RECEIVE 25% OFF PUBLISHED ANTIBODIES WITH CODE "PUB25"! Offer valid for US customers and available internationally through distributors.

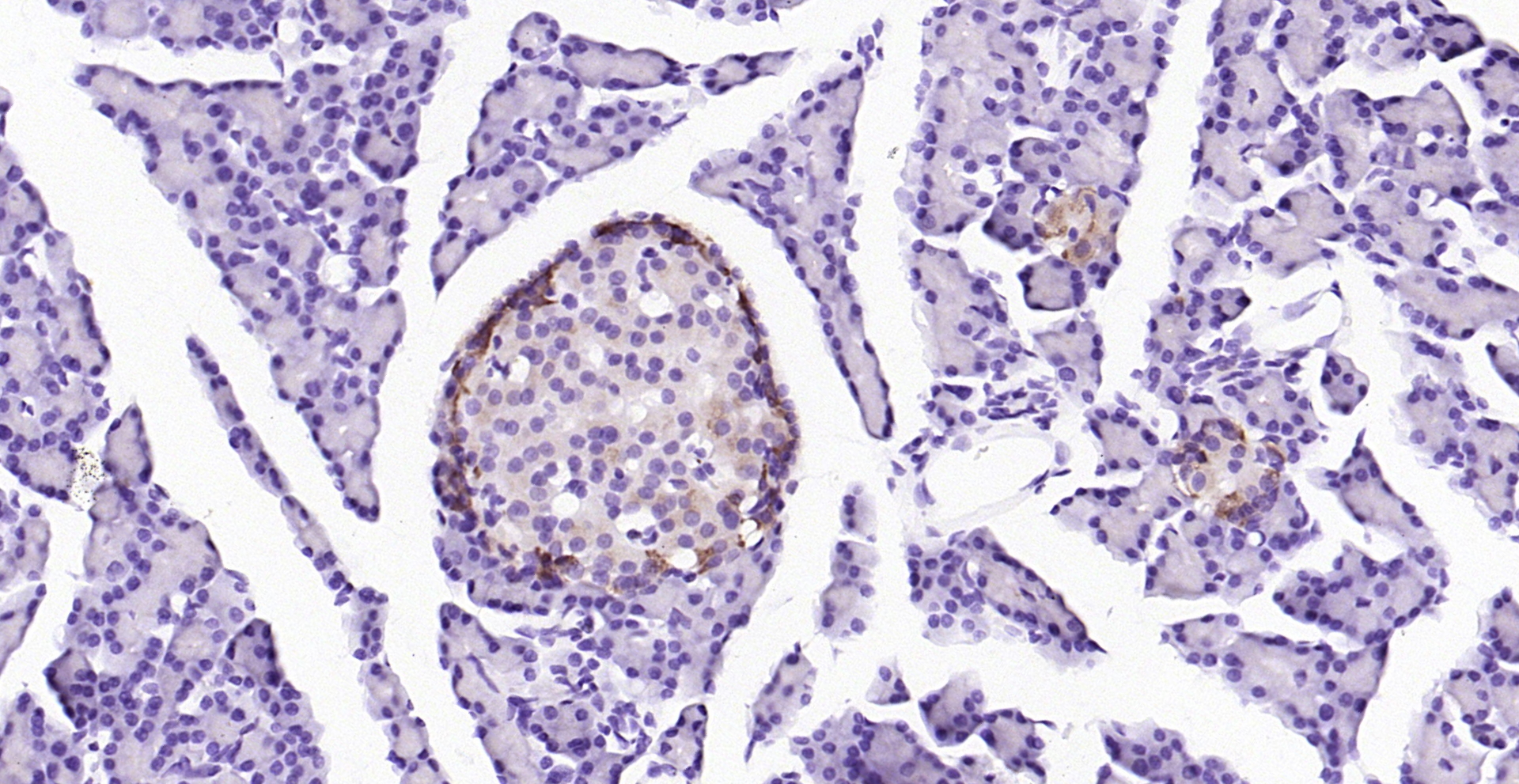
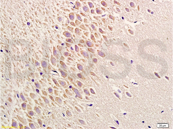
Phospho-PERK (Thr980) Polyclonal Antibody

Applications

  • WB
  • ELISA
  • FCM
  • IHC-P
  • IHC-F
  • IF(IHC-P)
  • IF(IHC-F)
  • IF(ICC)

Reactivity

  • Human
  • Mouse
  • Rat

Predicted Reactivity

  • Dog
  • Cow
  • Pig
  • Rabbit
Overview
Catalog # bs-3330R
Product Name Phospho-PERK (Thr980) Polyclonal Antibody
Applications WB, ELISA, FCM, IHC-P, IHC-F, IF(IHC-P), IF(IHC-F), IF(ICC)
Reactivity Human, Mouse, Rat
Predicted Reactivity Dog, Cow, Pig, Rabbit
Specifications
Conjugation Unconjugated
Host Rabbit
Source KLH conjugated synthetic phosphopeptide derived from mouse PERK around the phosphorylation site of Thr980
Modification Site Thr980
Clonality Polyclonal
Clone # #REF!
Isotype IgG
Concentration 1ug/ul
Purification Purified by Protein A.
Storage Buffer 0.01M TBS(pH7.4) with 1% BSA, 0.02% Proclin300 and 50% Glycerol.
Storage Condition Shipped at 4_. Store at -20_ for one year. Avoid repeated freeze/thaw cycles.
Target
Gene ID 13666
Swiss Prot Q9Z2B5
Subcellular location Cytoplasm, Cell membrane
Synonyms Pek; Perk; AI427929; Eukaryotic translation initiation factor 2-alpha kinase 3; PRKR-like endoplasmic reticulum kinase; Pancreatic eIF2-alpha kinase; Eif2ak3
Background Phosphorylates the alpha subunit of eukaryotic translation-initiation factor 2 (EIF2), leading to its inactivation and thus to a rapid reduction of translational initiation and repression of global protein synthesis. Serves as a critical effector of unfolded protein response (UPR)-induced G1 growth arrest due to the loss of cyclin-D1 (CCND1). Involved in control of mitochondrial morphology and function.
Application Dilution
WB 1:300-5000
ELISA 1:500-1000
FCM 1:20-100
IHC-P 1:200-400
IHC-F 1:100-500
IF(IHC-P) 1:50-200
IF(IHC-F) 1:50-200
IF(ICC) 1:50-200