Receive 30% off all Monoclonal IHC antibodies with code "MONO-IHC-30"! Offer valid for US customers and available internationally through distributors.

SUFU Polyclonal Antibody

Applications

  • WB
  • ELISA
  • IHC-P
  • IHC-F
  • IF(IHC-P)
  • IF(IHC-F)
  • IF(ICC)

Reactivity

  • Mouse
  • Rat

Predicted Reactivity

  • Human
  • Dog
  • Pig
  • Horse
  • Chicken
Overview
Catalog # bs-11209R
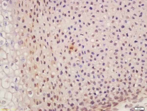
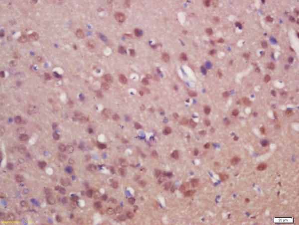
Product Name SUFU Polyclonal Antibody
Applications WB, ELISA, IHC-P, IHC-F, IF(IHC-P), IF(IHC-F), IF(ICC)
Reactivity Mouse, Rat
Predicted Reactivity Human, Dog, Pig, Horse, Chicken
Specifications
Conjugation Unconjugated
Host Rabbit
Source KLH conjugated synthetic peptide derived from human SUFU
Clonality Polyclonal
Clone # #REF!
Isotype IgG
Concentration 1ug/ul
Purification Purified by Protein A.
Storage Buffer 0.01M TBS(pH7.4) with 1% BSA, 0.02% Proclin300 and 50% Glycerol.
Storage Condition Shipped at 4_. Store at -20_ for one year. Avoid repeated freeze/thaw cycles.
Target
Gene ID 51684
Swiss Prot Q9UMX1
Subcellular location Cytoplasm, Nucleus
Synonyms SUFUH; SUFUXL; PRO1280; Suppressor of fused homolog; SUFU; UNQ650/PRO1280
Background Negative regulator in the hedgehog signaling pathway. Down-regulates GLI1-mediated transactivation of target genes. Part of a corepressor complex that acts on DNA-bound GLI1. May also act by linking GLI1 to BTRC and thereby targeting GLI1 to degradation by the proteasome. Sequesters GLI1, GLI2 and GLI3 in the cytoplasm, this effect is overcome by binding of STK36 to both SUFU and a GLI protein. Negative regulator of beta-catenin signaling. Regulates the formation of either the repressor form (GLI3R) or the activator form (GLI3A) of the full length form of GLI3 (GLI3FL). GLI3FL is complexed with SUFU in the cytoplasm and is maintained in a neutral state. Without the Hh signal, the SUFU-GLI3 complex is recruited to cilia, leading to the efficient processing of GLI3FL into GLI3R. When Hh signaling is initiated, SUFU dissociates from GLI3FL and the latter translocates to the nucleus, where it is phosphorylated, destabilized, and converted to a transcriptional activator (GLI3A). Required for the proper formation of hair follicles and the control of epidermal differentiation (By similarity).
Application Dilution
WB 1:300-5000
ELISA 1:500-1000
IHC-P 1:200-400
IHC-F 1:100-500
IF(IHC-P) 1:50-200
IF(IHC-F) 1:50-200
IF(ICC) 1:50-200