Receive 30% off all Monoclonal IHC antibodies with code "MONO-IHC-30"! Offer valid for US customers and available internationally through distributors.

Goat Anti-Rabbit IgG Antibody (H+L), Biotin Conjugated

Applications

  • WB
  • IHC-P
  • IHC-F

Reactivity

  • Rabbit
Overview
Catalog # bs-0295G-Biotin
Product Name Goat Anti-Rabbit IgG Antibody (H+L), Biotin Conjugated
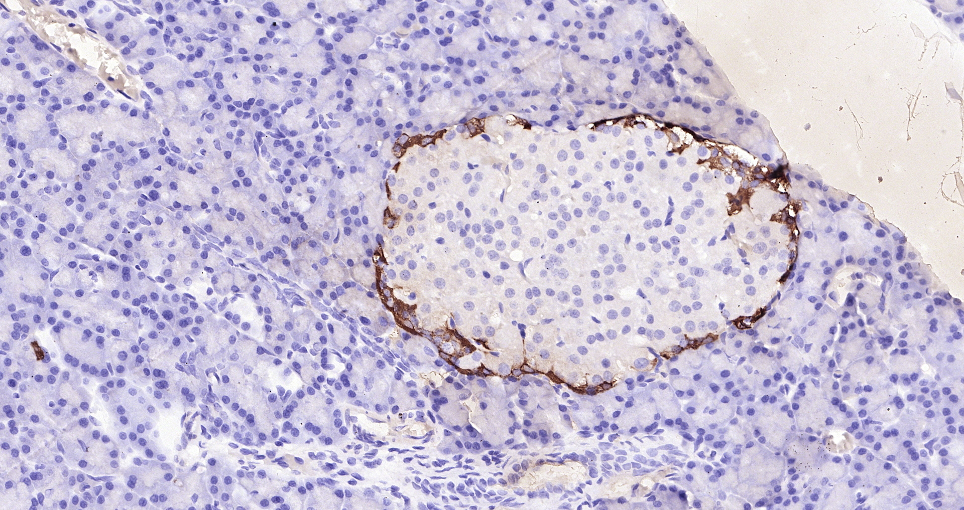
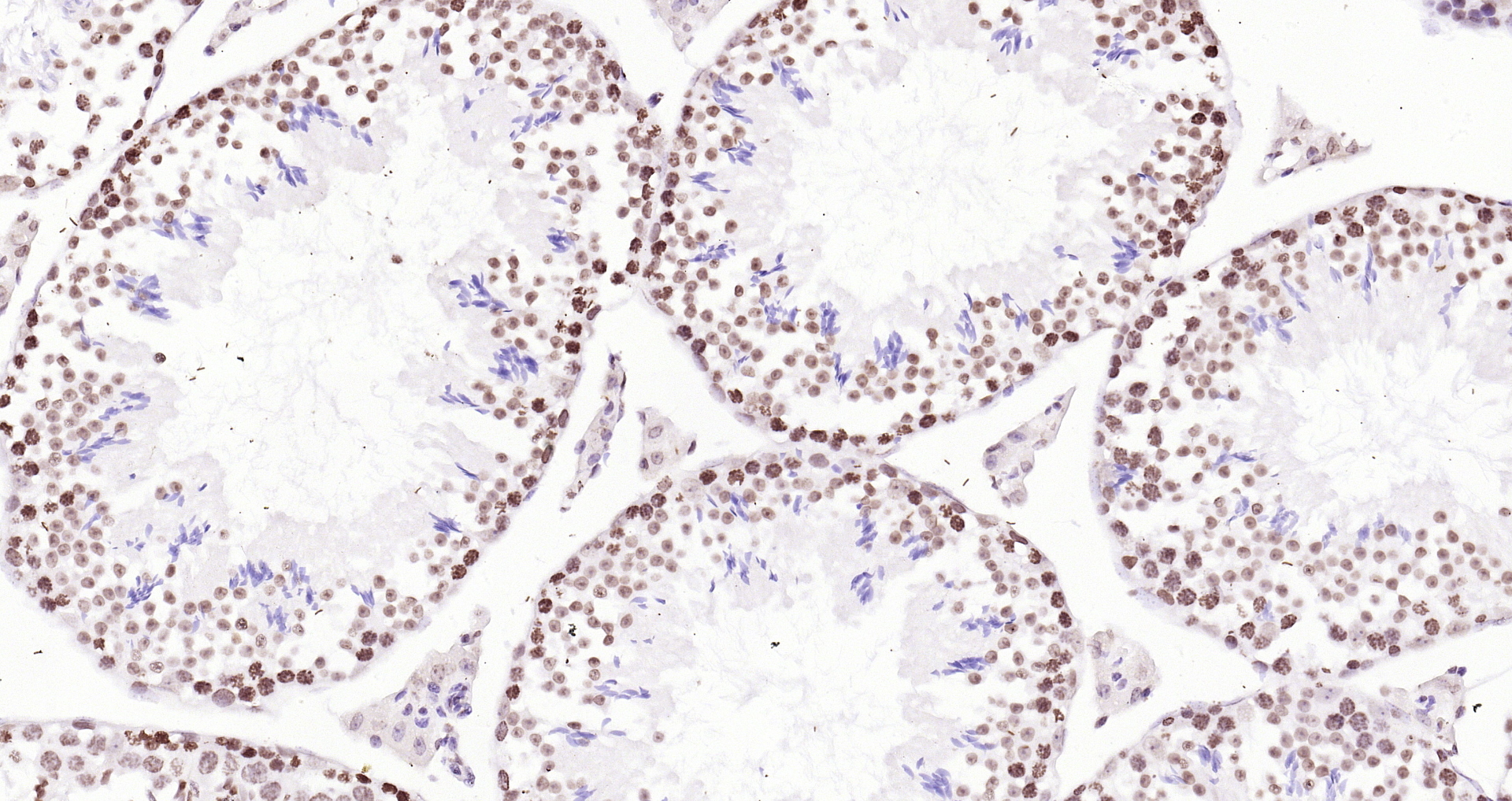
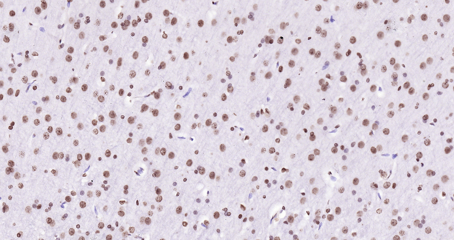
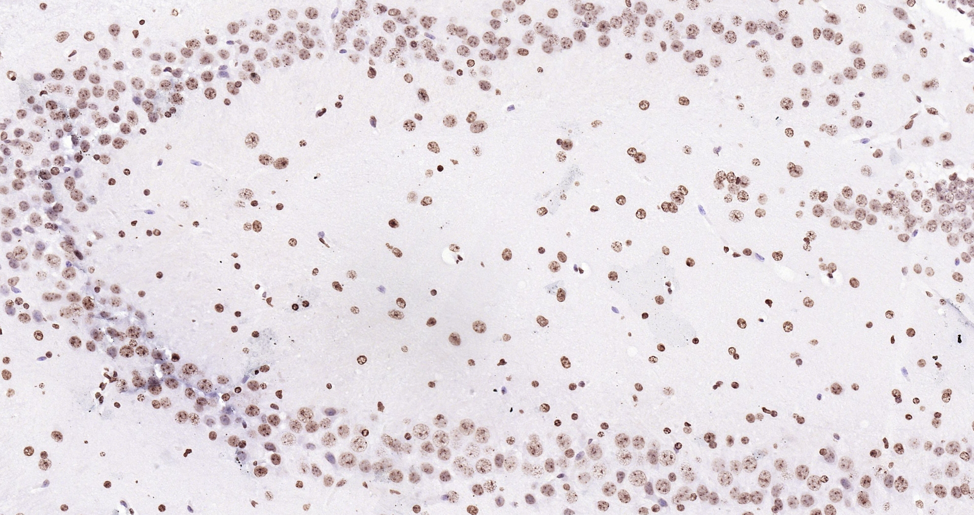
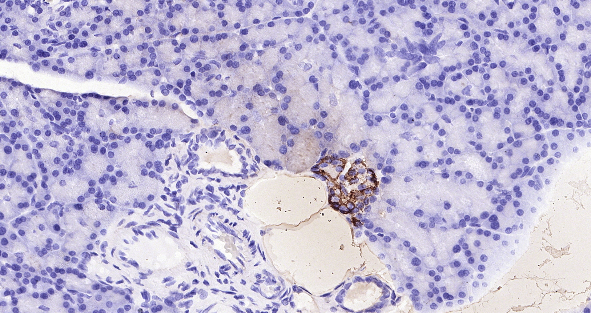
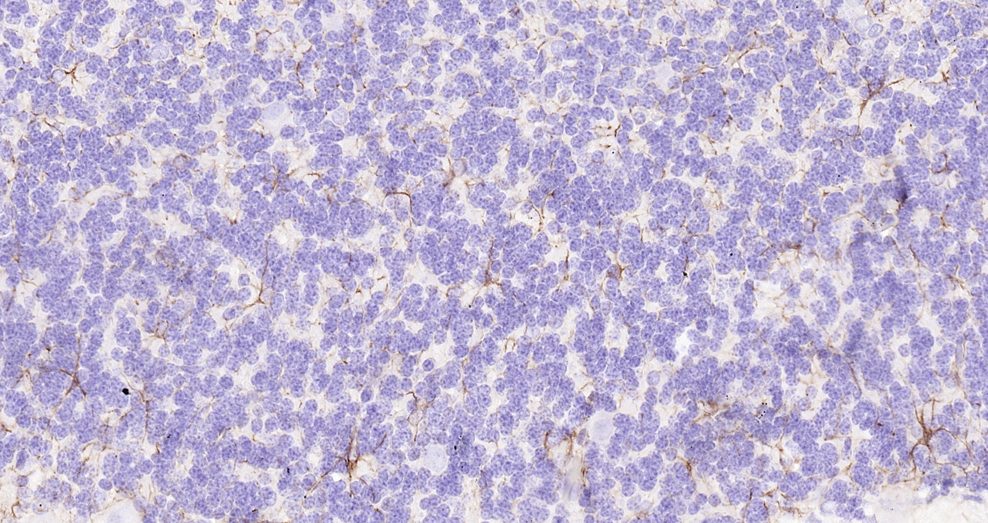
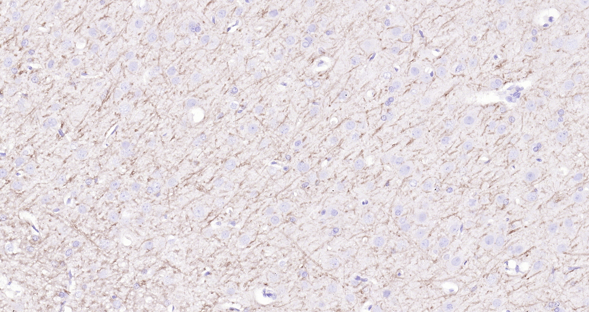
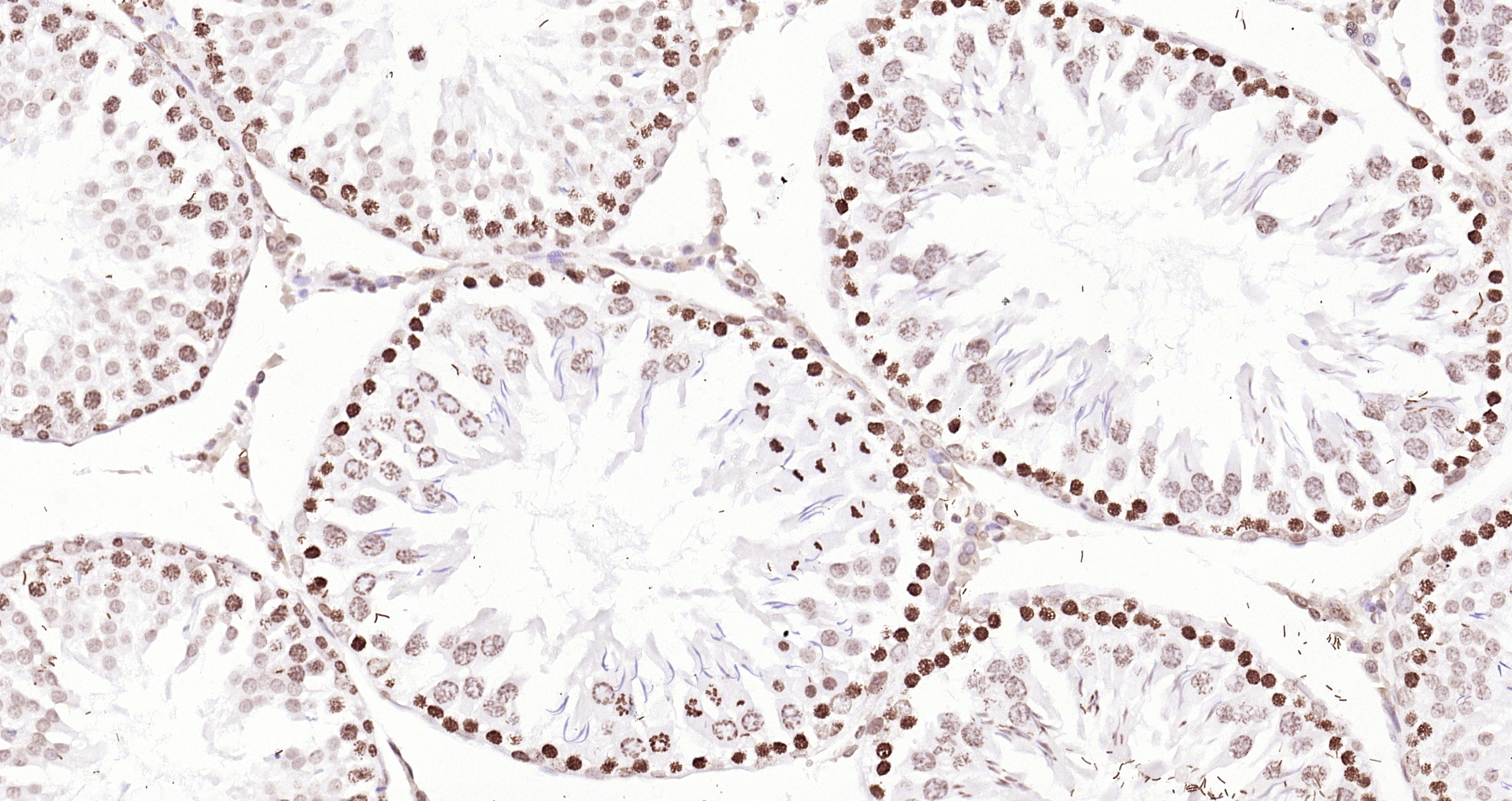
Applications WB, IHC-P, IHC-F
Reactivity Rabbit
Specifications
Conjugation Biotin
Host Goat
Clonality Polyclonal
Isotype IgG
Concentration 1ug/ul
Purification Purified by Protein A.
Storage Buffer Aqueous buffered solution containing 0.01M TBS (pH 7.4) with 1% BSA, 0.03% Proclin300 and 50% Glycerol.
Storage Condition Store at -20°C for 12 months.
Target
Background Immunoglobulin G (IgG), is one of the most abundant proteins in serum with normal levels between 8-17 mg/mL in adult blood. IgG is important for our defence against microorganisms and the molecules are produced by B lymphocytes as a part of our adaptive immune response. The IgG molecule has two separate functions; to bind to the pathogen that elicited the response and to recruit other cells and molecules to destroy the antigen. The variability of the IgG pool is generated by somatic recombination and the number of specificities in an individual at a given time point is estimated to be 1011 variants.
Application Dilution
WB 1:300-5000
IHC-P 1:50-200
IHC-F 1:50-200