Receive 30% off all Monoclonal IHC antibodies with code "MONO-IHC-30"! Offer valid for US customers and available internationally through distributors.

GLP-1R Polyclonal Antibody

Applications

  • WB
  • IHC-P
  • IHC-F
  • IF

Reactivity

  • Human
  • Mouse
  • Rat
Overview
Catalog # bs-1559r-TR
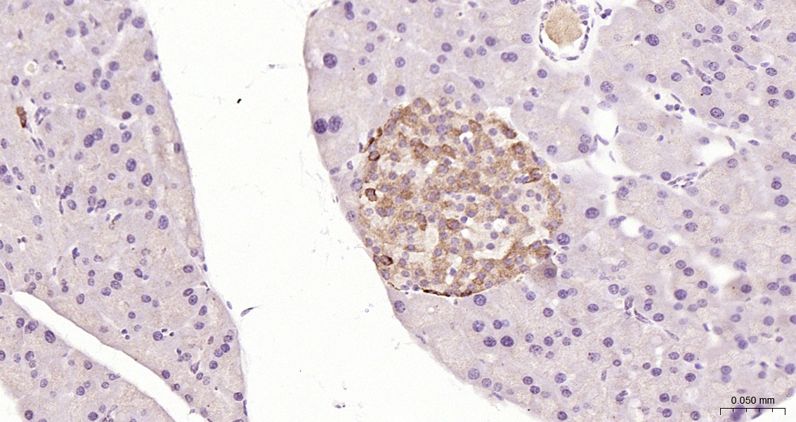
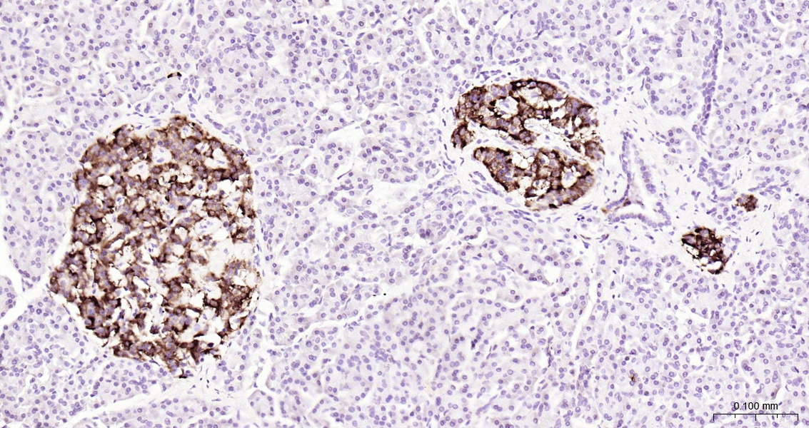
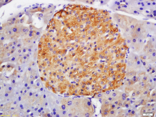
Product Name GLP-1R Polyclonal Antibody
Applications WB, IHC-P, IHC-F, IF
Reactivity Human, Mouse, Rat
Specifications
Conjugation Unconjugated
Host Rabbit
Source KLH conjugated synthetic peptide derived from rat GLP-1R
Clonality Polyclonal
Isotype IgG
Concentration 1mg/ml
Purification Purified by Protein A.
Storage Buffer 0.01M TBS (pH7.4) with 1% BSA, 0.02% Proclin300 and 50% Glycerol.
Storage Condition Shipped at 4C. Store at -20C for one year. Avoid repeated freeze/thaw cycles.
Target
Gene ID 2740
Swiss Prot P32301
Subcellular location Cytoplasm, Cell membrane
Synonyms Glucagon like peptide-1 receptor; GLP 1 R; GLP 1 receptor; GLP 1R; Glp1r; GLP; glp1r; Glucagon like peptide 1 receptor; RATGL1RCP; Glip; MGC138331; GLP-1-R; GLP1R_HUMAN; Glucagon-like peptide 1 receptor; GLP-1 receptor; GLP-1-R; GLP-1R; Precursor.
Application Dilution
WB =1:500-2000
IHC-P IHC-P=1:200-1000
IHC-F IHC-F=1:200-1000
IF IF=1:200-1000