Receive 30% off all Monoclonal IHC antibodies with code "MONO-IHC-30"! Offer valid for US customers and available internationally through distributors.

Mouse Adrenodoxin Ready-To-Use IHC Kit

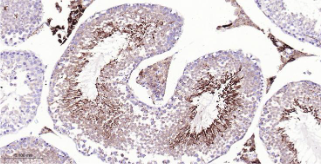
Immunohistochemical analysis of paraffin embedded Mouse testis tissue slide using IHC0640M (Mouse Adrenodoxin Kit).

Mouse Adrenodoxin Ready-To-Use IHC Kit

Cat. No.: IHC0640M
Sample Type:
FFPE tissue
Size:
50T (including a control slide)
Storage and Stability:
Please store components at the temperatures indicated on the individual tube labels. The kit is stable for 6 months from the date of receipt.

Background

The product of this gene is a small iron-sulfur protein that transfers electrons from NADPH through ferredoxin reductase to a terminal cytochrome P450. This particular oxidation/reduction system is found in steroidogenic tissues, and is involved with the synthesis of bile acid and vitamin D. In addition to the expressed gene at this chromosomal locus (11q22), there are pseudogenes located on chromosomes 20 and 21. This gene product has been identified in a number of different tissues but all forms have been shown to be identical and are not tissue specific.

Synonyms

FDX1; Adrenal ferredoxin; Adrenodoxin; Adrenodoxin; mitochondrial; ADX; ADX_HUMAN; FDX; fdx1; Ferredoxin 1; Ferredoxin-1; Hepatoredoxin; LOH11CR1D; Mitochondrial adrenodoxin; mitochondrial.Validation Data

Materials Supplied

Number Component 50T Concentration Storage
1 PBS Buffer (powder) 2L x 2 20x RT
2 Antigen Retrieval Buffer 20ml 100x 2-8°C
3 Endogenous Peroxidase Blocking Buffer 3ml RTU 2-8°C
4 Blocking Buffer 3ml RTU 2-8°C
5 Primary Antibody (Mouse Adrenodoxin Recombinant Rabbit mAb) 6ml RTU 2-8°C
6 Secondary Antibody (Goat Anti-Rabbit IgG H&L, HRP conjugated) 6ml RTU 2-8°C
7 Chromogen Component A 0.3ml RTU -20°C
8 Chromogen Component B 0.3ml RTU -20°C
9 Counter Staining Reagent 5ml RTU RT
10 Differentiation Reagent 6ml RTU RT
11 Mounting Media 5ml RTU RT
12 Control slide (Mouse testis) 1 slide RTU RT
13 Datasheet 1 copy

Notes

  1. The positive control slide provided in the kit allows you to be sure that the experimental set-up is working properly.
  2. Do not allow slides to dry at any time during this procedure.
  3. Please don't replace the matching reagents in this product with other manufacturers' products.
  4. As DAB is a carcinogen, please take necessary precautions.
  5. PBS (reagent 1) can be stored for one week at 4℃ after preparation; The antigen retrieval buffer (1×reagent 2) and the chromogenic agent (the mixture of reagents 7 and 8) should be prepared right before each assay.


As DAB is a carcinogen, please take necessary precautions.

Important Note: This product as supplied is intended for research use only, not for use in human, therapeutic or diagnostic applications.