Receive 30% off all Monoclonal IHC antibodies with code "MONO-IHC-30"! Offer valid for US customers and available internationally through distributors.

PDK4 Polyclonal Antibody

Applications

  • WB
  • ELISA
  • IHC-P
  • IHC-F
  • IF(IHC-P)
  • IF(IHC-F)
  • IF(ICC)

Reactivity

  • Human
  • Mouse
  • Rat
Overview
Catalog # bs-0682r
Product Name PDK4 Polyclonal Antibody
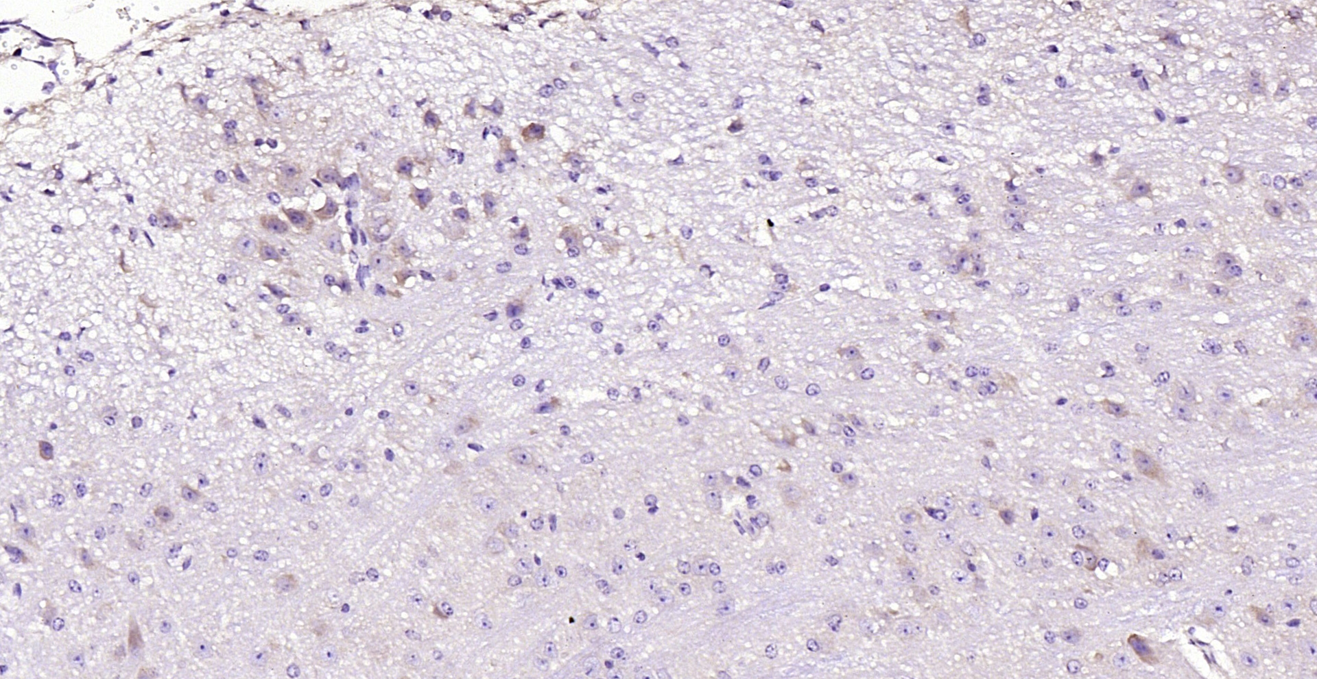
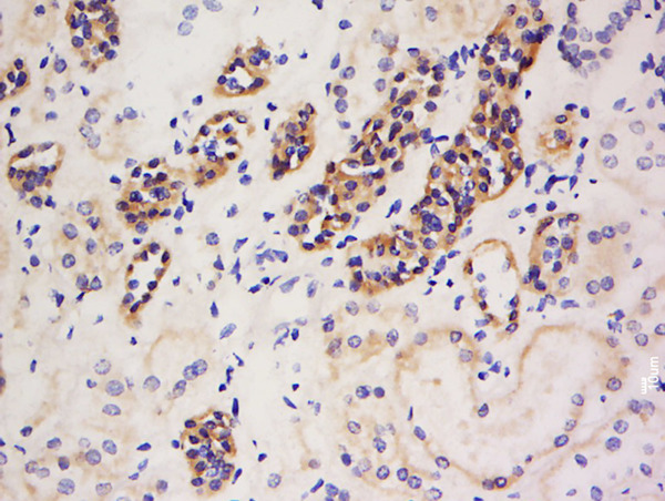
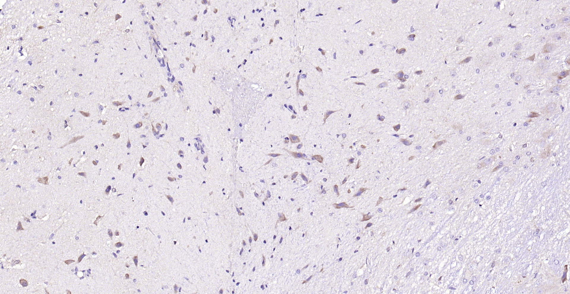
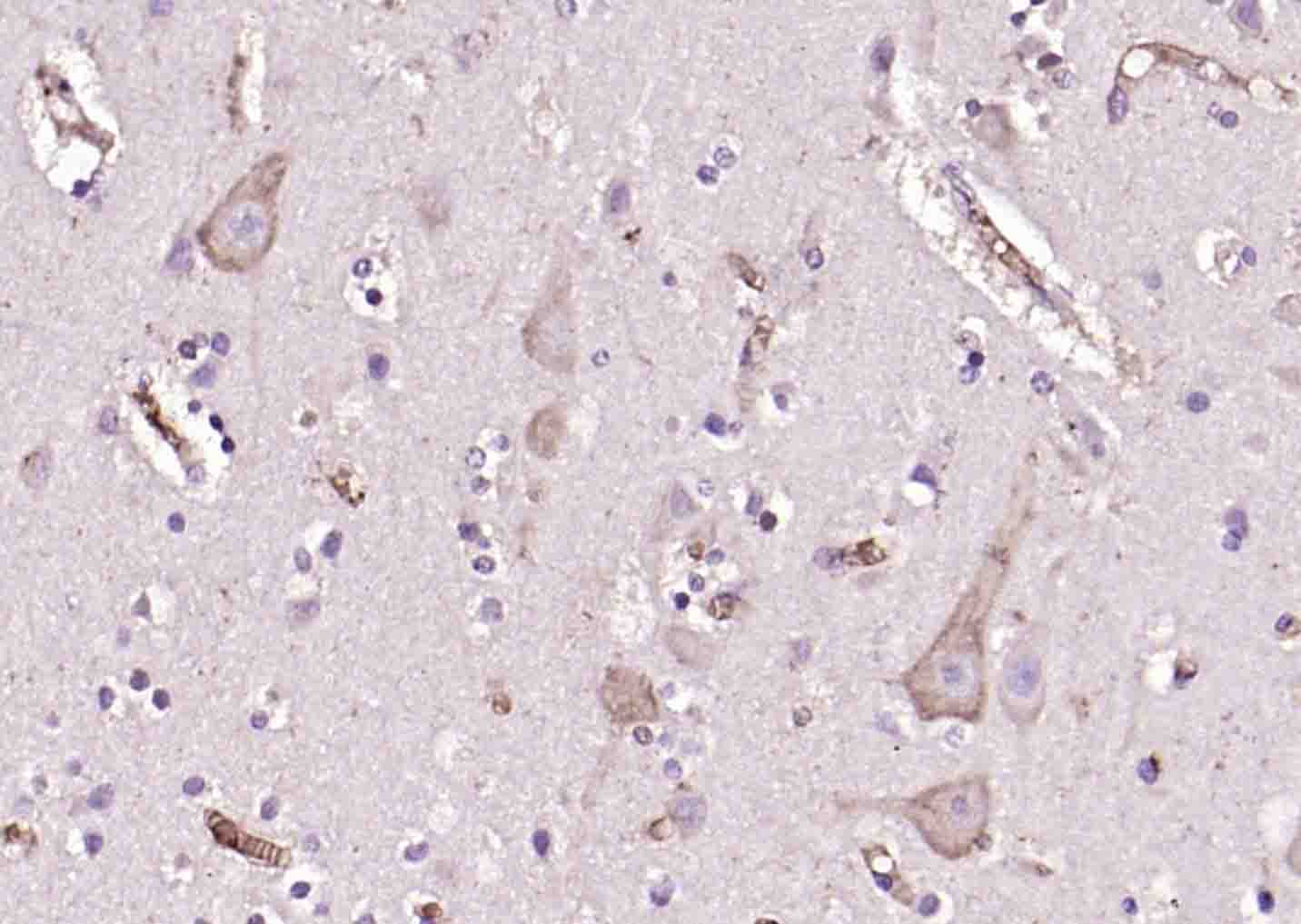
Applications WB, ELISA, IHC-P, IHC-F, IF(IHC-P), IF(IHC-F), IF(ICC)
Reactivity Human, Mouse, Rat
Specifications
Conjugation Unconjugated
Host Rabbit
Source KLH conjugated synthetic peptide derived from human Pdk4
Clonality Polyclonal
Clone # #REF!
Isotype IgG
Concentration 1ug/ul
Purification Purified by Protein A.
Storage Buffer 0.01M TBS(pH7.4) with 1% BSA, 0.02% Proclin300 and 50% Glycerol.
Storage Condition Shipped at 4C. Store at -20C for one year. Avoid repeated freeze/thaw cycles.
Target
Gene ID 5166
Subcellular location Cytoplasm, Cell membrane
Synonyms FLJ40832; Pyruvate dehydrogenase [lipoamide] kinase isozyme 4 mitochondrial; Pyruvate dehydrogenase kinase 4; Pyruvate dehydrogenase kinase isoform 4; Pyruvate dehydrogenase kinase isozyme 4 mitochondrial.
Background Pdk4 (pyruvate dehydrogenase kinase, isozyme 4) mediates glucose oxidation through inhibitory phosphorylation of the pyruvate dehydrogenase complex. The pyruvate dehydrogenase complex (PDC) is a mitochondrial matrix enzyme that plays an key role in aerobic energy metabolism by catalyzing the oxidative decarboxylation of pyruvate to form acetyl-CoA for subsequent breakdown in the Krebs cycle. The enzymatic activity of the mammalian PDC is regulated through phosphorylation and desphosphorylation of the E1?subunit of the complex. The enzymes responsible for the phosphorylation and inactivation of the PDC are pyruvate dehydrogenase kinases (PDK1-4). [TISSUE SPECI FICITY] Ubiquitous; highest levels of expression in heart and skeletal muscle. Belongs to the PDK/BCKDK protein kinase family. Contains 1 histidine kinase domain.
Application Dilution
WB 1:300-5000
ELISA 1:500-1000
IHC-P 1:200-400
IHC-F 1:100-500
IF(IHC-P) 1:50-200
IF(IHC-F) 1:50-200
IF(ICC) 1:50-200