Receive 30% off all Monoclonal IHC antibodies with code "MONO-IHC-30"! Offer valid for US customers and available internationally through distributors.

FGF8 Polyclonal Antibody

Applications

  • WB
  • ELISA
  • IHC-P
  • IHC-F
  • IF(IHC-P)
  • IF(IHC-F)
  • IF(ICC)

Reactivity

  • Human
  • Mouse
  • Rat

Predicted Reactivity

  • Dog
  • Cow
  • Sheep
  • Pig
  • Chicken
Overview
Catalog # bs-0735R
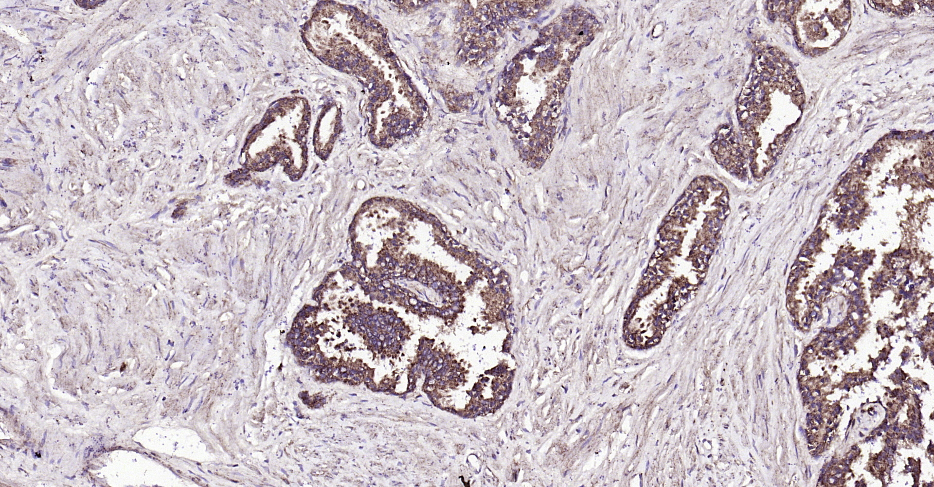
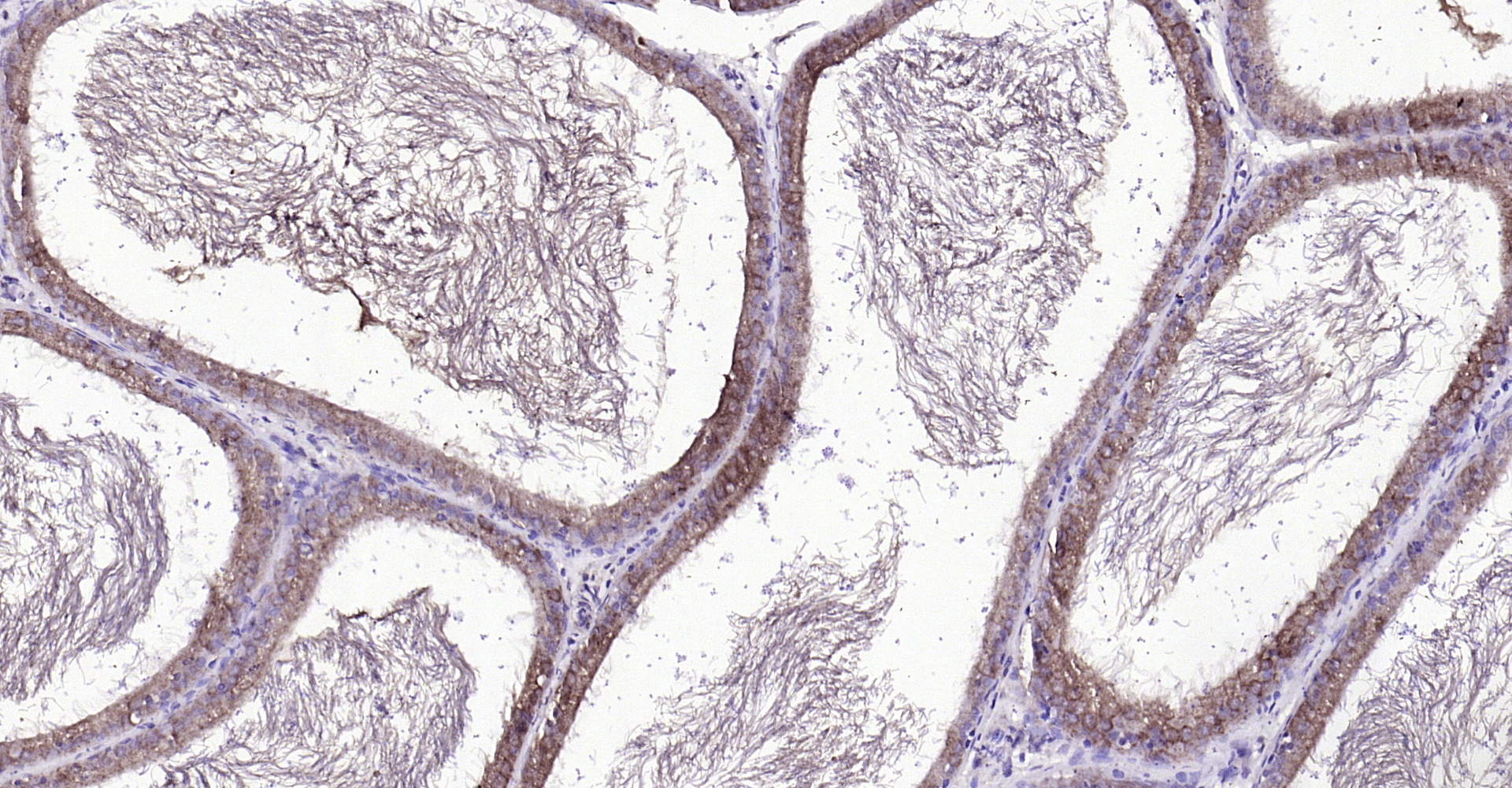
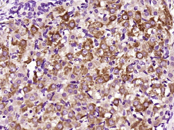
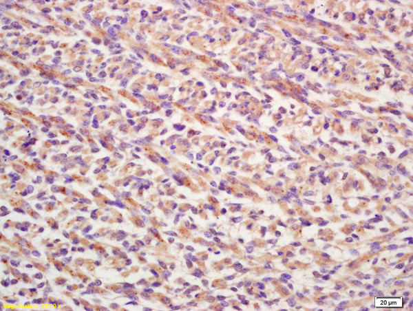
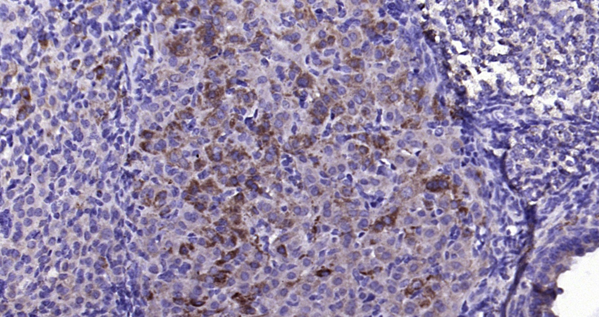
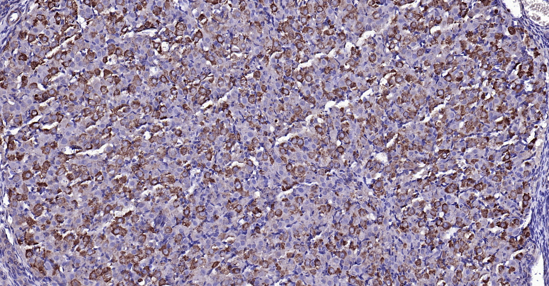
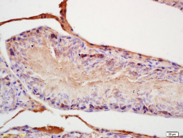
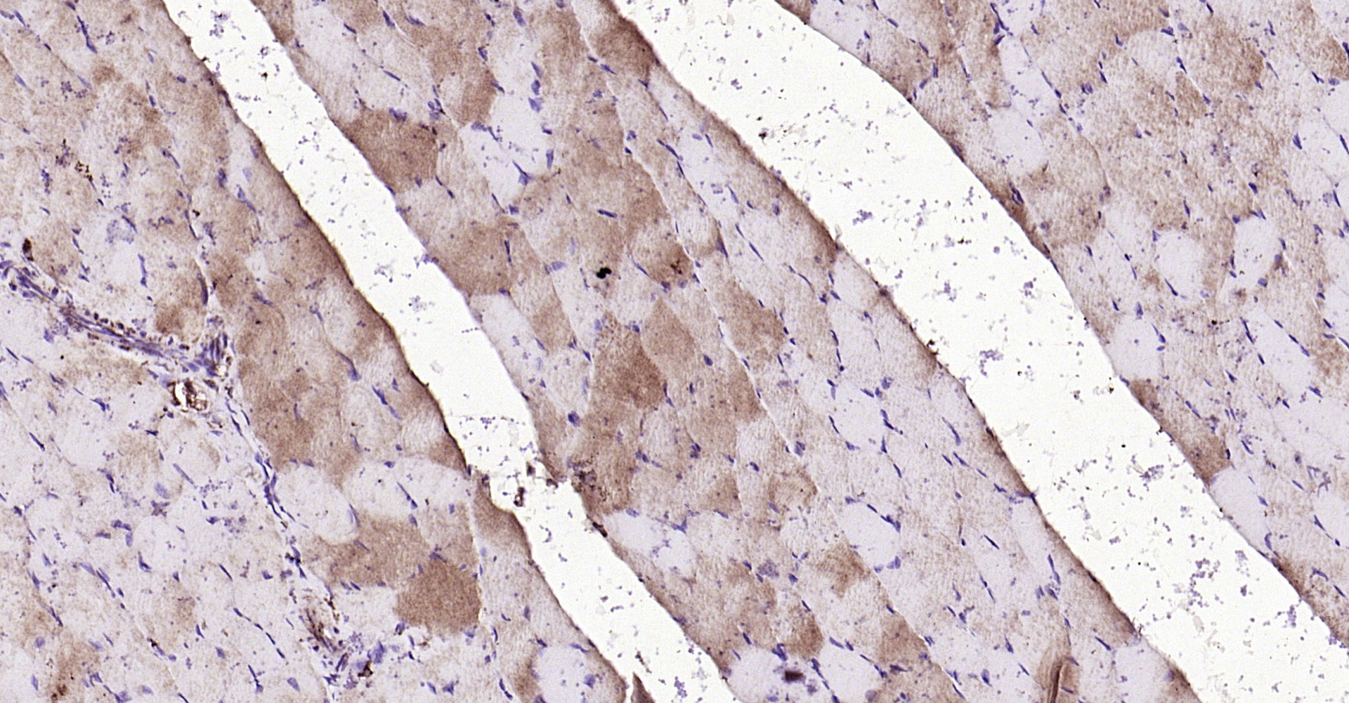
Product Name FGF8 Polyclonal Antibody
Applications WB, ELISA, IHC-P, IHC-F, IF(IHC-P), IF(IHC-F), IF(ICC)
Reactivity Human, Mouse, Rat
Predicted Reactivity Dog, Cow, Sheep, Pig, Chicken
Specifications
Conjugation Unconjugated
Host Rabbit
Source KLH conjugated synthetic peptide derived from mouse FGF8
Clonality Polyclonal
Clone # #REF!
Isotype IgG
Concentration 1ug/ul
Purification Purified by Protein A.
Storage Buffer 0.01M TBS(pH7.4) with 1% BSA, 0.02% Proclin300 and 50% Glycerol.
Storage Condition Shipped at 4C. Store at -20C for one year. Avoid repeated freeze/thaw cycles.
Target
Gene ID 14179
Swiss Prot P37237
Subcellular location Secreted
Synonyms Aigf; Fgf-8; Fibroblast growth factor 8; Androgen-induced growth factor; Heparin-binding growth factor 8; HBGF-8; Fgf8
Background Plays an important role in the regulation of embryonic development, cell proliferation, cell differentiation and cell migration. Required for normal brain, eye, ear and limb development during embryogenesis. Required for normal development of the gonadotropin-releasing hormone (GnRH) neuronal system (By similarity). Cooperates with Wnt-1 in mouse mammary tumor virus-induced murine mammary tumorigenesis.
Application Dilution
WB 1:300-5000
ELISA 1:500-1000
IHC-P 1:200-400
IHC-F 1:100-500
IF(IHC-P) 1:50-200
IF(IHC-F) 1:50-200
IF(ICC) 1:50-200