Receive 30% off all Monoclonal IHC antibodies with code "MONO-IHC-30"! Offer valid for US customers and available internationally through distributors.

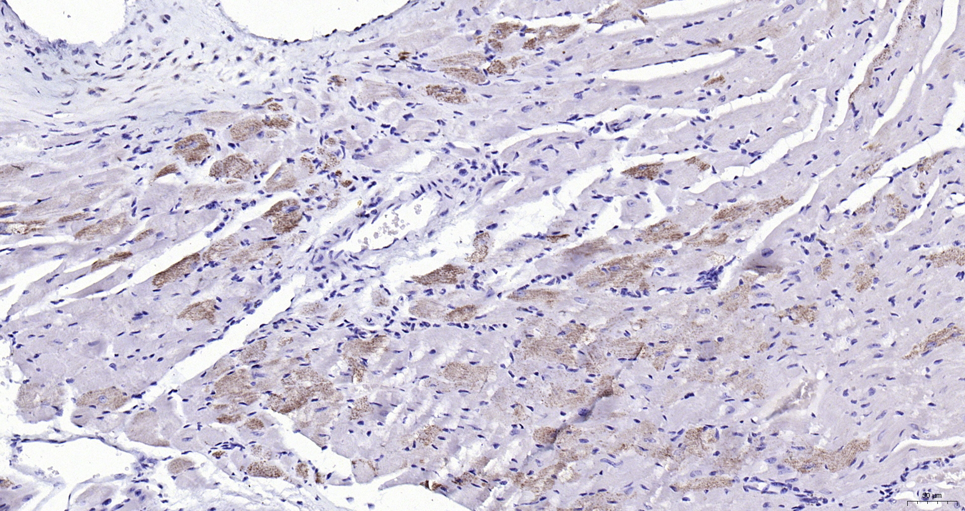
Sarcomeric Alpha Actinin Polyclonal Antibody

Applications

  • WB
  • ELISA
  • IHC-P
  • IHC-F
  • IF(IHC-P)
  • IF(IHC-F)
  • IF(ICC)

Reactivity

  • Human
  • Mouse
  • Rat

Predicted Reactivity

  • Dog
  • Cow
  • Sheep
  • Pig
  • Horse
  • Chicken
  • Rabbit
Overview
Catalog # bs-10367R
Product Name Sarcomeric Alpha Actinin Polyclonal Antibody
Applications WB, ELISA, IHC-P, IHC-F, IF(IHC-P), IF(IHC-F), IF(ICC)
Reactivity Human, Mouse, Rat
Predicted Reactivity Dog, Cow, Sheep, Pig, Horse, Chicken, Rabbit
Specifications
Conjugation Unconjugated
Host Rabbit
Source KLH conjugated synthetic peptide derived from human Sarcomeric Alpha Actinin
Clonality Polyclonal
Clone # #REF!
Isotype IgG
Concentration 1ug/ul
Purification Purified by Protein A.
Storage Buffer 0.01M TBS(pH7.4) with 1% BSA, 0.02% Proclin300 and 50% Glycerol.
Storage Condition Shipped at 4_. Store at -20_ for one year. Avoid repeated freeze/thaw cycles.
Target
Gene ID 88
Swiss Prot P35609
Subcellular location Cytoplasm
Synonyms CMD1AA; Alpha-actinin-2; Alpha-actinin skeletal muscle isoform 2; F-actin cross-linking protein; ACTN2; Sarcomeric Alpha Actinin; Alpha actinin 2
Background F-actin cross-linking protein which is thought to anchor actin to a variety of intracellular structures. This is a bundling protein.
Application Dilution
WB 1:300-5000
ELISA 1:500-1000
IHC-P 1:200-400
IHC-F 1:100-500
IF(IHC-P) 1:50-200
IF(IHC-F) 1:50-200
IF(ICC) 1:50-200