Receive 30% off all Monoclonal IHC antibodies with code "MONO-IHC-30"! Offer valid for US customers and available internationally through distributors.

Human Collagen III Ready-To-Use IHC Kit

Immunohistochemical analysis of paraffin embedded Human lung cancer tissue slide using IHC0655H (Human Collagen III Kit).
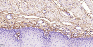
Immunohistochemical analysis of paraffin embedded Human abdominal skin tissue slide using IHC0655H (Human Collagen III Kit).
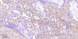
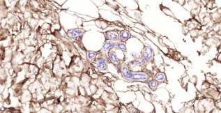
Immunohistochemical analysis of paraffin embedded Human colon cancer tissue slide using IHC0655H (Human Collagen III Kit).
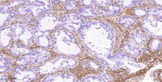
Immunohistochemical analysis of paraffin embedded Human prostate cancer tissue slide using IHC0655H (Human Collagen III Kit).
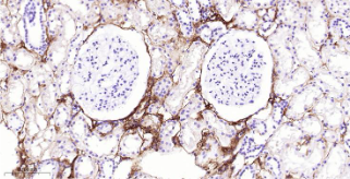
Immunohistochemical analysis of paraffin embedded Human kidney tissue slide using IHC0655H (Human Collagen III Kit).
Immunohistochemical analysis of paraffin embedded Human esophagus tissue slide using IHC0655H (Human Collagen III Kit).

Human Collagen III Ready-To-Use IHC Kit

Cat. No.: IHC0655H
Sample Type:
FFPE tissue
Size:
50T (including a control slide)
Storage and Stability:
Please store components at the temperatures indicated on the individual tube labels. The kit is stable for 6 months from the date of receipt.

Background

Collagen III is a fibrillar collagen that is found in extensible connective tissues such as skin, lung, and the vascular system, frequently in association with type I Collagen. Mutations in th gene are associated with Ehlers Danlos syndrome type IV, and with aortic and arterial aneurysms. Although alternate transcripts have been detected for this gene, they are the result of mutations; these mutations alter splicing, often leading to the exclusion of multiple exons.

Synonyms

COL3A1; EDS4A; CO3A1; Collagen alpha 1(III) chain; Collagen III alpha 1 chain precursor; Collagen type III alpha 1.Validation Data

Materials Supplied

Number Component 50T Concentration Storage
1 PBS Buffer (powder) 2L x 2 20x RT
2 Antigen Retrieval Buffer 20ml 100x 2-8°C
3 Endogenous Peroxidase Blocking Buffer 3ml RTU 2-8°C
4 Blocking Buffer 3ml RTU 2-8°C
5 Primary Antibody (Human Collagen III Mouse mAb) 6ml RTU 2-8°C
6 Secondary Antibody (AffiniPure Goat Anti-Mouse IgG H&L, HRP conjugated) 6ml RTU 2-8°C
7 Chromogen Component A 0.3ml RTU -20°C
8 Chromogen Component B 0.3ml RTU -20°C
9 Counter Staining Reagent 5ml RTU RT
10 Differentiation Reagent 6ml RTU RT
11 Mounting Media 5ml RTU RT
12 Control slide (Human prostate) 1 slide RTU RT
13 Datasheet 1 copy

Notes

  1. The positive control slide provided in the kit allows you to be sure that the experimental set-up is working properly.
  2. Do not allow slides to dry at any time during this procedure.
  3. Please don't replace the matching reagents in this product with other manufacturers' products.
  4. As DAB is a carcinogen, please take necessary precautions.
  5. PBS (reagent 1) can be stored for one week at 4℃ after preparation; The antigen retrieval buffer (1×reagent 2) and the chromogenic agent (the mixture of reagents 7 and 8) should be prepared right before each assay.


As DAB is a carcinogen, please take necessary precautions.

Important Note: This product as supplied is intended for research use only, not for use in human, therapeutic or diagnostic applications.