Receive 30% off all Monoclonal IHC antibodies with code "MONO-IHC-30"! Offer valid for US customers and available internationally through distributors.

Mouse Calsequestrin Ready-To-Use IHC Kit

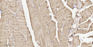
Immunohistochemical analysis of paraffin embedded Mouse skeletal muscle tissue slide using IHC0684M (Mouse Calsequestrin Kit).

Mouse Calsequestrin Ready-To-Use IHC Kit

Cat. No.: IHC0684M
Sample Type:
FFPE tissue
Size:
50T (including a control slide)
Storage and Stability:
Please store components at the temperatures indicated on the individual tube labels. The kit is stable for 6 months from the date of receipt.

Background

The sarcoplasmic reticulum (SR) is, in part, responsible for maintaining the level of intracellular calcium in cardiac and skeletal muscle by storing and releasing calcium. Several intralumenal SR calcium binding proteins have been identified, the most prominent of these is calsequestrin. Calsequstrin is a calcium binding protein known to sequester calcium accumulated in the sarcoplasmic reticulum of muscle cells during relaxation and is found discretely localized to the junctional and corbular (terminal cisternae) SR. Calsequestrin functions to localize calcium near the junctional face of the terminal cisternae from which calcium can be released into the cytosol via the ryanodine receptor. This protein is highly acidic and has a large capacity and moderate to low affinity for calcium.

Synonyms

CASQ; CASQ1; CSQ; CSQ-1; CSQ1; PDIB1; sCSQ; VMCQA; calmitine; calsequestrin 1 (fast-twitch, skeletal muscle); Calsequestrin skeletal muscle isoform; calsequestrin-1.Validation Data

Materials Supplied

Number Component 50T Concentration Storage
1 PBS Buffer (powder) 2L x 2 20x RT
2 Antigen Retrieval Buffer 20ml 100x 2-8°C
3 Endogenous Peroxidase Blocking Buffer 3ml RTU 2-8°C
4 Blocking Buffer 3ml RTU 2-8°C
5 Primary Antibody (Mouse Calsequestrin Recombinant Rabbit mAb) 6ml RTU 2-8°C
6 Secondary Antibody (Goat Anti-Rabbit IgG H&L, HRP conjugated) 6ml RTU 2-8°C
7 Chromogen Component A 0.3ml RTU -20°C
8 Chromogen Component B 0.3ml RTU -20°C
9 Counter Staining Reagent 5ml RTU RT
10 Differentiation Reagent 6ml RTU RT
11 Mounting Media 5ml RTU RT
12 Control slide (Mouse skeletal muscle) 1 slide RTU RT
13 Datasheet 1 copy

Notes

  1. The positive control slide provided in the kit allows you to be sure that the experimental set-up is working properly.
  2. Do not allow slides to dry at any time during this procedure.
  3. Please don't replace the matching reagents in this product with other manufacturers' products.
  4. As DAB is a carcinogen, please take necessary precautions.
  5. PBS (reagent 1) can be stored for one week at 4℃ after preparation; The antigen retrieval buffer (1×reagent 2) and the chromogenic agent (the mixture of reagents 7 and 8) should be prepared right before each assay.


As DAB is a carcinogen, please take necessary precautions.

Important Note: This product as supplied is intended for research use only, not for use in human, therapeutic or diagnostic applications.