Receive 30% off all Monoclonal IHC antibodies with code "MONO-IHC-30"! Offer valid for US customers and available internationally through distributors.

Rat 14-3-3 alpha/beta/zeta/delta Ready-To-Use IHC Kit

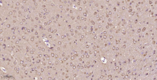
Immunohistochemical analysis of paraffin embedded Rat brain tissue slide using IHC0674R (Rat 14-3-3 alpha/beta/zeta/delta Kit).
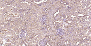
Immunohistochemical analysis of paraffin embedded Rat kidney tissue slide using IHC0674R (Rat 14-3-3 alpha/beta/zeta/delta Kit).

Rat 14-3-3 alpha/beta/zeta/delta Ready-To-Use IHC Kit

Cat. No.: IHC0674R
Sample Type:
FFPE tissue
Size:
50T (including a control slide)
Storage and Stability:
Please store components at the temperatures indicated on the individual tube labels. The kit is stable for 6 months from the date of receipt.

Background

At least seven isoforms comprise the highly conserved 14-3-3 family of homo- and heterodimeric proteins that are abundantly expressed in all eukaryotic cells. Although more than seven isoforms of 14-3-3 have been described, some redundancies have appeared upon sequencing. The 14-3-3s are thought to be key regulators of signal transduction events mediated through their binding to serine-phosphorylated proteins. By interacting with Cdc25C, 14-3-3 regulates entry into the cell cycle and, through interaction with Bad, prevents apoptosis. Other proteins that have been shown to bind to 14-3-3s include members of the protein kinase C family, Cbl, IRS-1, polyoma middle-T antigen, nitrate reductase, S-raf and the IGF-1 receptor. Detection of 14-3-3 proteins in cerebrospinal fluid has been shown to be quite useful in the differential diagnosis of Creutzfeldt-Jakob disease and other prion diseases.

Synonyms

Materials Supplied

Number Component 50T Concentration Storage
1 PBS Buffer (powder) 2L x 2 20x RT
2 Antigen Retrieval Buffer 20ml 100x 2-8°C
3 Endogenous Peroxidase Blocking Buffer 3ml RTU 2-8°C
4 Blocking Buffer 3ml RTU 2-8°C
5 Primary Antibody (Rat 14-3-3 alpha/beta/zeta/delta Recombinant Rabbit mAb) 6ml RTU 2-8°C
6 Secondary Antibody (Goat Anti-Rabbit IgG H&L, HRP conjugated) 6ml RTU 2-8°C
7 Chromogen Component A 0.3ml RTU -20°C
8 Chromogen Component B 0.3ml RTU -20°C
9 Counter Staining Reagent 5ml RTU RT
10 Differentiation Reagent 6ml RTU RT
11 Mounting Media 5ml RTU RT
12 Control slide (Rat testis) 1 slide RTU RT
13 Datasheet 1 copy

Notes

  1. The positive control slide provided in the kit allows you to be sure that the experimental set-up is working properly.
  2. Do not allow slides to dry at any time during this procedure.
  3. Please don't replace the matching reagents in this product with other manufacturers' products.
  4. As DAB is a carcinogen, please take necessary precautions.
  5. PBS (reagent 1) can be stored for one week at 4℃ after preparation; The antigen retrieval buffer (1×reagent 2) and the chromogenic agent (the mixture of reagents 7 and 8) should be prepared right before each assay.


As DAB is a carcinogen, please take necessary precautions.

Important Note: This product as supplied is intended for research use only, not for use in human, therapeutic or diagnostic applications.