RECEIVE 25% OFF PUBLISHED ANTIBODIES WITH CODE "PUB25"! Offer valid for US customers and available internationally through distributors.

GNA13 Monoclonal Antibody

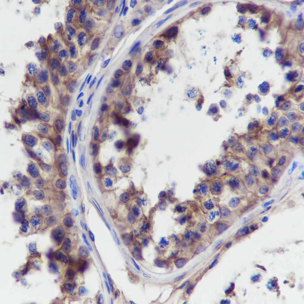
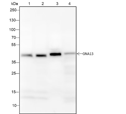
Applications

  • WB
  • IHC-P
  • IHC-F
  • IF
  • ICC/IF

Reactivity

  • Human
  • Mouse
  • Rat
Overview
Catalog # bsm-60417m
Product Name GNA13 Monoclonal Antibody
Applications WB, IHC-P, IHC-F, IF, ICC/IF
Reactivity Human, Mouse, Rat
Specifications
Conjugation Unconjugated
Host Mouse
Clonality Monoclonal
Clone # #REF!
Isotype IgG1/Kappa
Concentration 1mg/ml
Purification Protein G.
Storage Buffer 0.01M TBS(pH7.4) with 1% BSA, 0.02% Proclin300 and 50% Glycerol.
Storage Condition Store at -20C for one year. Avoid repeated freeze/thaw cycles.
Target
Swiss Prot Q14344
Application Dilution
WB =1:500-1:1000
IHC-P IHC-P=1:100-500
IHC-F IHC-F=1:100-500
IF IF=0
ICC/IF ICC/IF=1:50