Receive 30% off all Monoclonal IHC antibodies with code "MONO-IHC-30"! Offer valid for US customers and available internationally through distributors.

PPET1 Polyclonal Antibody

Applications

  • WB
  • ELISA
  • IHC-P
  • IHC-F
  • IF(IHC-P)
  • IF(IHC-F)
  • IF(ICC)

Reactivity

  • Human
  • Mouse
  • Rat
Overview
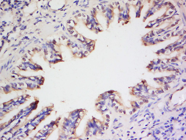
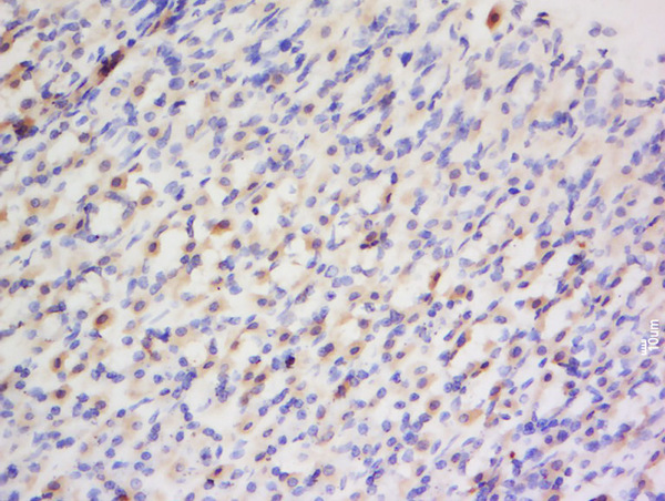
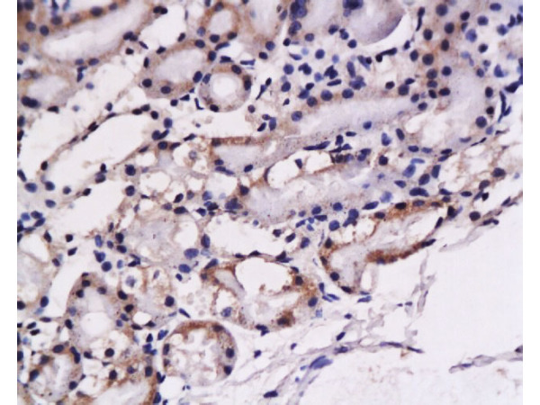
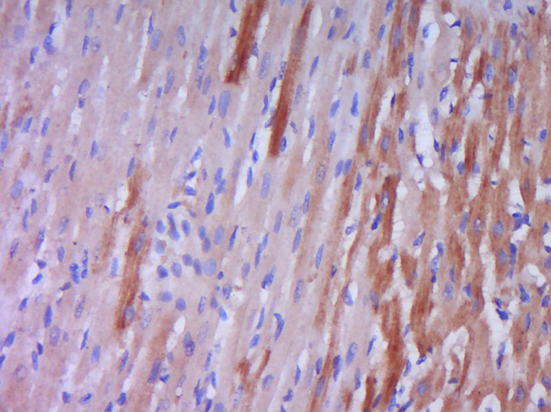
Catalog # bs-0188r
Product Name PPET1 Polyclonal Antibody
Applications WB, ELISA, IHC-P, IHC-F, IF(IHC-P), IF(IHC-F), IF(ICC)
Reactivity Human, Mouse, Rat
Specifications
Conjugation Unconjugated
Host Rabbit
Source KLH conjugated synthetic peptide derived from human Preproendothelin 1
Immunogen Range 16-110/212
Clonality Polyclonal
Isotype IgG
Concentration 1ug/ul
Purification Purified by Protein A.
Storage Buffer 0.01M TBS(pH7.4) with 1% BSA, 0.02% Proclin300 and 50% Glycerol.
Storage Condition Shipped at 4℃. Store at -20℃ for one year. Avoid repeated freeze/thaw cycles.
Target
Gene ID 1906
Swiss Prot P05305
Subcellular location Secreted
Synonyms ET1; QME; PPET1; ARCND3; HDLCQ7; Endothelin-1; Preproendothelin-1; EDN1
Background Endothelins are endothelium-derived vasoconstrictor peptides.
Application Dilution
WB 1:300-5000
ELISA 1:500-1000
IHC-P 1:200-400
IHC-F 1:100-500
IF(IHC-P) 1:50-200
IF(IHC-F) 1:50-200
IF(ICC) 1:50-200