Receive 30% off all Monoclonal IHC antibodies with code "MONO-IHC-30"! Offer valid for US customers and available internationally through distributors.

Human Cyclin B1 Ready-To-Use IHC Kit

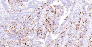
Immunohistochemical analysis of paraffin embedded Human breast cancer tissue slide using IHC0690H (Human Cyclin B1 Kit).
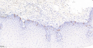
Immunohistochemical analysis of paraffin embedded Human esophagus tissue slide using IHC0690H (Human Cyclin B1 Kit).
Immunohistochemical analysis of paraffin embedded Human thymus tissue slide using IHC0690H (Human Cyclin B1 Kit).
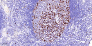
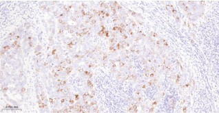
Immunohistochemical analysis of paraffin embedded Human tonsil tissue slide using IHC0690H (Human Cyclin B1 Kit).
Immunohistochemical analysis of paraffin embedded Human colon cancer tissue slide using IHC0690H (Human Cyclin B1 Kit).
Immunohistochemical analysis of paraffin embedded Human brain tissue slide using IHC0690H (Human Cyclin B1 Kit).

Human Cyclin B1 Ready-To-Use IHC Kit

Cat. No.: IHC0690H
Sample Type:
FFPE tissue
Size:
50T (including a control slide)
Storage and Stability:
Please store components at the temperatures indicated on the individual tube labels. The kit is stable for 6 months from the date of receipt.

Background

Cyclins bind to and regulate the activity of the Cyclin dependent protein kinases (CDKs). Cyclin B1 or CCNB1 is a regulatory protein involved in mitosis. It is essential for the control of the cell cycle at the G2/M transition. Cyclin B1 complexes with p34 (cdc2) to form the maturation-promoting factor (MPF). Two alternative transcripts have been found, a constitutively expressed transcript and a cell cycle-regulated transcript, that is expressed predominantly during G2/M phase. Cyclin B1 is not ubiquitinated during G2/M phase, resulting in its steady accumulation during G2 phase, followed by abrupt APC dependent destruction at the end of mitosis. Destruction of Cyclin B1 is required for cell cycle progression. Cyclin B1 is overexpressed in various cancers, including breast, prostate, and non-small cell lung cancer.

Synonyms

Ccn-2; CCNB; CCNB1; Ccnb1-rs1; Ccnb1-rs13; Cycb; Cycb-4; Cycb-5; CycB1; Cycb1-rs1; I79_013589; CCNB1_HUMAN; G2 mitotic specific cyclin B1; G2/mitotic-specific cyclin-B.Validation Data

Materials Supplied

Number Component 50T Concentration Storage
1 PBS Buffer (powder) 2L x 2 20x RT
2 Antigen Retrieval Buffer 20ml 100x 2-8°C
3 Endogenous Peroxidase Blocking Buffer 3ml RTU 2-8°C
4 Blocking Buffer 3ml RTU 2-8°C
5 Primary Antibody (Human Cyclin B1 Recombinant Rabbit mAb) 6ml RTU 2-8°C
6 Secondary Antibody (Goat Anti-Rabbit IgG H&L, HRP conjugated) 6ml RTU 2-8°C
7 Chromogen Component A 0.3ml RTU -20°C
8 Chromogen Component B 0.3ml RTU -20°C
9 Counter Staining Reagent 5ml RTU RT
10 Differentiation Reagent 6ml RTU RT
11 Mounting Media 5ml RTU RT
12 Control slide (Human tonsil) 1 slide RTU RT
13 Datasheet 1 copy

Notes

  1. The positive control slide provided in the kit allows you to be sure that the experimental set-up is working properly.
  2. Do not allow slides to dry at any time during this procedure.
  3. Please don't replace the matching reagents in this product with other manufacturers' products.
  4. As DAB is a carcinogen, please take necessary precautions.
  5. PBS (reagent 1) can be stored for one week at 4℃ after preparation; The antigen retrieval buffer (1×reagent 2) and the chromogenic agent (the mixture of reagents 7 and 8) should be prepared right before each assay.


As DAB is a carcinogen, please take necessary precautions.

Important Note: This product as supplied is intended for research use only, not for use in human, therapeutic or diagnostic applications.