Receive 30% off all Monoclonal IHC antibodies with code "MONO-IHC-30"! Offer valid for US customers and available internationally through distributors.

PTOV1 Polyclonal Antibody

Applications

  • WB
  • ELISA
  • IHC-P
  • IHC-F
  • IF(IHC-P)
  • IF(IHC-F)
  • IF(ICC)

Reactivity

  • Human
  • Mouse
  • Rat
Overview
Catalog # bs-10171R
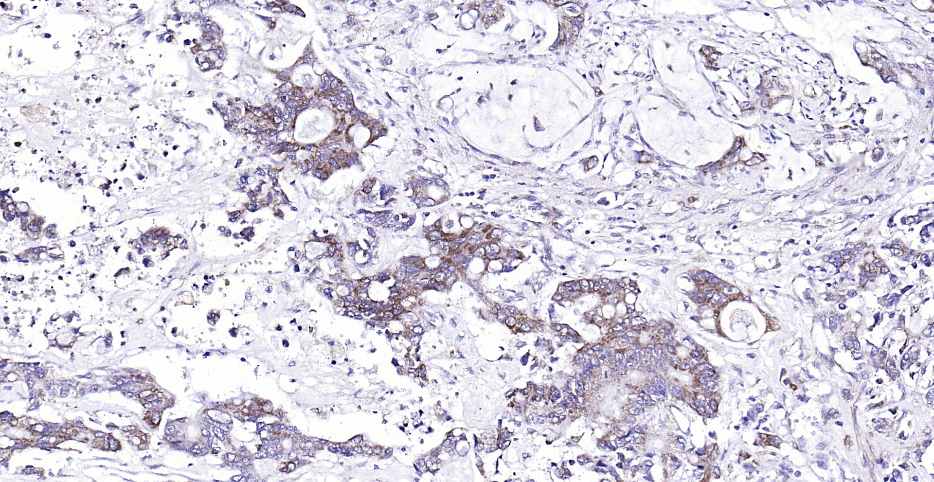
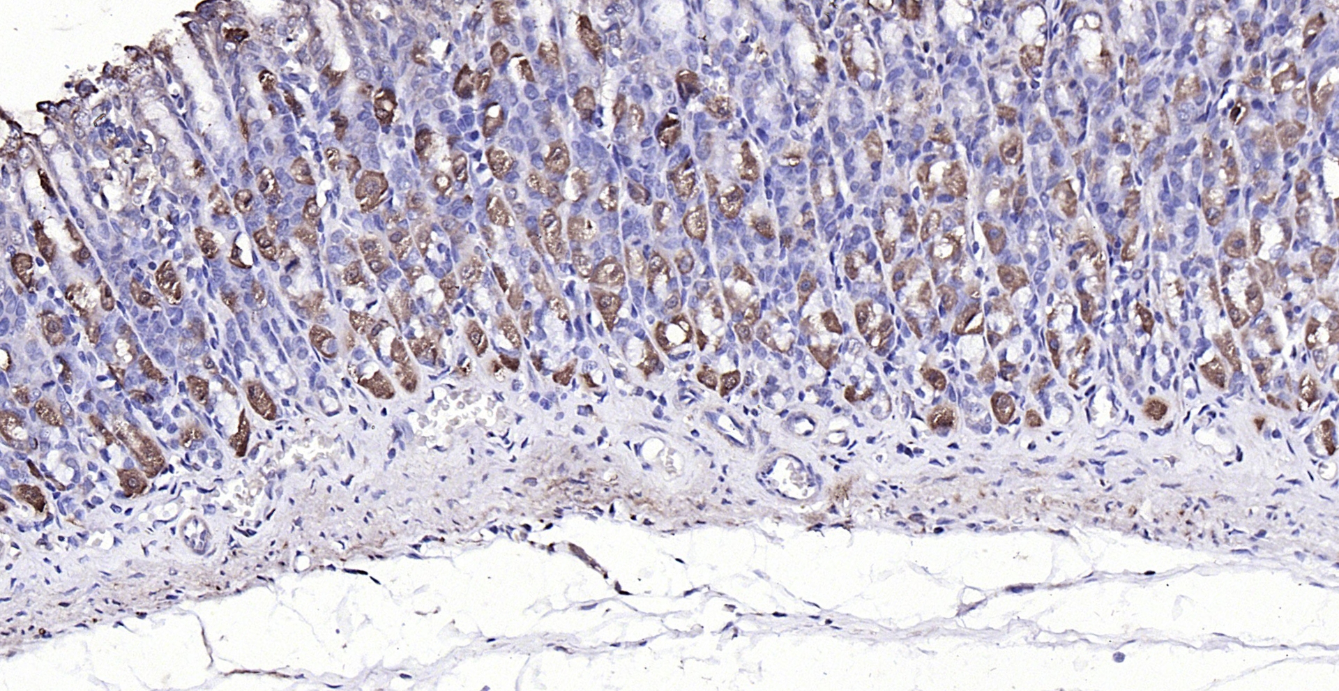
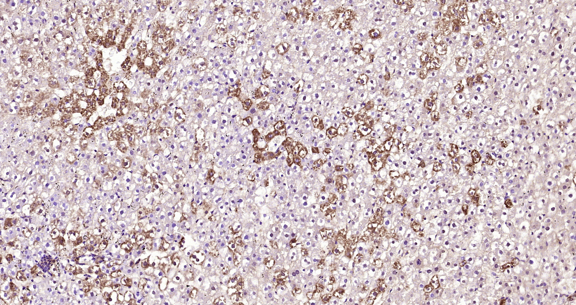
Product Name PTOV1 Polyclonal Antibody
Applications WB, ELISA, IHC-P, IHC-F, IF(IHC-P), IF(IHC-F), IF(ICC)
Reactivity Human, Mouse, Rat
Specifications
Conjugation Unconjugated
Host Rabbit
Source KLH conjugated synthetic peptide derived from human PTOV1
Clonality Polyclonal
Clone # #REF!
Isotype IgG
Concentration 1ug/ul
Purification Purified by Protein A.
Storage Buffer 0.01M TBS(pH7.4) with 1% BSA, 0.02% Proclin300 and 50% Glycerol.
Storage Condition Shipped at 4C. Store at -20C for one year. Avoid repeated freeze/thaw cycles.
Target
Subcellular location Nucleus, Cell membrane
Synonyms ACID2; Activator interaction domain containing protein 2; Gcap3; prostate tumor overexpressed 1; Prostate tumor overexpressed gene 1; PTOV 1; PTOV1_HUMAN; Prostate tumor-overexpressed gene 1 protein; PTOV-1; Activator interaction domain-containing protein 2.
Background PTOV1 belongs to the Mediator complex subunit 25 family, PTOV1 subfamily. It may activate transcription and is required for nuclear translocation of FLOT1. PTOV1 promotes cell proliferation. There are three named isoforms.
Application Dilution
WB 1:300-5000
ELISA 1:500-1000
IHC-P 1:200-400
IHC-F 1:100-500
IF(IHC-P) 1:50-200
IF(IHC-F) 1:50-200
IF(ICC) 1:50-200