| Overview |
| bs-1004R |
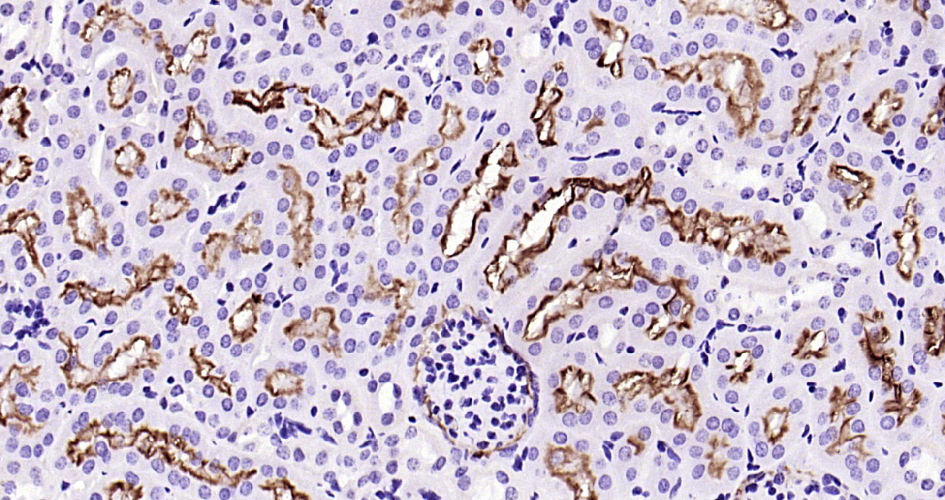
| ACE2 Polyclonal Antibody |
| WB, ELISA, FCM, IHC-P, IHC-F, IF(IHC-P), IF(IHC-F), IF(ICC) |
| Human |
| Specifications |
| Unconjugated |
| Rabbit |
| KLH conjugated synthetic peptide derived from human ACE2 |
| Polyclonal |
| #REF! |
| IgG |
| 1ug/ul |
| Purified by Protein A. |
| 0.01M TBS(pH7.4) with 1% BSA, 0.02% Proclin300 and 50% Glycerol. |
| Shipped at 4C. Store at -20C for one year. Avoid repeated freeze/thaw cycles. |
| Target |
| 59272 |
| Q9BYF1 |
| Secreted, Cell membrane |
| ACEH; Angiotensin-converting enzyme 2; ACE-related carboxypeptidase; Angiotensin-converting enzyme homolog; Metalloprotease MPROT15; ACE2; UNQ868/PRO1885 |
| Carboxypeptidase which converts angiotensin I to angiotensin 1-9, a peptide of unknown function, and angiotensin II to angiotensin 1-7, a vasodilator. Also able to hydrolyze apelin-13 and dynorphin-13 with high efficiency. May be an important regulator of heart function. In case of human coronaviruses SARS and HCoV-NL63 infections, serve as functional receptor for the spike glycoprotein of both coronaviruses. |
| Application Dilution |
| WB |
1:300-5000 |
| ELISA |
1:500-1000 |
| FCM |
1:20-100 |
| IHC-P |
1:200-400 |
| IHC-F |
1:100-500 |
| IF(IHC-P) |
1:50-200 |
| IF(IHC-F) |
1:50-200 |
| IF(ICC) |
1:50-200 |