RECEIVE 25% OFF PUBLISHED ANTIBODIES WITH CODE "PUB25"! Offer valid for US customers and available internationally through distributors.

Goat Anti-Mouse IgG Antibody (H+L), HRP Conjugated

Applications

  • WB
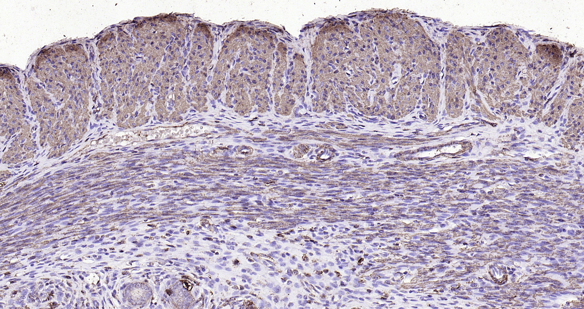
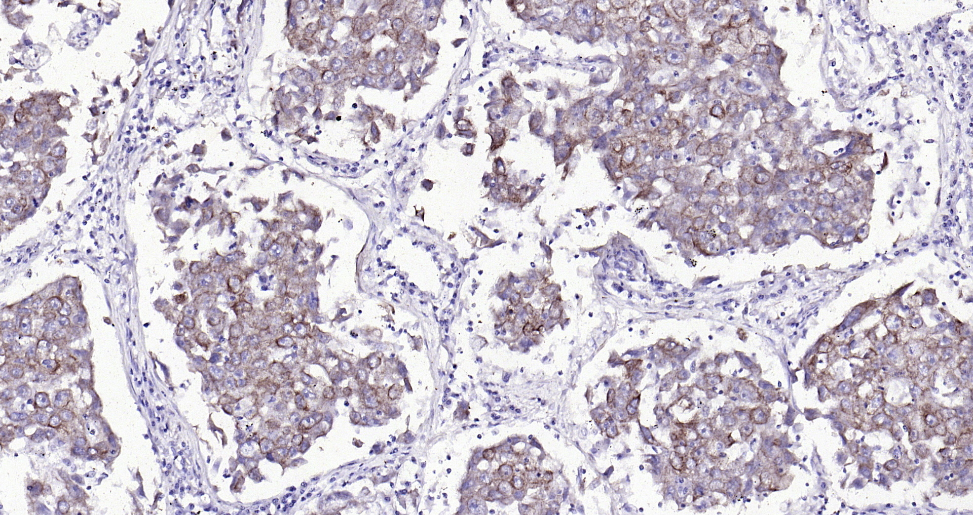
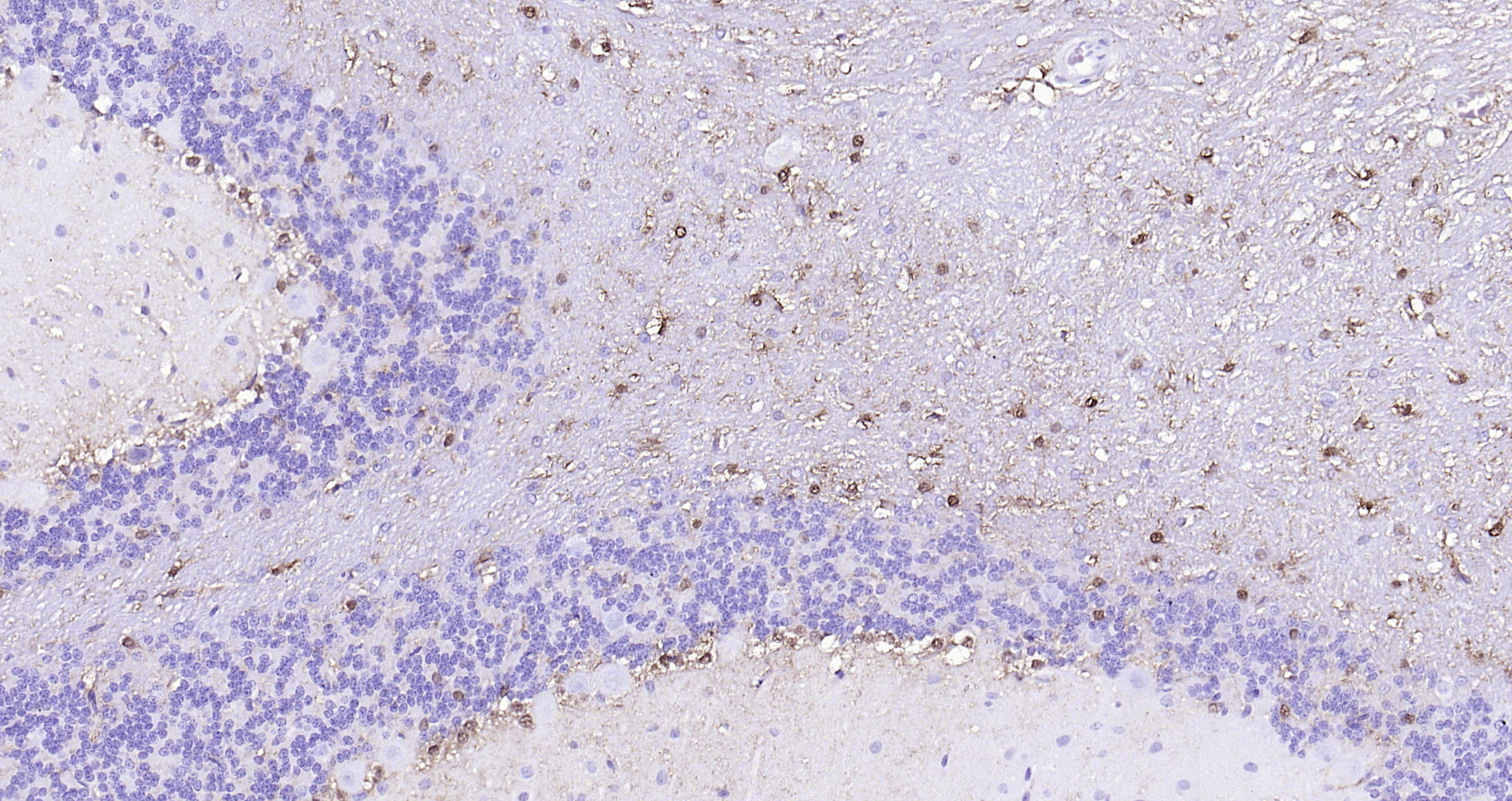
  • IHC-P
  • IHC-F

Reactivity

  • Mouse
Overview
Catalog # bs-0296G-HRP
Product Name Goat Anti-Mouse IgG Antibody (H+L), HRP Conjugated
Applications WB, IHC-P, IHC-F
Reactivity Mouse
Specifications
Conjugation HRP
Host Goat
Clonality Polyclonal
Isotype IgG
Concentration 1ug/ul
Purification Purified by Protein A.
Storage Buffer Aqueous buffered solution containing 0.01M TBS (pH 7.4) with 1% BSA, 0.03% Proclin300 and 50% Glycerol.
Storage Condition Store at -20°C; for long storage, store at -80°C. Avoid multiple freeze-thaw cycles
Target
Background Immunoglobulin G (IgG), is one of the most abundant proteins in serum with normal levels between 8-17 mg/mL in adult blood. IgG is important for our defence against microorganisms and the molecules are produced by B lymphocytes as a part of our adaptive immune response. The IgG molecule has two separate functions; to bind to the pathogen that elicited the response and to recruit other cells and molecules to destroy the antigen. The variability of the IgG pool is generated by somatic recombination and the number of specificities in an individual at a given time point is estimated to be 1011 variants.
Application Dilution
WB 1:300-5000
IHC-P 1:200-400
IHC-F 1:100-500