Receive 30% off all Monoclonal IHC antibodies with code "MONO-IHC-30"! Offer valid for US customers and available internationally through distributors.

GMF beta Polyclonal Antibody

Applications

  • WB
  • ELISA
  • IHC-P
  • IHC-F
  • IF(IHC-P)
  • IF(IHC-F)
  • IF(ICC)

Reactivity

  • Mouse
  • Rat

Predicted Reactivity

  • Human
  • Dog
  • Pig
  • Horse
  • Rabbit
Overview
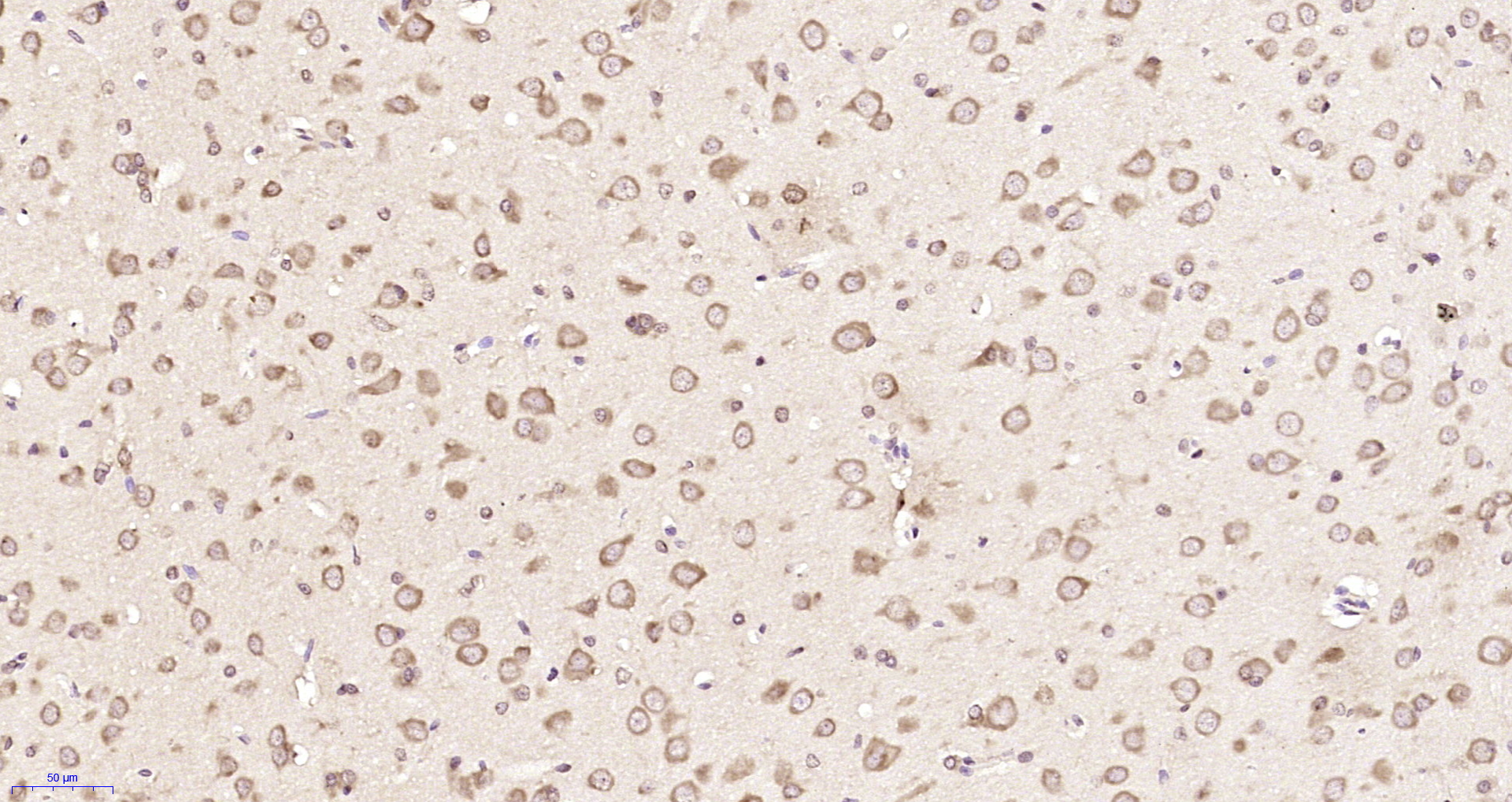
Catalog # bs-11845R
Product Name GMF beta Polyclonal Antibody
Applications WB, ELISA, IHC-P, IHC-F, IF(IHC-P), IF(IHC-F), IF(ICC)
Reactivity Mouse, Rat
Predicted Reactivity Human, Dog, Pig, Horse, Rabbit
Specifications
Conjugation Unconjugated
Host Rabbit
Source KLH conjugated synthetic peptide derived from human GMF beta
Clonality Polyclonal
Clone # #REF!
Isotype IgG
Concentration 1ug/ul
Purification Purified by Protein A.
Storage Buffer 0.01M TBS(pH7.4) with 1% BSA, 0.02% Proclin300 and 50% Glycerol.
Storage Condition Shipped at 4C. Store at -20C for one year. Avoid repeated freeze/thaw cycles.
Target
Subcellular location Cytoplasm
Synonyms Glia maturation factor beta; GMF. GMF-beta; GMFB; GMFB_HUMAN.
Background Glia maturation factor _ (GMF-_) belongs to the GMF subfamily of the larger actin-binding protein ADF family. This protein, which is phosphorylated following phorbol ester stimulation, is important for the nervous system. It causes brain cell differentiation, stimulates neural regeneration and inhibits tumor cell proliferation. Overexpression of GMF in astrocytes has been shown to enhance brain-derived neurotrohic factor (BDNF) production. GMF expression is increased by exercise, and the protein is crucial for exercise-induction of BDNF. Through BDNF production, GMF appears to play a role in neuroprotection. In thymoma, T-cell development is maintained by GMF-_ being produced by the tumor cells.
Application Dilution
WB 1:300-5000
ELISA 1:500-1000
IHC-P 1:200-400
IHC-F 1:100-500
IF(IHC-P) 1:50-200
IF(IHC-F) 1:50-200
IF(ICC) 1:50-200