Receive 30% off all Monoclonal IHC antibodies with code "MONO-IHC-30"! Offer valid for US customers and available internationally through distributors.

Human S100A4 Ready-To-Use IHC Kit

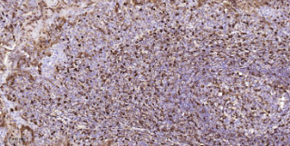
Immunohistochemical analysis of paraffin embedded Human tonsil tissue slide using IHC0661H (Human S100A4 Kit).
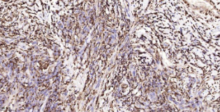
Immunohistochemical analysis of paraffin embedded Human cervical cancer tissue slide using IHC0661H (Human S100A4 Kit).

Human S100A4 Ready-To-Use IHC Kit

Cat. No.: IHC0661H
Sample Type:
FFPE tissue
Size:
50T (including a control slide)
Storage and Stability:
Please store components at the temperatures indicated on the individual tube labels. The kit is stable for 6 months from the date of receipt.

Background

The protein encoded by this gene is a member of the S100 family of proteins containing 2 EF-hand calcium-binding motifs. S100 proteins are localized in the cytoplasm and/or nucleus of a wide range of cells, and involved in the regulation of a number of cellular processes such as cell cycle progression and differentiation. S100 genes include at least 13 members which are located as a cluster on chromosome 1q21. This protein may function in motility, invasion, and tubulin polymerization. Chromosomal rearrangements and altered expression of this gene have been implicated in tumor metastasis. Multiple alternatively spliced variants, encoding the same protein, have been identified.

Synonyms

18A2; 42A; CAPL; FSP1; metastasin; MTS1; P9KA; PEL98; pk9a; RNP9KA; S100A4.Validation Data

Materials Supplied

Number Component 50T Concentration Storage
1 PBS Buffer (powder) 2L x 2 20x RT
2 Antigen Retrieval Buffer 20ml 100x 2-8°C
3 Endogenous Peroxidase Blocking Buffer 3ml RTU 2-8°C
4 Blocking Buffer 3ml RTU 2-8°C
5 Primary Antibody (Human S100A4 Recombinant Rabbit mAb) 6ml RTU 2-8°C
6 Secondary Antibody (Goat Anti-Rabbit IgG H&L, HRP conjugated) 6ml RTU 2-8°C
7 Chromogen Component A 0.3ml RTU -20°C
8 Chromogen Component B 0.3ml RTU -20°C
9 Counter Staining Reagent 5ml RTU RT
10 Differentiation Reagent 6ml RTU RT
11 Mounting Media 5ml RTU RT
12 Control slide (Human tonsil) 1 slide RTU RT
13 Datasheet 1 copy

Notes

  1. The positive control slide provided in the kit allows you to be sure that the experimental set-up is working properly.
  2. Do not allow slides to dry at any time during this procedure.
  3. Please don't replace the matching reagents in this product with other manufacturers' products.
  4. As DAB is a carcinogen, please take necessary precautions.
  5. PBS (reagent 1) can be stored for one week at 4℃ after preparation; The antigen retrieval buffer (1×reagent 2) and the chromogenic agent (the mixture of reagents 7 and 8) should be prepared right before each assay.


As DAB is a carcinogen, please take necessary precautions.

Important Note: This product as supplied is intended for research use only, not for use in human, therapeutic or diagnostic applications.