Receive 30% off all Monoclonal IHC antibodies with code "MONO-IHC-30"! Offer valid for US customers and available internationally through distributors.

Human SPINK1 Ready-To-Use IHC Kit

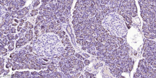
Immunohistochemical analysis of paraffin embedded Human pancreas tissue slide using IHC0633H (Human SPINK1 Kit).

Human SPINK1 Ready-To-Use IHC Kit

Cat. No.: IHC0633H
Sample Type:
FFPE tissue
Size:
50T (including a control slide)
Storage and Stability:
Please store components at the temperatures indicated on the individual tube labels. The kit is stable for 6 months from the date of receipt.

Background

This is a trypsin inhibitor, its physiological function is to prevent the trypsin-catalyzed premature activation of zymogens within the pancreas. Defects in SPINK1 are a cause of pancreatitis (PCTT) [MIM:167800]. A disease characterized by the presence of calculi in pancreatic ducts. It causes severe abdominal pain attacks. Defects in SPINK1 are the cause of susceptibility to tropical calcific pancreatitis (TCP) [MIM:608189]. TCP is an idiopathic, juvenile, nonalcoholic form of chronic pancreatitis widely prevalent in several tropical countries. It can be associated with fibrocalculous pancreatic diabetes (FCPD) depending on both environmental and genetic factors. TCP differs from alcoholic pancreatitis by a much younger age of onset, pancreatic calcification, a high incidence of insulin dependent but ketosis resistant diabetes mellitus, and an exceptionally high incidence of pancreatic cancer.

Synonyms

PCTT; PSTI; SPINK1; Spink3; TATI; TCP; Pancreatic Secretory Trypsin Inhibitor; Serine Protease Inhibitor Kazal-Type 1; Tumor-Associated Trypsin Inhibitor.Validation Data

Materials Supplied

Number Component 50T Concentration Storage
1 PBS Buffer (powder) 2L x 2 20x RT
2 Antigen Retrieval Buffer 20ml 100x 2-8°C
3 Endogenous Peroxidase Blocking Buffer 3ml RTU 2-8°C
4 Blocking Buffer 3ml RTU 2-8°C
5 Primary Antibody (Human SPINK1 Recombinant Rabbit mAb) 6ml RTU 2-8°C
6 Secondary Antibody (Goat Anti-Rabbit IgG H&L, HRP conjugated) 6ml RTU 2-8°C
7 Chromogen Component A 0.3ml RTU -20°C
8 Chromogen Component B 0.3ml RTU -20°C
9 Counter Staining Reagent 5ml RTU RT
10 Differentiation Reagent 6ml RTU RT
11 Mounting Media 5ml RTU RT
12 Control slide (Human pancreas) 1 slide RTU RT
13 Datasheet 1 copy

Notes

  1. The positive control slide provided in the kit allows you to be sure that the experimental set-up is working properly.
  2. Do not allow slides to dry at any time during this procedure.
  3. Please don't replace the matching reagents in this product with other manufacturers' products.
  4. As DAB is a carcinogen, please take necessary precautions.
  5. PBS (reagent 1) can be stored for one week at 4℃ after preparation; The antigen retrieval buffer (1×reagent 2) and the chromogenic agent (the mixture of reagents 7 and 8) should be prepared right before each assay.


As DAB is a carcinogen, please take necessary precautions.

Important Note: This product as supplied is intended for research use only, not for use in human, therapeutic or diagnostic applications.