Receive 30% off all Monoclonal IHC antibodies with code "MONO-IHC-30"! Offer valid for US customers and available internationally through distributors.

DMRT1 Polyclonal Antibody

Applications

  • WB
  • ELISA
  • IHC-P
  • IHC-F
  • IF(IHC-P)
  • IF(IHC-F)
  • IF(ICC)

Reactivity

  • Human
  • Rat

Predicted Reactivity

  • Mouse
  • Dog
  • Sheep
  • Horse
Overview
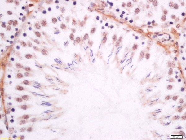
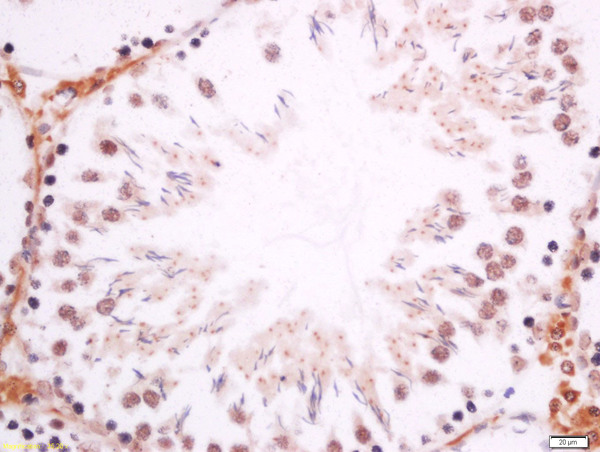
Catalog # bs-11276R
Product Name DMRT1 Polyclonal Antibody
Applications WB, ELISA, IHC-P, IHC-F, IF(IHC-P), IF(IHC-F), IF(ICC)
Reactivity Human, Rat
Predicted Reactivity Mouse, Dog, Sheep, Horse
Specifications
Conjugation Unconjugated
Host Rabbit
Source KLH conjugated synthetic peptide derived from human DMRT1
Clonality Polyclonal
Clone # #REF!
Isotype IgG
Concentration 1ug/ul
Purification Purified by Protein A.
Storage Buffer 0.01M TBS(pH7.4) with 1% BSA, 0.02% Proclin300 and 50% Glycerol.
Storage Condition Shipped at 4C. Store at -20C for one year. Avoid repeated freeze/thaw cycles.
Target
Gene ID 1761
Swiss Prot Q9Y5R6
Subcellular location Nucleus
Synonyms DMT1; CT154; Doublesex- and mab-3-related transcription factor 1; DM domain expressed in testis protein 1; DMRT1
Background Transcription factor that plays a key role in male sex determination and differentiation by controlling testis development and male germ cell proliferation. Plays a central role in spermatogonia by inhibiting meiosis in undifferentiated spermatogonia and promoting mitosis, leading to spermatogonial development and allowing abundant and continuous production of sperm. Acts both as a transcription repressor and activator: prevents meiosis by restricting retinoic acid (RA)-dependent transcription and repressing STRA8 expression and promotes spermatogonial development by activating spermatogonial differentiation genes, such as SOHLH1. Also plays a key role in postnatal sex maintenance by maintaining testis determination and preventing feminization: represses transcription of female promoting genes such as FOXL2 and activates male-specific genes. May act as a tumor suppressor. May also play a minor role in oogenesis (By similarity).
Application Dilution
WB 1:300-5000
ELISA 1:500-1000
IHC-P 1:200-400
IHC-F 1:100-500
IF(IHC-P) 1:50-200
IF(IHC-F) 1:50-200
IF(ICC) 1:50-200