| Overview |
| bs-2240r-100ul |
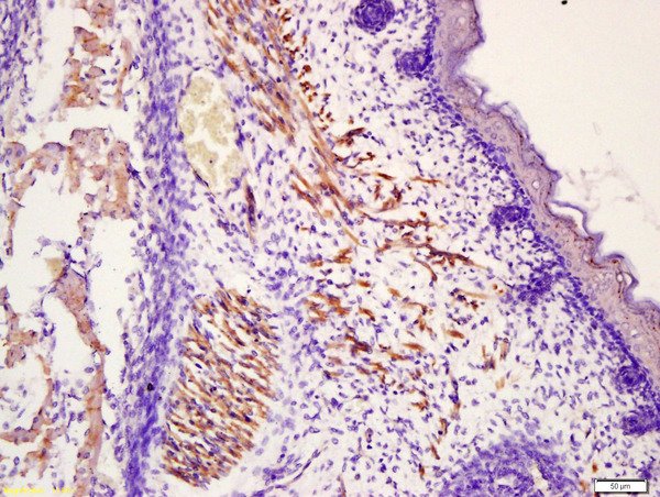
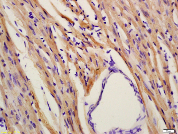
| MYL3/Myosin light chain 3 Antibody |
| WB, IHC-P, IF(IHC-P) |
| Human, Mouse, Rat, Bovine, Dog, Pig, Chicken |
| Specifications |
| Unconjugated |
| Rabbit |
| KLH conjugated synthetic peptide derived from human MLC/Myosin light chain 3 |
| Polyclonal |
| IgG |
| 1ug/ul |
| Purified by Protein A. |
| 0.01M TBS(pH7.4) with 1% BSA, 0.02% Proclin300 and 50% Glycerol. |
| Store at -20°C for 12 months. |
| Target |
| 4634 |
| Cardiac myosin light chain 1; Cardiac myosin light chain 1; CMH8; cmlc1; MLC; MLC1SB; MLC1V; MYL 3; MYL3; Myosin light chain 1 slow twitch muscle B/ventricular isoform; Myosin light chain 1 slow-twitch muscle B/ventricular isoform; Myosin light polypeptide 3; Slow skeletal ventricular myosin alkali light chain 3; Ventricular/slow twitch myosin alkali light chain; VLC1; MYL3_HUMAN. |
| Myosin is the major component of thick muscle filaments, and is a long asymmetric molecule containing a globular head and a long tail. The molecule consists of two heavy chains each ~200,000 daltons, and four light chains each ~16,000 - 21,000 daltons. Activation of smooth and cardiac muscle primarily involves pathways which increase calcium and myosin phosphorylation resulting in contraction. Myosin light chain phosphatase acts to regulate muscle contraction by dephosphorylating activated myosin light chain. Human myosin light chain has clinical application as a cardiac marker. |
| Application Dilution |
| WB |
1:300-5000 |
| IHC-P |
1:200-400 |
| IF(IHC-P) |
1:50-200 |