Receive 30% off all Monoclonal IHC antibodies with code "MONO-IHC-30"! Offer valid for US customers and available internationally through distributors.

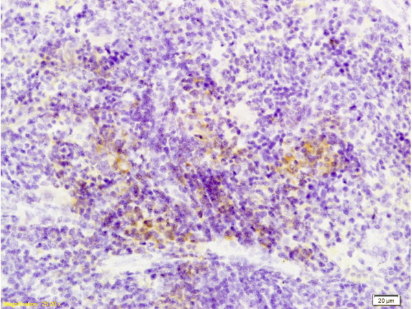
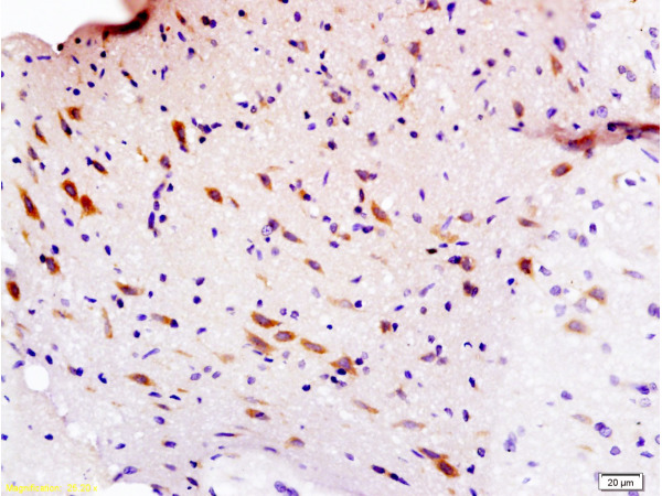
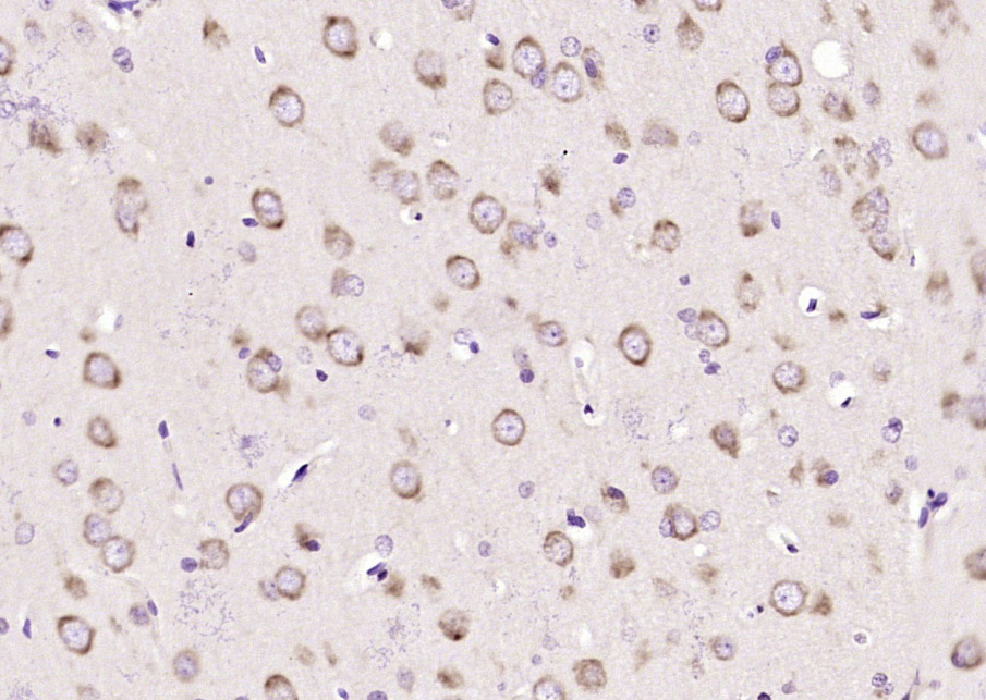
Semaphorin 3F Polyclonal Antibody

Applications

  • ELISA
  • IHC-P
  • IHC-F
  • IF(IHC-P)
  • IF(IHC-F)
  • IF(ICC)

Reactivity

  • Human
  • Mouse
  • Rat
Overview
Catalog # bs-1122R
Product Name Semaphorin 3F Polyclonal Antibody
Applications ELISA, IHC-P, IHC-F, IF(IHC-P), IF(IHC-F), IF(ICC)
Reactivity Human, Mouse, Rat
Specifications
Conjugation Unconjugated
Host Rabbit
Source KLH conjugated synthetic peptide derived from human Sema3F
Clonality Polyclonal
Clone # #REF!
Isotype IgG
Concentration 1ug/ul
Purification Purified by Protein A.
Storage Buffer 0.01M TBS(pH7.4) with 1% BSA, 0.02% Proclin300 and 50% Glycerol.
Storage Condition Shipped at 4_. Store at -20_ for one year. Avoid repeated freeze/thaw cycles.
Target
Gene ID 6405
Swiss Prot Q13275
Subcellular location Secreted
Synonyms SEMA4; SEMAK; SEMA-IV; Semaphorin-3F; Sema III/F; Semaphorin IV; Sema IV; SEMA3F
Background The semaphorins are a family of proteins that are involved in signaling. All the family members have a secretion signal, a 500-amino acid sema domain, and 16 conserved cysteine residues(Kolodkin et al., 1993 [PubMed 8269517]). Sequence comparisons have grouped the secreted semaphorins into 3 general classes, all of which also have an immunoglobulin domain. The semaphorin III family, consisting of human semaphorin III (SEMA3A; MIM 603961), chicken collapsin, and mouse semaphorins A, D, and E, all have a basic domain at the C terminus. Chicken collapsin contributes to path finding by axons during development by inhibiting extension of growth cones (Luo et al., 1993 [PubMed 8402908]) through an interaction with a collapsin response mediator protein of relative molecular mass 62K (CRMP62) (Goshima et al., 1995 [PubMed7637782]), a putative homolog of an axonal guidance associated UNC33 gene product (MIM 601168). SEMA3F is a secreted member of the semaphorin III family.
Application Dilution
ELISA 1:500-1000
IHC-P 1:200-400
IHC-F 1:100-500
IF(IHC-P) 1:50-200
IF(IHC-F) 1:50-200
IF(ICC) 1:50-200