Receive 30% off all Monoclonal IHC antibodies with code "MONO-IHC-30"! Offer valid for US customers and available internationally through distributors.

Mouse AP2 alpha Ready-To-Use IHC Kit

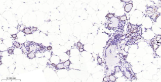
Immunohistochemical analysis of paraffin embedded Mouse mammary gland tissue slide using IHC0637M (Mouse AP2 alpha Kit).

Mouse AP2 alpha Ready-To-Use IHC Kit

Cat. No.: IHC0637M
Sample Type:
FFPE tissue
Size:
50T (including a control slide)
Storage and Stability:
Please store components at the temperatures indicated on the individual tube labels. The kit is stable for 6 months from the date of receipt.

Background

TFAP2A is a sequence-specific DNA-binding protein that interacts with inducible viral and cellular enhancer elements to regulate transcription of selected genes. AP-2 factors bind to the consensus sequence 5'-GCCNNNGGC-3' and activate genes involved in a large spectrum of important biological functions including proper eye, face, body wall, limbs and neural tube development. They also suppress a number of genes including MCAM/MUC18, C/EBP alpha and MYC. TFAP2A is the only AP-2 protein required for early morphogenesis of the lens vesicle.

Synonyms

Ap-2 (a); AP-2alpha; Ap2; AP2alpha; Tcfap2a; TFAP2; Activating enhancer binding protein 2 alpha; Activating enhancer-binding protein 2-alpha; Activator protein 2; AP 2 transcription factor; AP 2alpha; AP-2; AP-2 transcription factor; AP2; AP2 Transcription Factor; AP2-alpha; AP2A_HUMAN; AP2TF; BOFS; FLJ51761; TFAP 2; TFAP 2A; TFAP2; TFAP2A; Transcription factor AP 2 alpha (activating enhancer binding protein 2 alpha); Transcription factor AP-2-alpha; Transcription factor AP2 alpha.Validation Data

Materials Supplied

Number Component 50T Concentration Storage
1 PBS Buffer (powder) 2L x 2 20x RT
2 Antigen Retrieval Buffer 20ml 100x 2-8°C
3 Endogenous Peroxidase Blocking Buffer 3ml RTU 2-8°C
4 Blocking Buffer 3ml RTU 2-8°C
5 Primary Antibody (Mouse AP2 alpha Recombinant Rabbit mAb) 6ml RTU 2-8°C
6 Secondary Antibody (Goat Anti-Rabbit IgG H&L, HRP conjugated) 6ml RTU 2-8°C
7 Chromogen Component A 0.3ml RTU -20°C
8 Chromogen Component B 0.3ml RTU -20°C
9 Counter Staining Reagent 5ml RTU RT
10 Differentiation Reagent 6ml RTU RT
11 Mounting Media 5ml RTU RT
12 Control slide (Mouse skin) 1 slide RTU RT
13 Datasheet 1 copy

Notes

  1. The positive control slide provided in the kit allows you to be sure that the experimental set-up is working properly.
  2. Do not allow slides to dry at any time during this procedure.
  3. Please don't replace the matching reagents in this product with other manufacturers' products.
  4. As DAB is a carcinogen, please take necessary precautions.
  5. PBS (reagent 1) can be stored for one week at 4℃ after preparation; The antigen retrieval buffer (1×reagent 2) and the chromogenic agent (the mixture of reagents 7 and 8) should be prepared right before each assay.


As DAB is a carcinogen, please take necessary precautions.

Important Note: This product as supplied is intended for research use only, not for use in human, therapeutic or diagnostic applications.