Receive 30% off all Monoclonal IHC antibodies with code "MONO-IHC-30"! Offer valid for US customers and available internationally through distributors.

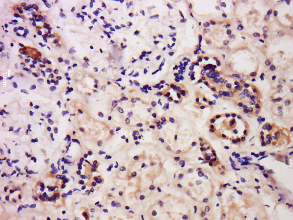
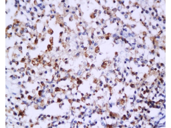
Caspase-6 Polyclonal Antibody

Applications

  • ELISA
  • IHC-P
  • IHC-F
  • IF(IHC-P)
  • IF(IHC-F)
  • IF(ICC)

Reactivity

  • Human

Predicted Reactivity

  • Mouse
  • Rat
Overview
Catalog # bs-0151R
Product Name Caspase-6 Polyclonal Antibody
Applications ELISA, IHC-P, IHC-F, IF(IHC-P), IF(IHC-F), IF(ICC)
Reactivity Human
Predicted Reactivity Mouse, Rat
Specifications
Conjugation Unconjugated
Host Rabbit
Source KLH conjugated synthetic peptide derived from human Caspase-6
Clonality Polyclonal
Clone # #REF!
Isotype IgG
Concentration 1ug/ul
Purification Purified by Protein A.
Storage Buffer 0.01M TBS(pH7.4) with 1% BSA, 0.02% Proclin300 and 50% Glycerol.
Storage Condition Shipped at 4C. Store at -20C for one year. Avoid repeated freeze/thaw cycles.
Target
Gene ID 839
Swiss Prot P55212
Subcellular location Cytoplasm, Nucleus
Synonyms MCH2; Caspase-6; CASP-6; Apoptotic protease Mch-2; CASP6
Background Involved in the activation cascade of caspases responsible for apoptosis execution. Cleaves poly(ADP-ribose) polymerase in vitro, as well as lamins. Overexpression promotes programmed cell death.
Application Dilution
ELISA 1:500-1000
IHC-P 1:200-400
IHC-F 1:100-500
IF(IHC-P) 1:50-200
IF(IHC-F) 1:50-200
IF(ICC) 1:50-200