Receive 30% off all Monoclonal IHC antibodies with code "MONO-IHC-30"! Offer valid for US customers and available internationally through distributors.

SSB Polyclonal Antibody

Applications

  • ELISA
  • IHC-P
  • IHC-F
  • IF(IHC-P)
  • IF(IHC-F)
  • IF(ICC)

Reactivity

  • Human
Overview
Catalog # bs-0276R
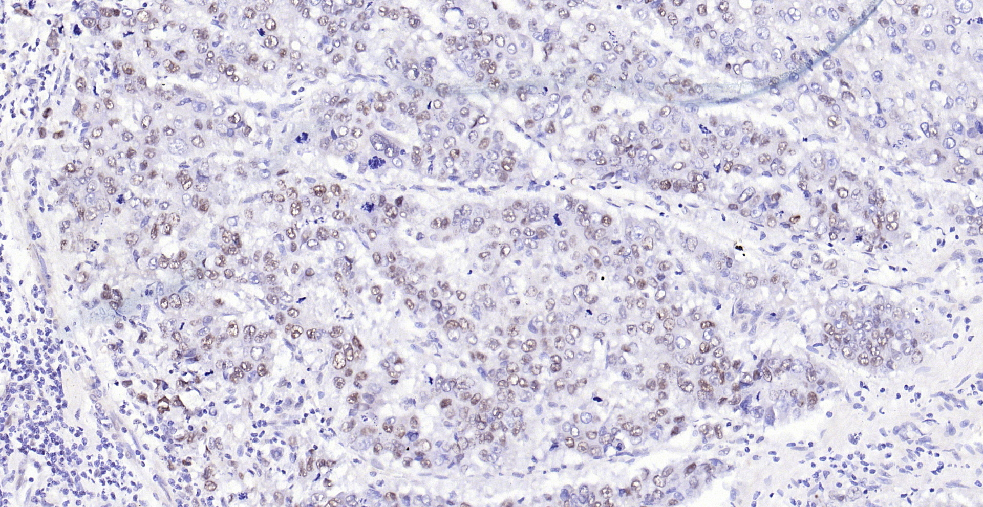
Product Name SSB Polyclonal Antibody
Applications ELISA, IHC-P, IHC-F, IF(IHC-P), IF(IHC-F), IF(ICC)
Reactivity Human
Specifications
Conjugation Unconjugated
Host Rabbit
Source KLH conjugated synthetic peptide derived from human SSB
Clonality Polyclonal
Clone # #REF!
Isotype IgG
Concentration 1ug/ul
Purification Purified by Protein A.
Storage Buffer 0.01M TBS(pH7.4) with 1% BSA, 0.02% Proclin300 and 50% Glycerol.
Storage Condition Shipped at 4C. Store at -20C for one year. Avoid repeated freeze/thaw cycles.
Target
Gene ID 6741
Subcellular location Nucleus
Synonyms SSB; Lupus La protein homolog; La ribonucleoprotein; La autoantigen homolog; Sjogren syndrome type B antigen; LA_HUMAN.
Background Lupus La protein (Sjogren syndrome type B antigen) (SS-B) (La ribonucleoprotein) (La autoantigen) plays a role in the transcription of RNA polymerase III. It is most probably a transcription termination factor. Binds to the 3' termini of virtually all nascent polymerase III transcripts. It is associated with precursor forms of RNA polymerase III transcripts including tRNA and 4.5S, 5S, 7S, and 7-2 RNAs. The phosphorylation sites are at the C-terminal part of the protein. Sera from patients with systemic lupus erythematosus(SLE) often contain that react with the normal cellular La protein as if this antigen was foreign.
Application Dilution
ELISA 1:500-1000
IHC-P 1:200-400
IHC-F 1:100-500
IF(IHC-P) 1:50-200
IF(IHC-F) 1:50-200
IF(ICC) 1:50-200