Receive 30% off all Monoclonal IHC antibodies with code "MONO-IHC-30"! Offer valid for US customers and available internationally through distributors.

Human CD59 Ready-To-Use IHC Kit

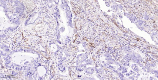
Immunohistochemical analysis of paraffin embedded Human lung cancer tissue slide using IHC0663H (Human CD59 Kit).
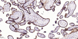
Immunohistochemical analysis of paraffin embedded Human placenta tissue slide using IHC0663H (Human CD59 Kit).

Human CD59 Ready-To-Use IHC Kit

Cat. No.: IHC0663H
Sample Type:
FFPE tissue
Size:
50T (including a control slide)
Storage and Stability:
Please store components at the temperatures indicated on the individual tube labels. The kit is stable for 6 months from the date of receipt.

Background

CD59 (Protectin) is a small (18-20 kDa) GPI-anchored ubiquitously expressed inhibitor of the membrane attack complex (MAC). CD59 is the key regulator that preserves the autologous cells from terminal effector mechanism of the complement cascade. CD59 also associates with C5b-8 complex and counteracts appropriate formation of cytolytic pore within the plasma membrane. Further, CD59 is a low-affinity ligand of human CD2, causes T cell costimulation, and is involved in lymphocyte signal transduction. CD59 is a potent inhibitor of the complement membrane attack complex, whereby it binds complement C8 and/or C9 during the assembly of this complex, thereby inhibiting the incorporation of multiple copies of C9 into the complex, which is necessary for osmolytic pore formation. Mutations in this gene cause CD59 deficiency, a disease involving hemolytic anemia, thrombosis, and cerebral infarction. Multiple alternatively spliced transcript variants of CD59 have been identified.

Synonyms

16.3A5; 1F5; CD59; EJ16; EJ30; EL32; G344; HRF-20; HRF20; MAC-IP; MACIF; MEM43; MIC11; MIN1; MIN2; MIN3; MIRL; MSK21; p18-20; CD59 glycoprotein.Validation Data

Materials Supplied

Number Component 50T Concentration Storage
1 PBS Buffer (powder) 2L x 2 20x RT
2 Antigen Retrieval Buffer 20ml 100x 2-8°C
3 Endogenous Peroxidase Blocking Buffer 3ml RTU 2-8°C
4 Blocking Buffer 3ml RTU 2-8°C
5 Primary Antibody (Human CD59 Recombinant Rabbit mAb) 6ml RTU 2-8°C
6 Secondary Antibody (Goat Anti-Rabbit IgG H&L, HRP conjugated) 6ml RTU 2-8°C
7 Chromogen Component A 0.3ml RTU -20°C
8 Chromogen Component B 0.3ml RTU -20°C
9 Counter Staining Reagent 5ml RTU RT
10 Differentiation Reagent 6ml RTU RT
11 Mounting Media 5ml RTU RT
12 Control slide (Human placenta) 1 slide RTU RT
13 Datasheet 1 copy

Notes

  1. The positive control slide provided in the kit allows you to be sure that the experimental set-up is working properly.
  2. Do not allow slides to dry at any time during this procedure.
  3. Please don't replace the matching reagents in this product with other manufacturers' products.
  4. As DAB is a carcinogen, please take necessary precautions.
  5. PBS (reagent 1) can be stored for one week at 4℃ after preparation; The antigen retrieval buffer (1×reagent 2) and the chromogenic agent (the mixture of reagents 7 and 8) should be prepared right before each assay.


As DAB is a carcinogen, please take necessary precautions.

Important Note: This product as supplied is intended for research use only, not for use in human, therapeutic or diagnostic applications.