Receive 30% off all Monoclonal IHC antibodies with code "MONO-IHC-30"! Offer valid for US customers and available internationally through distributors.

Human RUNX1/RUNX2/RUNX3 Ready-To-Use IHC Kit

Immunohistochemical analysis of paraffin embedded Human colon cancer tissue slide using IHC0668H (Human RUNX1/RUNX2/RUNX3 Kit).
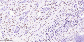
Immunohistochemical analysis of paraffin embedded Human mammary gland tissue slide using IHC0668H (Human RUNX1/RUNX2/RUNX3 Kit).

Human RUNX1/RUNX2/RUNX3 Ready-To-Use IHC Kit

Cat. No.: IHC0668H
Sample Type:
FFPE tissue
Size:
50T (including a control slide)
Storage and Stability:
Please store components at the temperatures indicated on the individual tube labels. The kit is stable for 6 months from the date of receipt.

Background

Core binding factor (CBF) is a heterodimeric transcription factor that binds to the core element of many enhancers and promoters. The protein encoded by this gene represents the alpha subunit of CBF and is thought to be involved in the development of normal hematopoiesis. Chromosomal translocations involving this gene are welldocumented and have been associated with several types of leukemia. Three transcript variants encoding different isoforms have been found for this gene.

Synonyms

AML1; AML1-EVI-1; AML2; AML3; AMLCR1; Cbf; CBF-alpha-1; CBF-alpha-2; CBF2alpha; Cbfa-1; CBFA1; CBFA2; CBFA3; CCD; CCD1; CLCD; EVI-1; LS3; OSF-2; OSF2; PEA2aA; PEBP2A; Pebp2a1; Pebp2a2; PEBP2A3; PEBP2aA; PEBP2aB; PEBP2aC; PEBP2alpha; Pebpa2a; Pebpa2b; RUNX1; RUNX2; RUNX3.Validation Data

Materials Supplied

Number Component 50T Concentration Storage
1 PBS Buffer (powder) 2L x 2 20x RT
2 Antigen Retrieval Buffer 20ml 100x 2-8°C
3 Endogenous Peroxidase Blocking Buffer 3ml RTU 2-8°C
4 Blocking Buffer 3ml RTU 2-8°C
5 Primary Antibody (Human RUNX1/RUNX2/RUNX3 Recombinant Rabbit mAb) 6ml RTU 2-8°C
6 Secondary Antibody (Goat Anti-Rabbit IgG H&L, HRP conjugated) 6ml RTU 2-8°C
7 Chromogen Component A 0.3ml RTU -20°C
8 Chromogen Component B 0.3ml RTU -20°C
9 Counter Staining Reagent 5ml RTU RT
10 Differentiation Reagent 6ml RTU RT
11 Mounting Media 5ml RTU RT
12 Control slide (Human tonsil) 1 slide RTU RT
13 Datasheet 1 copy

Notes

  1. The positive control slide provided in the kit allows you to be sure that the experimental set-up is working properly.
  2. Do not allow slides to dry at any time during this procedure.
  3. Please don't replace the matching reagents in this product with other manufacturers' products.
  4. As DAB is a carcinogen, please take necessary precautions.
  5. PBS (reagent 1) can be stored for one week at 4℃ after preparation; The antigen retrieval buffer (1×reagent 2) and the chromogenic agent (the mixture of reagents 7 and 8) should be prepared right before each assay.


As DAB is a carcinogen, please take necessary precautions.

Important Note: This product as supplied is intended for research use only, not for use in human, therapeutic or diagnostic applications.