Receive 30% off all Monoclonal IHC antibodies with code "MONO-IHC-30"! Offer valid for US customers and available internationally through distributors.

Mouse DARPP32 Ready-To-Use IHC Kit

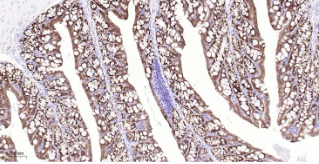
Immunohistochemical analysis of paraffin embedded Mouse colon tissue slide using IHC0670M (Mouse DARPP32 Kit).

Mouse DARPP32 Ready-To-Use IHC Kit

Cat. No.: IHC0670M
Sample Type:
FFPE tissue
Size:
50T (including a control slide)
Storage and Stability:
Please store components at the temperatures indicated on the individual tube labels. The kit is stable for 6 months from the date of receipt.

Background

DARPP-32 is a dopamine (DA) and AMP-regugated ~32 kDa phosphoprotein that is associated with dopaminoceptive neurons. The protein inhibits Protein Phosphatase I when it is phosphorylated on Thr34. In contrast, when DARPP-32 is phosphorylated on Thr75 the protein acts as an inhibitor of PKA. Phosphorylation of DARPP-32 is thought to play a critical role in the regugation of dopaminergic neurotransmission. In addition, the activity of DARPP-32 is also thought to play important roles in the actions of alcohol, caffeine and Prozac®.

Synonyms

AU040756; DARPP-32; DARPP32; DARPP32 (phospho T75); p-DARPP32 (phospho T75); PPP1R1B(phospho T75); DARPP 32; Dopamine and cAMP regulated neuronal phosphoprotein; Dopamine and cAMP regulated phosphoprotein DARPP 32; Dopamine and cAMP regulated phosphoprotein DARPP32; FLJ20940; IPPD; Neuronal phosphoprotein DARPP 32; PPP1R1B; Protein phosphatase 1 regulatory (inhibitor) subunit 1B; Protein phosphatase 1 regulatory subunit 1B; PPR1B_HUMAN.Validation Data

Materials Supplied

Number Component 50T Concentration Storage
1 PBS Buffer (powder) 2L x 2 20x RT
2 Antigen Retrieval Buffer 20ml 100x 2-8°C
3 Endogenous Peroxidase Blocking Buffer 3ml RTU 2-8°C
4 Blocking Buffer 3ml RTU 2-8°C
5 Primary Antibody (Mouse DARPP32 Recombinant Rabbit mAb) 6ml RTU 2-8°C
6 Secondary Antibody (Goat Anti-Rabbit IgG H&L, HRP conjugated) 6ml RTU 2-8°C
7 Chromogen Component A 0.3ml RTU -20°C
8 Chromogen Component B 0.3ml RTU -20°C
9 Counter Staining Reagent 5ml RTU RT
10 Differentiation Reagent 6ml RTU RT
11 Mounting Media 5ml RTU RT
12 Control slide (Mouse colon) 1 slide RTU RT
13 Datasheet 1 copy

Notes

  1. The positive control slide provided in the kit allows you to be sure that the experimental set-up is working properly.
  2. Do not allow slides to dry at any time during this procedure.
  3. Please don't replace the matching reagents in this product with other manufacturers' products.
  4. As DAB is a carcinogen, please take necessary precautions.
  5. PBS (reagent 1) can be stored for one week at 4℃ after preparation; The antigen retrieval buffer (1×reagent 2) and the chromogenic agent (the mixture of reagents 7 and 8) should be prepared right before each assay.


As DAB is a carcinogen, please take necessary precautions.

Important Note: This product as supplied is intended for research use only, not for use in human, therapeutic or diagnostic applications.