Receive 30% off all Monoclonal IHC antibodies with code "MONO-IHC-30"! Offer valid for US customers and available internationally through distributors.

DERLIN-1 Polyclonal Antibody

Applications

  • ELISA
  • IHC-P
  • IHC-F
  • IF(IHC-P)
  • IF(IHC-F)
  • IF(ICC)

Reactivity

  • Human

Predicted Reactivity

  • Mouse
  • Rat
  • Dog
  • Cow
  • Sheep
  • Horse
  • Rabbit
Overview
Catalog # bs-11268R
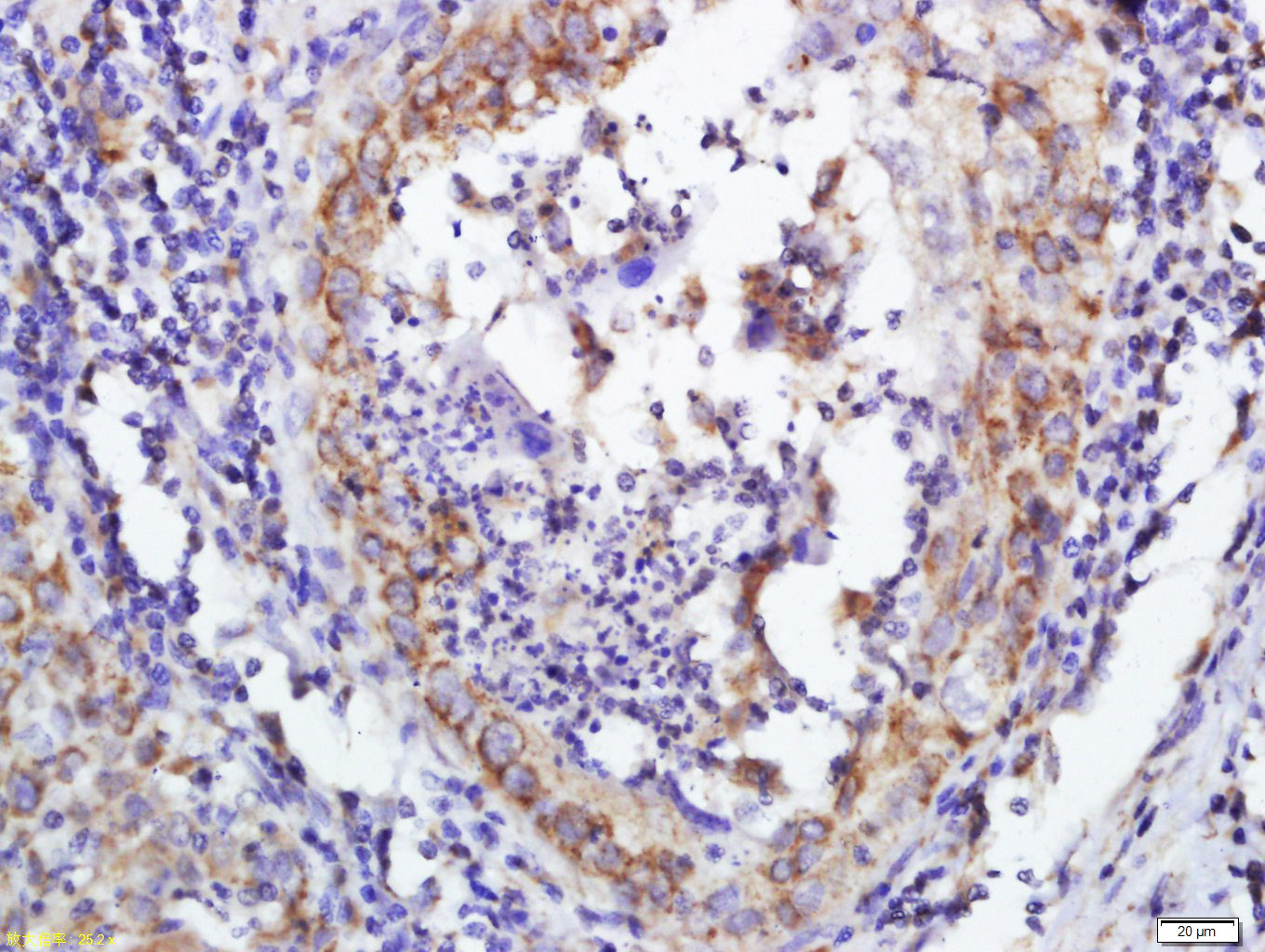
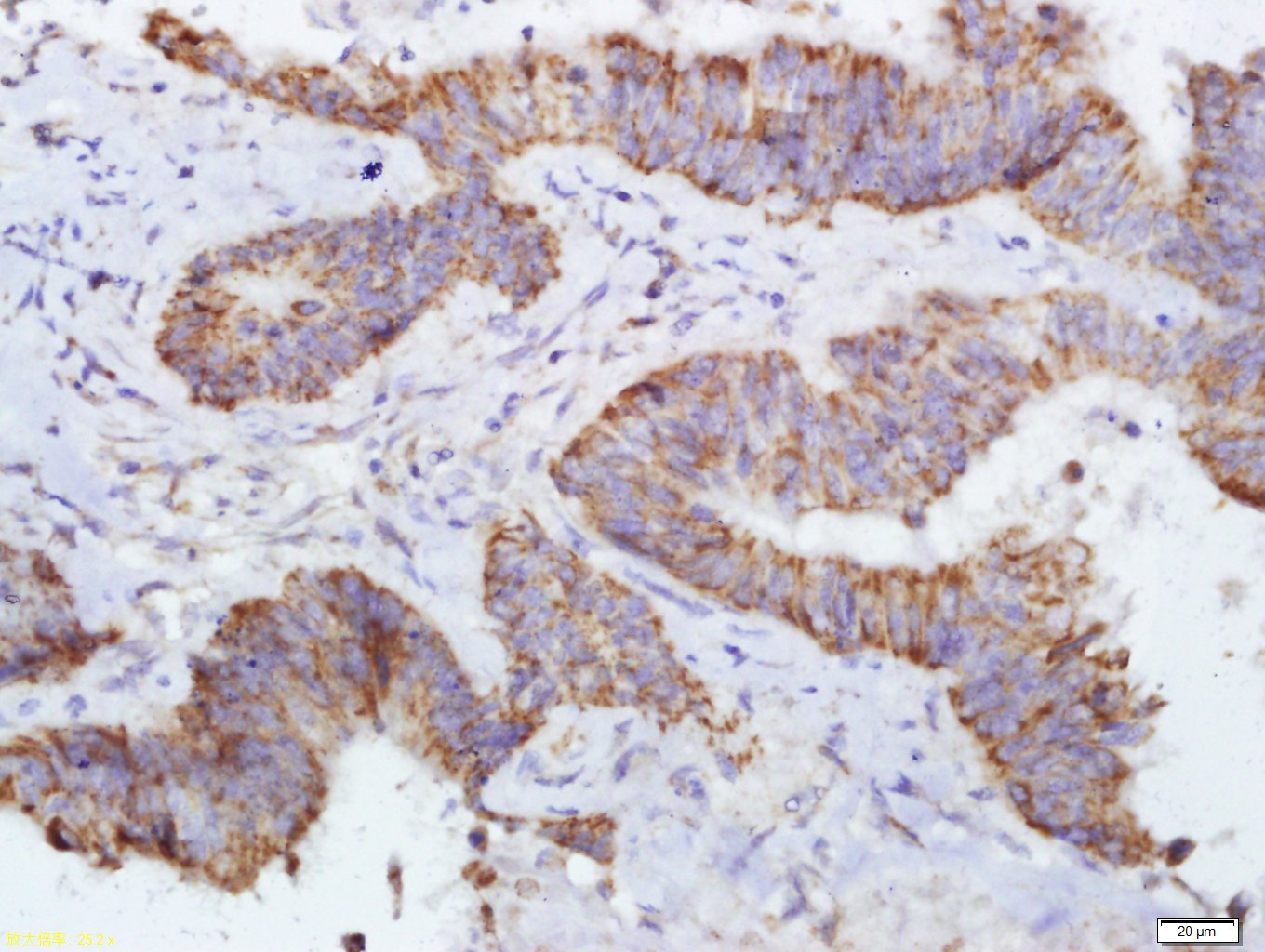
Product Name DERLIN-1 Polyclonal Antibody
Applications ELISA, IHC-P, IHC-F, IF(IHC-P), IF(IHC-F), IF(ICC)
Reactivity Human
Predicted Reactivity Mouse, Rat, Dog, Cow, Sheep, Horse, Rabbit
Specifications
Conjugation Unconjugated
Host Rabbit
Source KLH conjugated synthetic peptide derived from human DERLIN-1
Clonality Polyclonal
Clone # #REF!
Isotype IgG
Concentration 1ug/ul
Purification Purified by Protein A.
Storage Buffer 0.01M TBS(pH7.4) with 1% BSA, 0.02% Proclin300 and 50% Glycerol.
Storage Condition Shipped at 4C. Store at -20C for one year. Avoid repeated freeze/thaw cycles.
Target
Gene ID 79139
Swiss Prot Q9BUN8
Subcellular location Cytoplasm, Cell membrane
Synonyms Derlin1; Derlin1; Derlin 1; DER1; DER-1; DER 1; DERL1_HUMAN.
Background Degradation in endoplasmic reticulum proteins, also designated Derlins or DERtrins, are crucial for the degradation of misfolded endoplasmic reticulum (ER) luminal proteins. Derlin proteins are multi-pass membrane proteins localizing to the ER. Derlins are involved in transferring misfolded proteins from the ER to the cytosol, where the misfolded proteins are destroyed in an ubiquitin-dependent manner by the proteasome. In the case of cytomegalovirus infection, Derlin-1, as opposed to Derlins-2 and -3, is involved in the export of MHC class I heavy chains from the ER via its interaction with the viral protein US11. Derlins may also be important for cell proliferation.
Application Dilution
ELISA 1:500-1000
IHC-P 1:200-400
IHC-F 1:100-500
IF(IHC-P) 1:50-200
IF(IHC-F) 1:50-200
IF(ICC) 1:50-200