Receive 30% off all Monoclonal IHC antibodies with code "MONO-IHC-30"! Offer valid for US customers and available internationally through distributors.

Human Collagen XVII Ready-To-Use IHC Kit

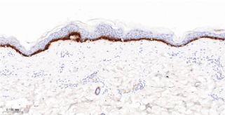
Immunohistochemical analysis of paraffin embedded Human skin tissue slide using IHC0688H (Human Collagen XVII Kit).
Immunohistochemical analysis of paraffin embedded Human esophagus tissue slide using IHC0688H (Human Collagen XVII Kit).

Human Collagen XVII Ready-To-Use IHC Kit

Cat. No.: IHC0688H
Sample Type:
FFPE tissue
Size:
50T (including a control slide)
Storage and Stability:
Please store components at the temperatures indicated on the individual tube labels. The kit is stable for 6 months from the date of receipt.

Background

COL17A1 is the alpha chain of type XVII collagen. Unlike most collagens, collagen XVII is a transmembrane protein, and a structural component of hemidesmosomes, multiprotein complexes at the dermal-epidermal basement membrane zone that mediate adhesion of keratinocytes to the underlying membrane. COL17A1 is a member of the FACIT collagen family (fibril-associated collagens with interrupted helices). Moreover, COL17A1 is localized to tissues containing type I collagen so, like other members of this collagen family, it may serve to maintain the integrity of the extracellular matrix. Diseases associated with COL17A1 dysfunction include epithelial recurrent erosion dystrophy and epidermolysis bullosa.

Synonyms

BPA-2; Bpag; ERED; LAD-1; 180 kDa bullous pemphigoid antigen 2; Alpha 1 type XVII collagen; BA16H23.2; BP 180; BP180; BPA 2; BPAG 2; BPAG2; Bullous pemphigoid antigen 2; COL17A1; Collagen 17; Collagen alpha 1 XVII chain; Collagen alpha 1(XVII) chain; Collagen alpha1 XVII chain; Collagen type XVII alpha 1; Collagen XVII alpha 1 polypeptide; CollagenXVII; Epidermolysis bullosa junctional localisata variant; FLJ60881; KIAA0204; LAD 1; LAD1.Validation Data

Materials Supplied

Number Component 50T Concentration Storage
1 PBS Buffer (powder) 2L x 2 20x RT
2 Antigen Retrieval Buffer 20ml 100x 2-8°C
3 Endogenous Peroxidase Blocking Buffer 3ml RTU 2-8°C
4 Blocking Buffer 3ml RTU 2-8°C
5 Primary Antibody (Human Collagen XVII Recombinant Rabbit mAb) 6ml RTU 2-8°C
6 Secondary Antibody (Goat Anti-Rabbit IgG H&L, HRP conjugated) 6ml RTU 2-8°C
7 Chromogen Component A 0.3ml RTU -20°C
8 Chromogen Component B 0.3ml RTU -20°C
9 Counter Staining Reagent 5ml RTU RT
10 Differentiation Reagent 6ml RTU RT
11 Mounting Media 5ml RTU RT
12 Control slide (Human skin) 1 slide RTU RT
13 Datasheet 1 copy

Notes

  1. The positive control slide provided in the kit allows you to be sure that the experimental set-up is working properly.
  2. Do not allow slides to dry at any time during this procedure.
  3. Please don't replace the matching reagents in this product with other manufacturers' products.
  4. As DAB is a carcinogen, please take necessary precautions.
  5. PBS (reagent 1) can be stored for one week at 4℃ after preparation; The antigen retrieval buffer (1×reagent 2) and the chromogenic agent (the mixture of reagents 7 and 8) should be prepared right before each assay.


As DAB is a carcinogen, please take necessary precautions.

Important Note: This product as supplied is intended for research use only, not for use in human, therapeutic or diagnostic applications.