Receive 30% off all Monoclonal IHC antibodies with code "MONO-IHC-30"! Offer valid for US customers and available internationally through distributors.

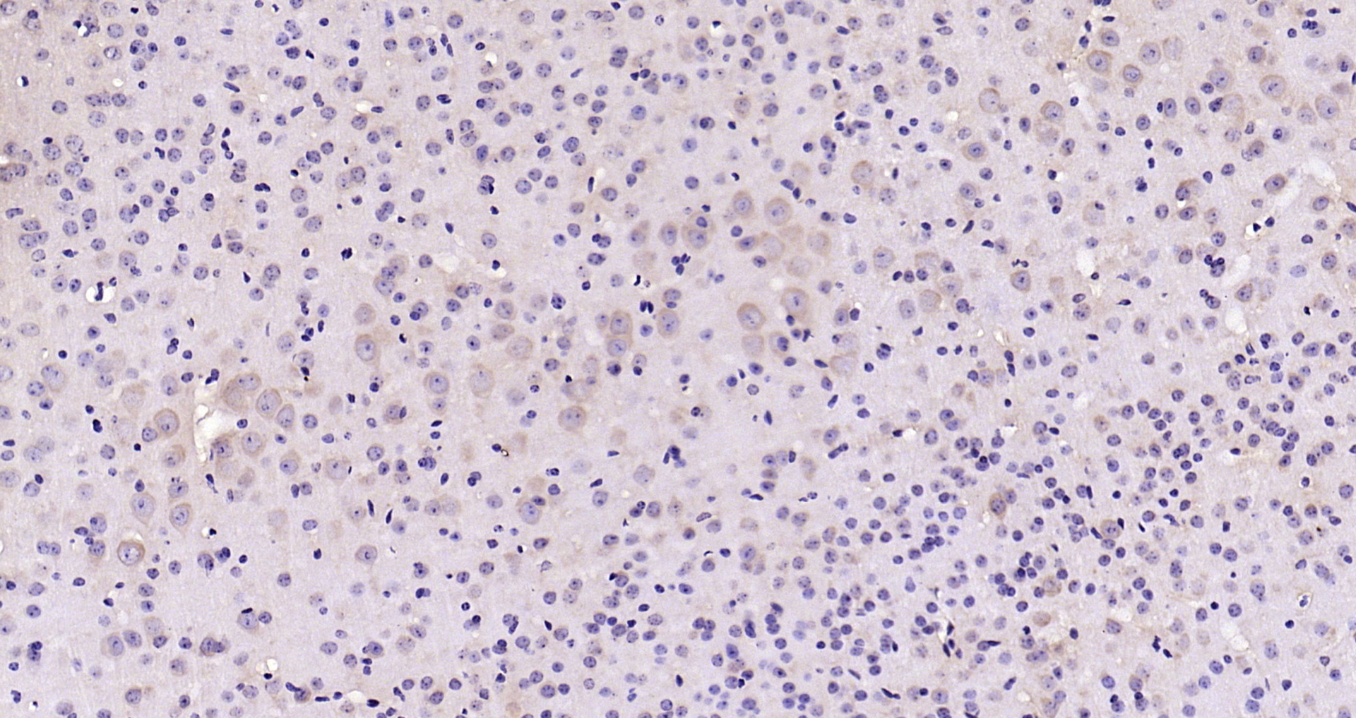
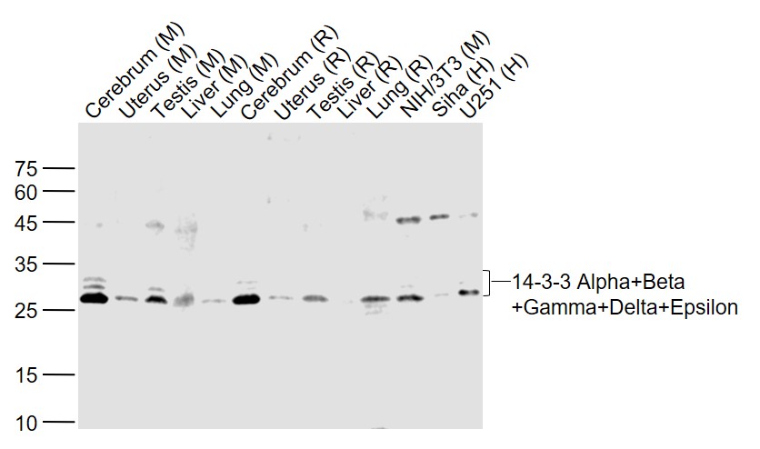
14-3-3 Alpha + Beta + Gamma + Delta + Epsilon Antibody

Applications

  • WB
  • FCM
  • IHC-P
  • IHC-F
  • IF(IHC-P)
  • IF(IHC-F)
  • IF(ICC)

Reactivity

  • Human
  • Mouse
  • Rat

Predicted Reactivity

  • Sheep
  • Fruit Fly
  • yeast
Overview
Catalog # bs-0237r
Product Name 14-3-3 Alpha + Beta + Gamma + Delta + Epsilon Antibody
Applications WB, FCM, IHC-P, IHC-F, IF(IHC-P), IF(IHC-F), IF(ICC)
Reactivity Human, Mouse, Rat
Predicted Reactivity Sheep, Fruit Fly, yeast
Specifications
Conjugation Unconjugated
Host Rabbit
Source KLH conjugated synthetic peptide derived from human 14-3-3
Clonality Polyclonal
Clone # #REF!
Isotype IgG
Concentration 1ug/ul
Purification Purified by Protein A.
Storage Buffer 0.01M TBS(pH7.4) with 1% BSA, 0.02% Proclin300 and 50% Glycerol.
Storage Condition Shipped at 4C. Store at -20C for one year. Avoid repeated freeze/thaw cycles.
Target
Gene ID 7529
Swiss Prot P31946
Subcellular location Cytoplasm
Synonyms HS1; GW128; YWHAA; KCIP-1; HEL-S-1; 14-3-3 protein beta/alpha; Protein 154; Protein kinase C inhibitor protein 1; YWHAB
Background Adapter protein implicated in the regulation of a large spectrum of both general and specialized signaling pathways. Binds to a large number of partners, usually by recognition of a phosphoserine or phosphothreonine motif. Binding generally results in the modulation of the activity of the binding partner. Negative regulator of osteogenesis. Blocks the nuclear translocation of the phosphorylated form (by AKT1) of SRPK2 and antagonizes its stimulatory effect on cyclin D1 expression resulting in blockage of neuronal apoptosis elicited by SRPK2.
Application Dilution
WB 1:300-5000
FCM 1:20-100
IHC-P 1:200-400
IHC-F 1:100-500
IF(IHC-P) 1:50-200
IF(IHC-F) 1:50-200
IF(ICC) 1:50-200