Receive 30% off all Monoclonal IHC antibodies with code "MONO-IHC-30"! Offer valid for US customers and available internationally through distributors.

Visfatin Polyclonal Antibody

Applications

  • IHC-P
  • IHC-F
  • IF(IHC-P)
  • IF(IHC-F)
  • IF(ICC)

Reactivity

  • Human
  • Rat

Predicted Reactivity

  • Mouse
  • Dog
  • Cow
  • Horse
  • Chicken
  • Monkey
Overview
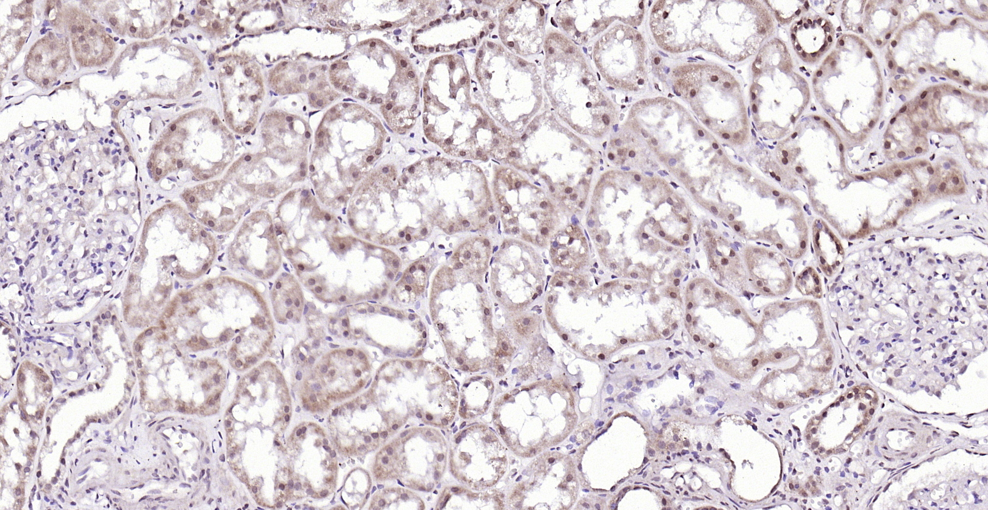
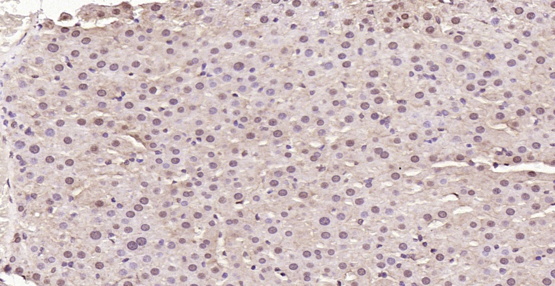
Catalog # bs-0273R
Product Name Visfatin Polyclonal Antibody
Applications IHC-P, IHC-F, IF(IHC-P), IF(IHC-F), IF(ICC)
Reactivity Human, Rat
Predicted Reactivity Mouse, Dog, Cow, Horse, Chicken, Monkey
Specifications
Conjugation Unconjugated
Host Rabbit
Source KLH conjugated synthetic peptide derived from human Nicotinamide phosphoribosyltransferase
Clonality Polyclonal
Clone # #REF!
Isotype IgG
Concentration 1ug/ul
Purification Purified by Protein A.
Storage Buffer 0.01M TBS(pH7.4) with 1% BSA, 0.02% Proclin300 and 50% Glycerol.
Storage Condition Shipped at 4_. Store at -20_ for one year. Avoid repeated freeze/thaw cycles.
Target
Gene ID 10135
Swiss Prot P43490
Subcellular location Cytoplasm, Nucleus
Synonyms VF; PBEF; PBEF1; VISFATIN; 1110035O14Rik; Nicotinamide phosphoribosyltransferase; NAmPRTase; Nampt; Pre-B-cell colony-enhancing factor 1; Pre-B cell-enhancing factor
Background Catalyzes the condensation of nicotinamide with 5-phosphoribosyl-1-pyrophosphate to yield nicotinamide mononucleotide, an intermediate in the biosynthesis of NAD. It is the rate limiting component in the mammalian NAD biosynthesis pathway. The secreted form behaves both as a cytokine with immunomodulating properties and an adipokine with anti-diabetic properties, it has no enzymatic activity, partly because of lack of activation by ATP, which has a low level in extracellular space and plasma. Plays a role in the modulation of circadian clock function. NAMPT-dependent oscillatory production of NAD regulates oscillation of clock target gene expression by releasing the core clock component: CLOCK-ARNTL/BMAL1 heterodimer from NAD-dependent SIRT1-mediated suppression (By similarity).
Application Dilution
IHC-P 1:200-400
IHC-F 1:100-500
IF(IHC-P) 1:50-200
IF(IHC-F) 1:50-200
IF(ICC) 1:50-200