Receive 30% off all Monoclonal IHC antibodies with code "MONO-IHC-30"! Offer valid for US customers and available internationally through distributors.

Cytokeratin 2 Polyclonal Antibody

Applications

  • ELISA
  • IHC-P
  • IHC-F
  • IF(IHC-P)
  • IF(IHC-F)
  • IF(ICC)

Reactivity

  • Rat

Predicted Reactivity

  • Human
  • Mouse
Overview
Catalog # bs-1005R
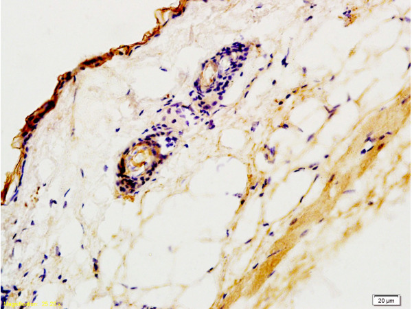
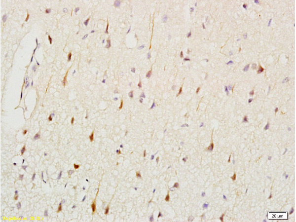
Product Name Cytokeratin 2 Polyclonal Antibody
Applications ELISA, IHC-P, IHC-F, IF(IHC-P), IF(IHC-F), IF(ICC)
Reactivity Rat
Predicted Reactivity Human, Mouse
Specifications
Conjugation Unconjugated
Host Rabbit
Source KLH conjugated synthetic peptide derived from human CK2
Clonality Polyclonal
Clone # #REF!
Isotype IgG
Concentration 1ug/ul
Purification Purified by Protein A.
Storage Buffer 0.01M TBS(pH7.4) with 1% BSA, 0.02% Proclin300 and 50% Glycerol.
Storage Condition Shipped at 4_. Store at -20_ for one year. Avoid repeated freeze/thaw cycles.
Target
Gene ID 3849
Swiss Prot P35908
Subcellular location Cytoplasm, Extracellular matrix
Synonyms K2e; KRTE; CK-2e; KRT2A; KRT2E; Keratin, type II cytoskeletal 2 epidermal; Cytokeratin-2e; Epithelial keratin-2e; Keratin-2 epidermis; Keratin-2e; Type-II keratin Kb2; KRT2
Background Probably contributes to terminal cornification. Associated with keratinocyte activation, proliferation and keratinization.
Application Dilution
ELISA 1:500-1000
IHC-P 1:200-400
IHC-F 1:100-500
IF(IHC-P) 1:50-200
IF(IHC-F) 1:50-200
IF(ICC) 1:50-200