Receive 30% off all Monoclonal IHC antibodies with code "MONO-IHC-30"! Offer valid for US customers and available internationally through distributors.

Mesothelin Polyclonal Antibody

Applications

  • WB
  • ELISA
  • FCM
  • IHC-P

Reactivity

  • Human

Predicted Reactivity

  • Mouse
  • Rat
Overview
Catalog # bs-0300R
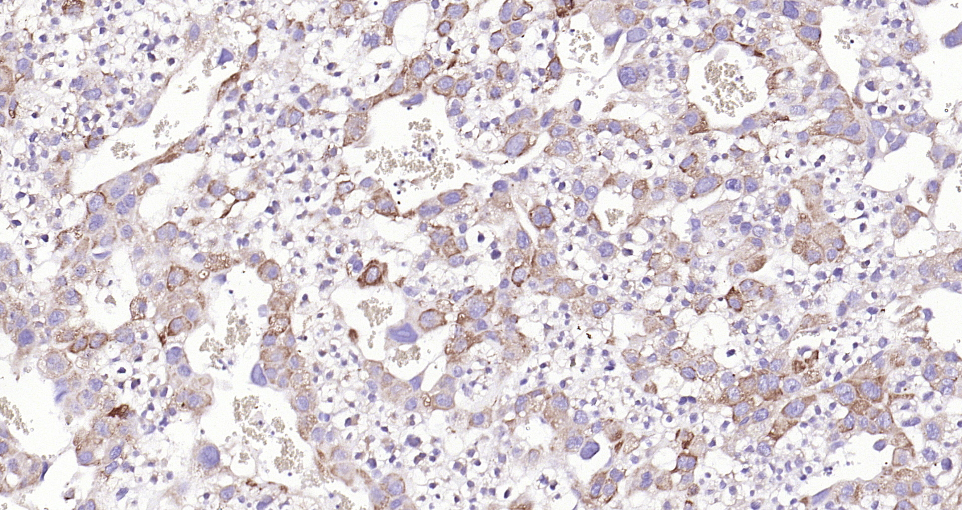
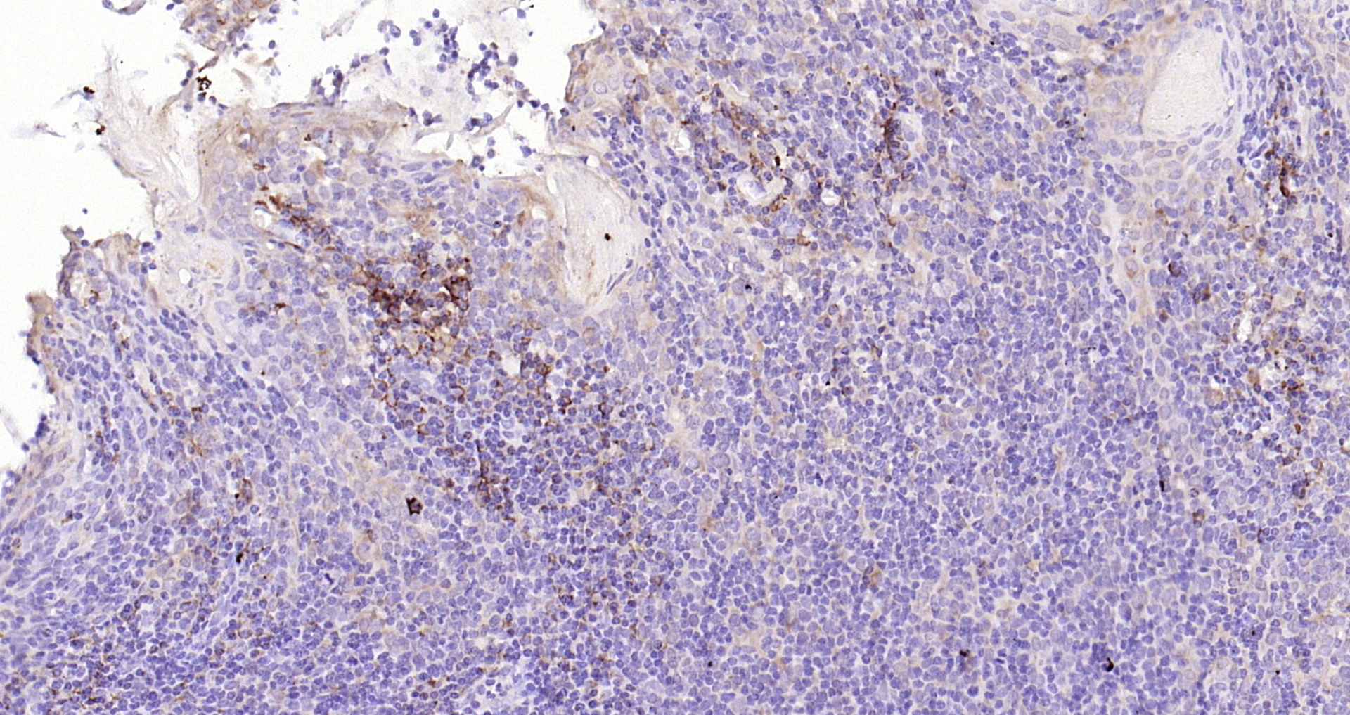
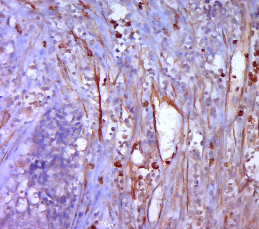
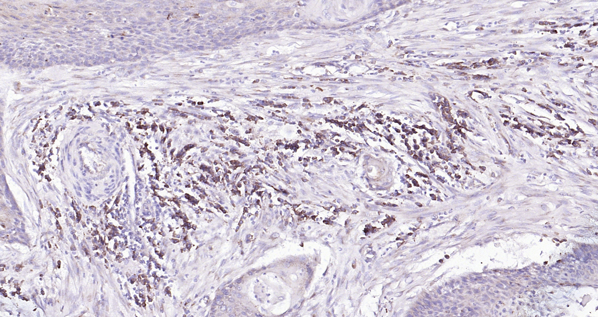
Product Name Mesothelin Polyclonal Antibody
Applications WB, ELISA, FCM, IHC-P
Reactivity Human
Predicted Reactivity Mouse, Rat
Specifications
Conjugation Unconjugated
Host Rabbit
Source KLH conjugated synthetic peptide derived from human Mesolin
Clonality Polyclonal
Clone # #REF!
Isotype IgG
Concentration 1ug/ul
Purification Purified by Protein A.
Storage Buffer 0.01M TBS(pH7.4) with 1% BSA, 0.02% Proclin300 and 50% Glycerol.
Storage Condition Shipped at 4C. Store at -20C for one year. Avoid repeated freeze/thaw cycles.
Target
Gene ID 10232
Swiss Prot Q13421
Subcellular location Secreted, Cell membrane
Synonyms MPF; SMRP; Mesothelin; CAK1 antigen; Pre-pro-megakaryocyte-potentiating factor; MSLN
Background Membrane-anchored forms may play a role in cellular adhesion. Megakaryocyte-potentiating factor (MPF) potentiates megakaryocyte colony formation in vitro.
Application Dilution
WB 1:300-5000
ELISA 1:500-1000
FCM 1:20-100
IHC-P 1:200-400