RECEIVE 25% OFF PUBLISHED ANTIBODIES WITH CODE "PUB25"! Offer valid for US customers and available internationally through distributors.

NALP3/CIAS1 Polyclonal Antibody

Applications

  • WB
  • IHC-P
  • IHC-F
  • IF(IHC-P)
  • IF

Reactivity

  • Human
  • Mouse
  • Rat
Overview
Catalog # bs-10021r-TR
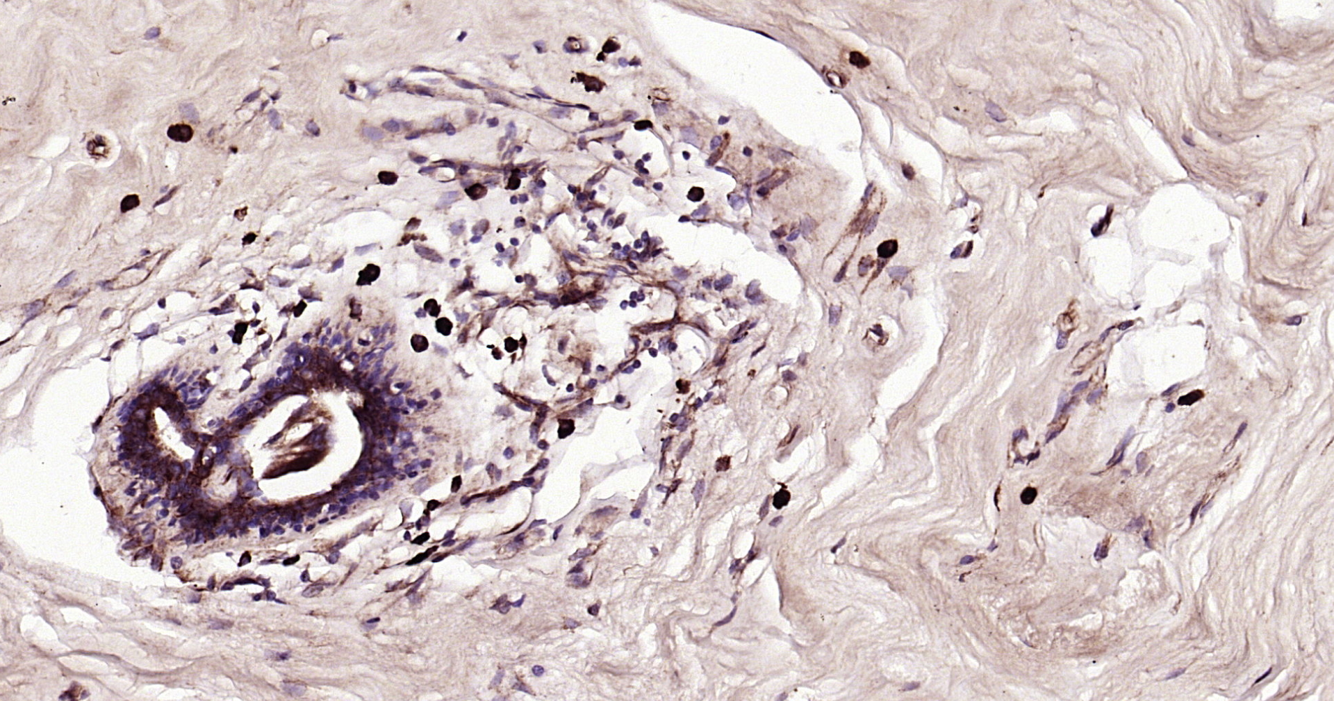
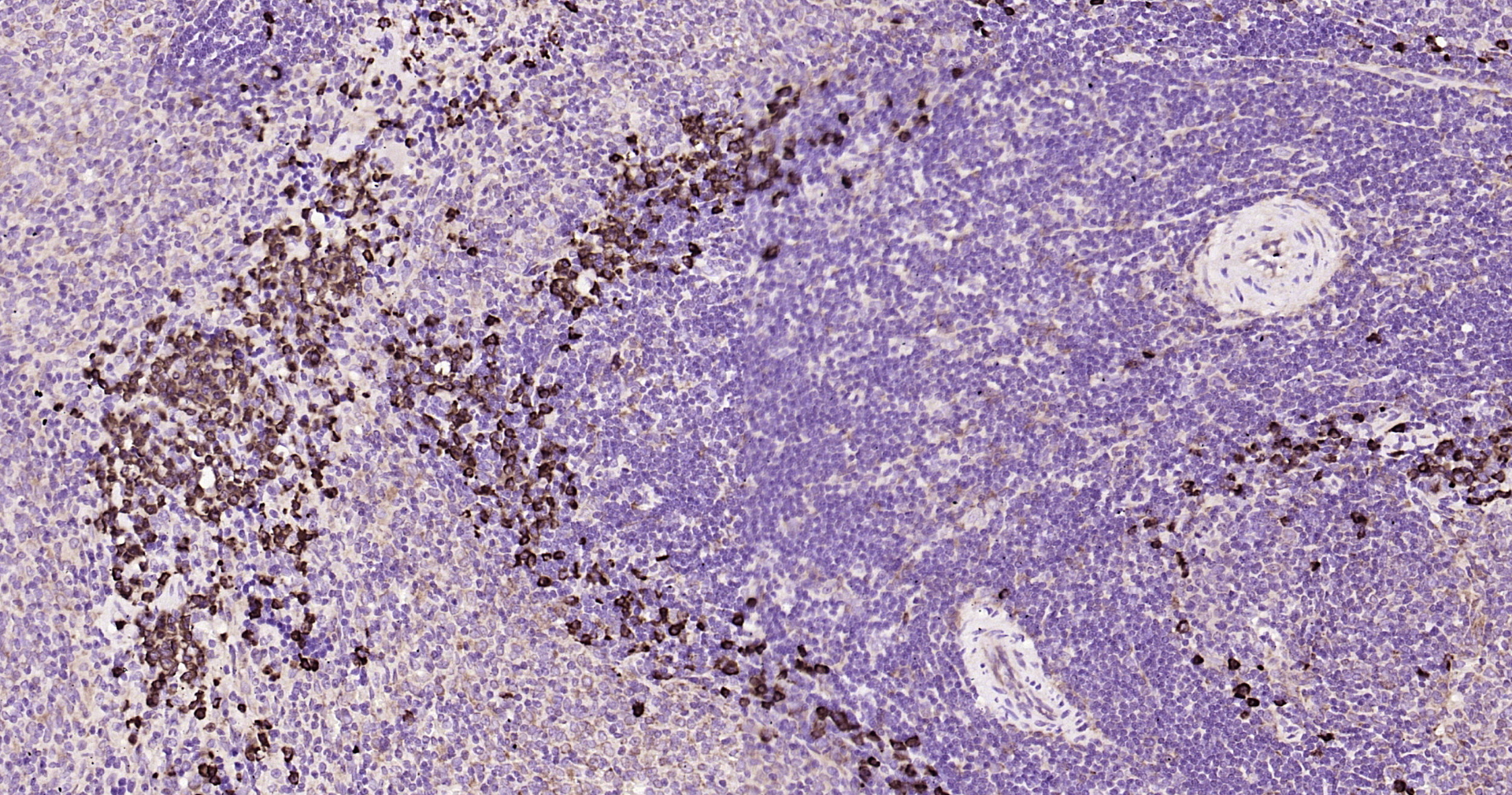
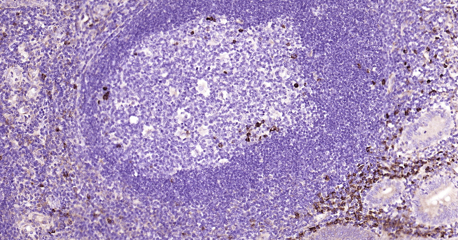
Product Name NALP3/CIAS1 Polyclonal Antibody
Applications WB, IHC-P, IHC-F, IF(IHC-P), IF
Reactivity Human, Mouse, Rat
Specifications
Conjugation Unconjugated
Host Rabbit
Source KLH conjugated synthetic peptide derived from human Cryopyrin
Clonality Polyclonal
Isotype IgG
Concentration 1mg/ml
Purification Purified by Protein A.
Storage Buffer 0.01M TBS (pH7.4) with 1% BSA, 0.02% Proclin300 and 50% Glycerol.
Storage Condition Shipped at 4C. Store at -20C for one year. Avoid repeated freeze/thaw cycles.
Target
Gene ID 114548
Swiss Prot Q96P20
Subcellular location Cytoplasm
Synonyms LRR and PYD domains-containing protein 3; AGTAVPRL; AII/AVP antibody Angiotensin/vasopressin receptor AII/AVP like; Angiotensin/vasopressin receptor AII/AVP-like; C1orf7; Caterpiller protein 1.1; CIAS 1; CIAS1; CLR1.1; Cold autoinflammatory syndrome 1; Cold autoinflammatory syndrome 1 protein; Cryopyrin; Familial cold autoinflammatory syndrome; FCAS; FCU; Muckle-Wells syndrome; MWS; NACHT; NACHT LRR and PYD containing protein 3; NALP 3; NALP3; NALP3_HUMAN; NLRP3; PYPAF 1; PYPAF1 antibody PYRIN containing APAF1 like protein 1; PYRIN-containing APAF1-like protein 1.
Application Dilution
WB =1:500-2000
IHC-P IHC-P=1:100-500
IHC-F IHC-F=1:100-500
IF(IHC-P) IF=1:100-500
IF