Receive 30% off all Monoclonal IHC antibodies with code "MONO-IHC-30"! Offer valid for US customers and available internationally through distributors.

Human CD50 Ready-To-Use IHC Kit

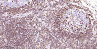
Immunohistochemical analysis of paraffin embedded Human tonsil tissue slide using IHC0667H (Human CD50 Kit).
Immunohistochemical analysis of paraffin embedded Human colon tissue slide using IHC0667H (Human CD50 Kit).
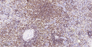
Immunohistochemical analysis of paraffin embedded Human spleen tissue slide using IHC0667H (Human CD50 Kit).

Human CD50 Ready-To-Use IHC Kit

Cat. No.: IHC0667H
Sample Type:
FFPE tissue
Size:
50T (including a control slide)
Storage and Stability:
Please store components at the temperatures indicated on the individual tube labels. The kit is stable for 6 months from the date of receipt.

Background

CD50 (intracellular adhesion molecule 3, ICAM-3) is a transmembrane glycoprotein expressed by leukocytes, that serves as a counter-receptor for the lymphocyte function-associated antigen (LFA)-1 integrin. Besides functioning as an adhesive molecule that mediates e.g. the contact between T cells and antigen presenting cells, ICAM-3 regulates affinity of LFA-1 for ICAM-1 and induces T cell activation and proliferation. ICAM-3 plays an essential role in the initiation of the immune response both on T cells and antigen presenting cells and interacts also with CD209 (dendritic cell-specific ICAM-3-grabbing nonintegrin, DC-SIGN), a C-type lectin of dendritic cells and macrophages; this process is involved in dialogue between dendritic cells and granulocytes.

Synonyms

intercellular adhesion molecules-3; Intercellular adhesion molecule 3; ICAM-3; ICAM 3; CD50; CDW 50; CDW50; ICAM 3; ICAM R; ICAMR; CD 50; CD50 antigen; ICAM-R; ICAM3; ICAM3_HUMAN.Validation Data

Materials Supplied

Number Component 50T Concentration Storage
1 PBS Buffer (powder) 2L x 2 20x RT
2 Antigen Retrieval Buffer 20ml 100x 2-8°C
3 Endogenous Peroxidase Blocking Buffer 3ml RTU 2-8°C
4 Blocking Buffer 3ml RTU 2-8°C
5 Primary Antibody (Human CD50 Recombinant Rabbit mAb) 6ml RTU 2-8°C
6 Secondary Antibody (Goat Anti-Rabbit IgG H&L, HRP conjugated) 6ml RTU 2-8°C
7 Chromogen Component A 0.3ml RTU -20°C
8 Chromogen Component B 0.3ml RTU -20°C
9 Counter Staining Reagent 5ml RTU RT
10 Differentiation Reagent 6ml RTU RT
11 Mounting Media 5ml RTU RT
12 Control slide (Human tonsil) 1 slide RTU RT
13 Datasheet 1 copy

Notes

  1. The positive control slide provided in the kit allows you to be sure that the experimental set-up is working properly.
  2. Do not allow slides to dry at any time during this procedure.
  3. Please don't replace the matching reagents in this product with other manufacturers' products.
  4. As DAB is a carcinogen, please take necessary precautions.
  5. PBS (reagent 1) can be stored for one week at 4℃ after preparation; The antigen retrieval buffer (1×reagent 2) and the chromogenic agent (the mixture of reagents 7 and 8) should be prepared right before each assay.


As DAB is a carcinogen, please take necessary precautions.

Important Note: This product as supplied is intended for research use only, not for use in human, therapeutic or diagnostic applications.