Receive 30% off all Monoclonal IHC antibodies with code "MONO-IHC-30"! Offer valid for US customers and available internationally through distributors.

PAG608 Polyclonal Antibody

Applications

  • WB
  • ELISA
  • IHC-P
  • IHC-F
  • IF(IHC-P)
  • IF(IHC-F)
  • IF(ICC)

Reactivity

  • Human
  • Mouse

Predicted Reactivity

  • Rat
  • Dog
  • Cow
  • Horse
  • Chicken
Overview
Catalog # bs-0942R
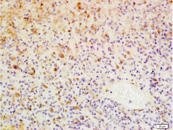
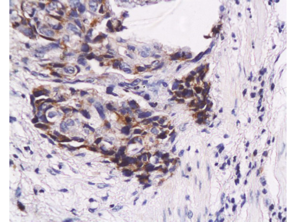
Product Name PAG608 Polyclonal Antibody
Applications WB, ELISA, IHC-P, IHC-F, IF(IHC-P), IF(IHC-F), IF(ICC)
Reactivity Human, Mouse
Predicted Reactivity Rat, Dog, Cow, Horse, Chicken
Specifications
Conjugation Unconjugated
Host Rabbit
Source KLH conjugated synthetic peptide derived from human PAG608
Clonality Polyclonal
Clone # #REF!
Isotype IgG
Concentration 1ug/ul
Purification Purified by Protein A.
Storage Buffer 0.01M TBS(pH7.4) with 1% BSA, 0.02% Proclin300 and 50% Glycerol.
Storage Condition Shipped at 4C. Store at -20C for one year. Avoid repeated freeze/thaw cycles.
Target
Gene ID 64393
Swiss Prot Q9HA38
Subcellular location Nucleus
Synonyms WIG1; WIG-1; PAG608; Zinc finger matrin-type protein 3; Zinc finger protein WIG-1; p53-activated gene 608 protein; ZMAT3
Background Acts as a bona fide target gene of p53/TP53. May play a role in the TP53-dependent growth regulatory pathway. May contribute to TP53-mediated apoptosis by regulation of TP53 expression and translocation to the nucleus and nucleolus.
Application Dilution
WB 1:300-5000
ELISA 1:500-1000
IHC-P 1:200-400
IHC-F 1:100-500
IF(IHC-P) 1:50-200
IF(IHC-F) 1:50-200
IF(ICC) 1:50-200