Receive 30% off all Monoclonal IHC antibodies with code "MONO-IHC-30"! Offer valid for US customers and available internationally through distributors.

Mouse EIF2S1 Ready-To-Use IHC Kit

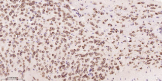
Immunohistochemical analysis of paraffin embedded Mouse brain tissue slide using IHC0645M (Mouse EIF2S1 Kit).

Mouse EIF2S1 Ready-To-Use IHC Kit

Cat. No.: IHC0645M
Sample Type:
FFPE tissue
Size:
50T (including a control slide)
Storage and Stability:
Please store components at the temperatures indicated on the individual tube labels. The kit is stable for 6 months from the date of receipt.

Background

EIF2a (Eukaryotic translation initiation factor 2A) is a heterotrimer composed of three subunits (alpha, beta, and gamma). This translation initiation factor drives binding of initiator methionyl-tRNA to the 40S ribosome in an AUG-dependent manner to form the 43S pre-initiation complex. The polypeptide can be phosphorylated by related protein kinases activated in response to stress. Phosphorylated EIF2A inhibits EIF2B activity and prevents guanine nucleotide exchange.

Synonyms

0910001O23Rik; 2410026C18Rik; 35kDa; EIF-2; EIF-2A; EIF-2alpha; EIF2; EIF2A; eIF2alpha; EIF2S1; eukaryotic translation initiation factor 2 subunit 1.Validation Data

Materials Supplied

Number Component 50T Concentration Storage
1 PBS Buffer (powder) 2L x 2 20x RT
2 Antigen Retrieval Buffer 20ml 100x 2-8°C
3 Endogenous Peroxidase Blocking Buffer 3ml RTU 2-8°C
4 Blocking Buffer 3ml RTU 2-8°C
5 Primary Antibody (Mouse EIF2S1 Recombinant Rabbit mAb) 6ml RTU 2-8°C
6 Secondary Antibody (Goat Anti-Rabbit IgG H&L, HRP conjugated) 6ml RTU 2-8°C
7 Chromogen Component A 0.3ml RTU -20°C
8 Chromogen Component B 0.3ml RTU -20°C
9 Counter Staining Reagent 5ml RTU RT
10 Differentiation Reagent 6ml RTU RT
11 Mounting Media 5ml RTU RT
12 Control slide (Mouse brain) 1 slide RTU RT
13 Datasheet 1 copy

Notes

  1. The positive control slide provided in the kit allows you to be sure that the experimental set-up is working properly.
  2. Do not allow slides to dry at any time during this procedure.
  3. Please don't replace the matching reagents in this product with other manufacturers' products.
  4. As DAB is a carcinogen, please take necessary precautions.
  5. PBS (reagent 1) can be stored for one week at 4℃ after preparation; The antigen retrieval buffer (1×reagent 2) and the chromogenic agent (the mixture of reagents 7 and 8) should be prepared right before each assay.


As DAB is a carcinogen, please take necessary precautions.

Important Note: This product as supplied is intended for research use only, not for use in human, therapeutic or diagnostic applications.