBS (reagent 1) can be stored for one week at 4℃ after preparation; The antigen retrieval buffer (1×reagent 2) and the chromogenic agent (the mixture of reagents 7 and 8) should be prepared right before each assay.


As DAB is a carcinogen, please take necessary precautions.

Important Note: This product as supplied is intended for research use only, not for use in human, therapeutic or diagnostic applications.