RECEIVE 25% OFF PUBLISHED ANTIBODIES WITH CODE "PUB25"! Offer valid for US customers and available internationally through distributors.

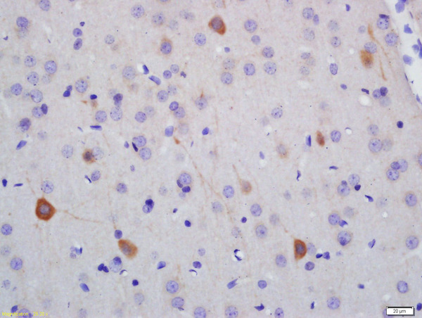
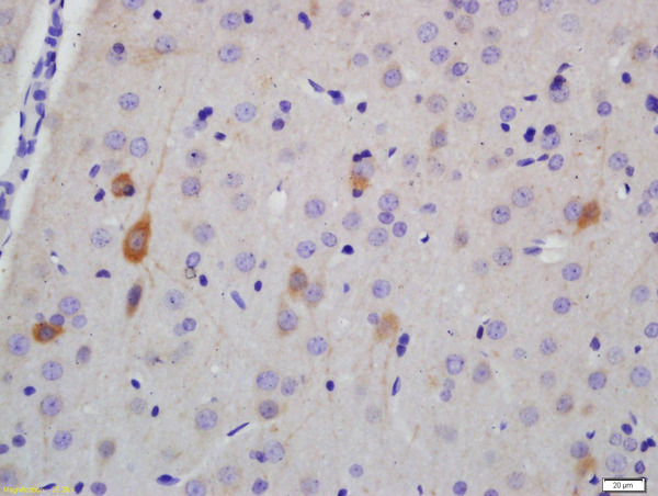
NF-H Polyclonal Antibody

Applications

  • WB
  • ELISA
  • FCM
  • IHC-P
  • IHC-F
  • IF(IHC-P)
  • IF(IHC-F)
  • IF(ICC)

Reactivity

  • Human
  • Rat

Predicted Reactivity

  • Mouse
  • Dog
  • Cow
  • Sheep
  • Pig
  • Rabbit
Overview
Catalog # bs-10680R
Product Name NF-H Polyclonal Antibody
Applications WB, ELISA, FCM, IHC-P, IHC-F, IF(IHC-P), IF(IHC-F), IF(ICC)
Reactivity Human, Rat
Predicted Reactivity Mouse, Dog, Cow, Sheep, Pig, Rabbit
Specifications
Conjugation Unconjugated
Host Rabbit
Source KLH conjugated synthetic peptide derived from human NF-H
Clonality Polyclonal
Clone # #REF!
Isotype IgG
Concentration 1ug/ul
Purification Purified by Protein A.
Storage Buffer 0.01M TBS(pH7.4) with 1% BSA, 0.02% Proclin300 and 50% Glycerol.
Storage Condition Shipped at 4_. Store at -20_ for one year. Avoid repeated freeze/thaw cycles.
Target
Gene ID 4744
Swiss Prot P12036
Subcellular location Cytoplasm
Synonyms NFH; Neurofilament heavy polypeptide; NF-H; 200 kDa neurofilament protein; Neurofilament triplet H protein; NEFH; KIAA0845
Background Neurofilaments usually contain three intermediate filament proteins: L, M, and H which are involved in the maintenance of neuronal caliber. NF-H has an important function in mature axons that is not subserved by the two smaller NF proteins.
Application Dilution
WB 1:300-5000
ELISA 1:500-1000
FCM 1:20-100
IHC-P 1:200-400
IHC-F 1:100-500
IF(IHC-P) 1:50-200
IF(IHC-F) 1:50-200
IF(ICC) 1:50-200