Receive 30% off all Monoclonal IHC antibodies with code "MONO-IHC-30"! Offer valid for US customers and available internationally through distributors.

Dnmt3b Polyclonal Antibody

Applications

  • WB
  • ELISA
  • FCM
  • IHC-P
  • IF(ICC)

Reactivity

  • Human
  • Mouse

Predicted Reactivity

  • Rat
Overview
Catalog # bs-0301R
Product Name Dnmt3b Polyclonal Antibody
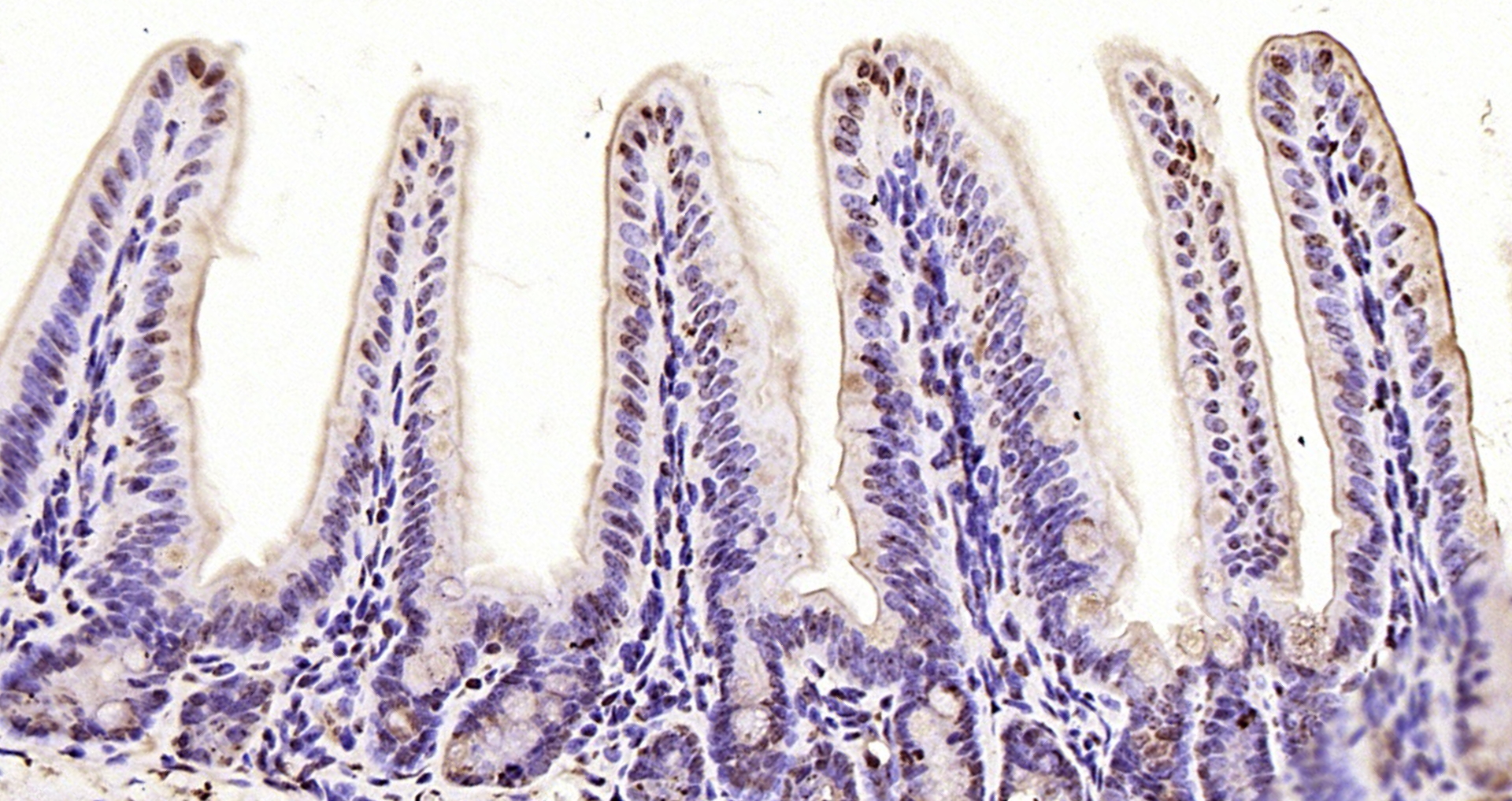
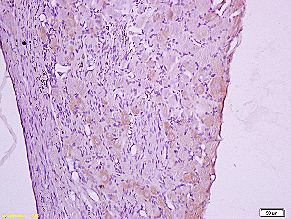
Applications WB, ELISA, FCM, IHC-P, IF(ICC)
Reactivity Human, Mouse
Predicted Reactivity Rat
Specifications
Conjugation Unconjugated
Host Rabbit
Source KLH conjugated synthetic peptide derived from human Dnmt3 Beta
Clonality Polyclonal
Clone # #REF!
Isotype IgG
Concentration 1ug/ul
Purification Purified by Protein A.
Storage Buffer 0.01M TBS(pH7.4) with 1% BSA, 0.02% Proclin300 and 50% Glycerol.
Storage Condition Shipped at 4_. Store at -20_ for one year. Avoid repeated freeze/thaw cycles.
Target
Gene ID 1789
Swiss Prot Q9UBC3
Subcellular location Nucleus
Synonyms ICF; ICF1; M.HsaIIIB; DNA (cytosine-5)-methyltransferase 3B; Dnmt3b; DNA methyltransferase HsaIIIB; DNA MTase HsaIIIB
Background Required for genome-wide de novo methylation and is essential for the establishment of DNA methylation patterns during development. DNA methylation is coordinated with methylation of histones. May preferentially methylates nucleosomal DNA within the nucleosome core region. May function as transcriptional co-repressor by associating with CBX4 and independently of DNA methylation. Seems to be involved in gene silencing (By similarity). In association with DNMT1 and via the recruitment of CTCFL/BORIS, involved in activation of BAG1 gene expression by modulating dimethylation of promoter histone H3 at H3K4 and H3K9. Isoforms 4 and 5 are probably not functional due to the deletion of two conserved methyltransferase motifs. Function as transcriptional corepressor by associating with ZHX1.
Application Dilution
WB 1:300-5000
ELISA 1:500-1000
FCM 1:20-100
IHC-P 1:200-400
IF(ICC) 1:50-200