Receive 30% off all Monoclonal IHC antibodies with code "MONO-IHC-30"! Offer valid for US customers and available internationally through distributors.

ACTH (1-39) Polyclonal Antibody

Applications

  • ELISA
  • IHC-P
  • IHC-F
  • IF(IHC-P)
  • IF(IHC-F)
  • IF(ICC)

Reactivity

  • Human
  • Rat

Predicted Reactivity

  • Mouse
  • Cow
  • Goat
Overview
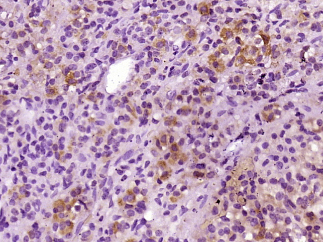
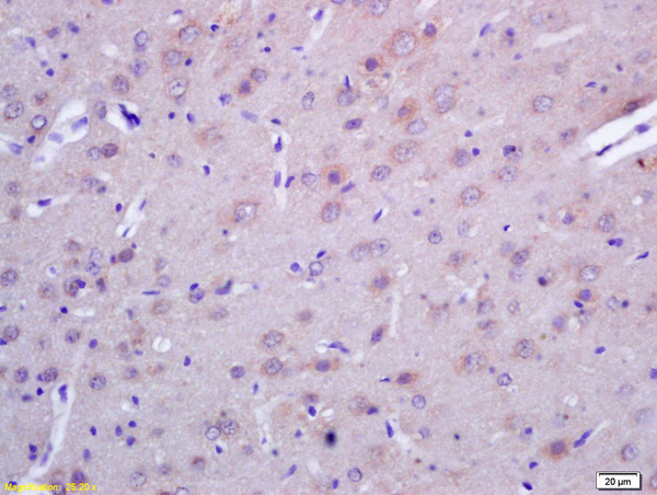
Catalog # bs-0443R
Product Name ACTH (1-39) Polyclonal Antibody
Applications ELISA, IHC-P, IHC-F, IF(IHC-P), IF(IHC-F), IF(ICC)
Reactivity Human, Rat
Predicted Reactivity Mouse, Cow, Goat
Specifications
Conjugation Unconjugated
Host Rabbit
Source KLH conjugated synthetic peptide derived from human ACTH
Clonality Polyclonal
Clone # #REF!
Isotype IgG
Concentration 1ug/ul
Purification Purified by Protein A.
Storage Buffer 0.01M TBS(pH7.4) with 1% BSA, 0.02% Proclin300 and 50% Glycerol.
Storage Condition Shipped at 4C. Store at -20C for one year. Avoid repeated freeze/thaw cycles.
Target
Gene ID 5443
Swiss Prot P01189
Subcellular location Secreted
Synonyms LPH; MSH; NPP; POC; ACTH; CLIP; Pro-opiomelanocortin; POMC; Corticotropin-lipotropin
Background ACTH stimulates the adrenal glands to release cortisol. MSH (melanocyte-stimulating hormone) increases the pigmentation of skin by increasing melanin production in melanocytes. Beta-endorphin and Met-enkephalin are endogenous opiates.
Application Dilution
ELISA 1:500-1000
IHC-P 1:200-400
IHC-F 1:100-500
IF(IHC-P) 1:50-200
IF(IHC-F) 1:50-200
IF(ICC) 1:50-200