Receive 30% off all Monoclonal IHC antibodies with code "MONO-IHC-30"! Offer valid for US customers and available internationally through distributors.

JNK1 + JNK3 Polyclonal Antibody

Applications

  • WB
  • ELISA
  • FCM
  • IHC-P
  • IHC-F
  • IF(IHC-P)
  • IF(IHC-F)
  • IF(ICC)

Reactivity

  • Human
  • Mouse
  • Rat

Predicted Reactivity

  • Dog
  • Cow
  • Pig
  • Chicken
  • Rabbit
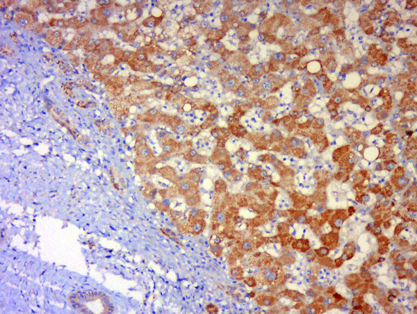
Overview
Catalog # bs-0501R
Product Name JNK1 + JNK3 Polyclonal Antibody
Applications WB, ELISA, FCM, IHC-P, IHC-F, IF(IHC-P), IF(IHC-F), IF(ICC)
Reactivity Human, Mouse, Rat
Predicted Reactivity Dog, Cow, Pig, Chicken, Rabbit
Specifications
Conjugation Unconjugated
Host Rabbit
Source KLH conjugated synthetic peptide derived from human JNK1
Clonality Polyclonal
Clone # #REF!
Isotype IgG
Concentration 1ug/ul
Purification Purified by Protein A.
Storage Buffer 0.01M TBS(pH7.4) with 1% BSA, 0.02% Proclin300 and 50% Glycerol.
Storage Condition Shipped at 4_. Store at -20_ for one year. Avoid repeated freeze/thaw cycles.
Target
Gene ID 5599
Swiss Prot P45983
Subcellular location Cytoplasm, Nucleus
Synonyms JNK; JNK1; PRKM8; SAPK1; JNK-46; JNK1A2; SAPK1c; JNK21B1/2; Mitogen-activated protein kinase 8; MAP kinase 8; MAPK 8; Stress-activated protein kinase 1c; Stress-activated protein kinase JNK1; c-Jun N-terminal kinase 1; MAPK8
Background JNK1(MAPK8) is a member of the MAP kinase family. MAP kinases act as an integration point for multiple biochemical signals, and are involved in a wide variety of cellular processes such as proliferation, differentiation, transcription regulation and development. This kinase is activated by various cell stimuli, and targets specific transcription factors, and thus mediates immediate-early gene expression in response to cell stimuli. The activation of this kinase by tumor-necrosis factor alpha (TNF-alpha) is found to be required for TNF-alpha induced apoptosis. This kinase is also involved in UV radiation induced apoptosis, which is thought to be related to cytochrome c-mediated cell death pathway. Studies of the mouse counterpart of this gene suggested that this kinase play a key role in T cell proliferation, apoptosis and differentiation. Four alternatively spliced transcript variants encoding distinct isoforms have been reported.JNK1 is activated by threonine and tyrosine phosphorylation by either of two dual specificity kinases, MAP2K4 and MAP2K7. The JNK pathway is critically involved in diabetes and levels are abnormally elevated in obesity. The cell-permeable JNK inhibitory peptide may have promise as a therapeutic agent for diabetes.
Application Dilution
WB 1:300-5000
ELISA 1:500-1000
FCM 1:20-100
IHC-P 1:200-400
IHC-F 1:100-500
IF(IHC-P) 1:50-200
IF(IHC-F) 1:50-200
IF(ICC) 1:50-200